Thoraco-omphalopagus conjoined twins: comprehensive evaluation with sonography and MRI in first trimester-a rare imaging diagnosis.

IF 0.5 Q4 RADIOLOGY, NUCLEAR MEDICINE & MEDICAL IMAGING
BJR Case Reports Pub Date : 2024-11-23 eCollection Date: 2025-01-01 DOI:10.1093/bjrcr/uaae045
Harsimran Bhatia, Purnima Aggarwal, Shritik Devkota, Samiksha Lamichhane
{"title":"Thoraco-omphalopagus conjoined twins: comprehensive evaluation with sonography and MRI in first trimester-a rare imaging diagnosis.","authors":"Harsimran Bhatia, Purnima Aggarwal, Shritik Devkota, Samiksha Lamichhane","doi":"10.1093/bjrcr/uaae045","DOIUrl":null,"url":null,"abstract":"<p><p>Conjoined twins, or Siamese twins as they are commonly called, are a rare and extreme form of monochorionic twinning. Imaging plays an essential role in the diagnosis and follow-up of conjoined twins. While ultrasound is often the screening modality of choice, MRI is carried out for better anatomical delineation and further characterization as and when necessary. We present a unique case of first trimester thoraco-omphalopagus conjoined twins with cystic hygroma who were comprehensively evaluated with sonography and MRI with imaging findings confirmed post-pregnancy termination. The case stresses upon the utility of advanced imaging techniques including foetal MRI that immensely contribute towards a reliable diagnosis.</p>","PeriodicalId":45216,"journal":{"name":"BJR Case Reports","volume":"11 1","pages":"uaae045"},"PeriodicalIF":0.5000,"publicationDate":"2024-11-23","publicationTypes":"Journal Article","fieldsOfStudy":null,"isOpenAccess":false,"openAccessPdf":"https://www.ncbi.nlm.nih.gov/pmc/articles/PMC11697171/pdf/","citationCount":"0","resultStr":null,"platform":"Semanticscholar","paperid":null,"PeriodicalName":"BJR Case Reports","FirstCategoryId":"1085","ListUrlMain":"https://doi.org/10.1093/bjrcr/uaae045","RegionNum":0,"RegionCategory":null,"ArticlePicture":[],"TitleCN":null,"AbstractTextCN":null,"PMCID":null,"EPubDate":"2025/1/1 0:00:00","PubModel":"eCollection","JCR":"Q4","JCRName":"RADIOLOGY, NUCLEAR MEDICINE & MEDICAL IMAGING","Score":null,"Total":0}
引用次数: 0

Abstract

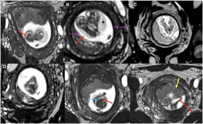
Conjoined twins, or Siamese twins as they are commonly called, are a rare and extreme form of monochorionic twinning. Imaging plays an essential role in the diagnosis and follow-up of conjoined twins. While ultrasound is often the screening modality of choice, MRI is carried out for better anatomical delineation and further characterization as and when necessary. We present a unique case of first trimester thoraco-omphalopagus conjoined twins with cystic hygroma who were comprehensively evaluated with sonography and MRI with imaging findings confirmed post-pregnancy termination. The case stresses upon the utility of advanced imaging techniques including foetal MRI that immensely contribute towards a reliable diagnosis.

Abstract Image

Abstract Image

Abstract Image

胸脐连体双胞胎:早期超声和MRI的综合评价-一种罕见的影像学诊断。
连体双胞胎,或连体双胞胎,因为他们通常被称为,是一种罕见和极端形式的单绒毛膜双胞胎。影像在连体双胞胎的诊断和随访中起着至关重要的作用。虽然超声通常是选择的筛查方式,但MRI在必要时进行更好的解剖描绘和进一步的表征。我们提出一个独特的情况下,早期妊娠胸脐连体双胞胎囊性水瘤谁是全面评估超声和MRI影像学结果证实妊娠后终止。该病例强调利用先进的成像技术,包括胎儿核磁共振成像,极大地有助于可靠的诊断。
本文章由计算机程序翻译,如有差异,请以英文原文为准。
求助全文
约1分钟内获得全文 求助全文
来源期刊
BJR Case Reports
BJR Case Reports RADIOLOGY, NUCLEAR MEDICINE & MEDICAL IMAGING-
自引率
0.00%
发文量
77
审稿时长
11 weeks
×
引用
GB/T 7714-2015
复制
MLA
复制
APA
复制
导出至
BibTeX EndNote RefMan NoteFirst NoteExpress
×
提示
您的信息不完整,为了账户安全,请先补充。
现在去补充
×
提示
您因"违规操作"
具体请查看互助需知
我知道了
×
提示
确定
请完成安全验证×
copy
已复制链接
快去分享给好友吧!
我知道了
右上角分享
点击右上角分享
0
联系我们:info@booksci.cn Book学术提供免费学术资源搜索服务,方便国内外学者检索中英文文献。致力于提供最便捷和优质的服务体验。 Copyright © 2023 布克学术 All rights reserved.
京ICP备2023020795号-1
ghs 京公网安备 11010802042870号
Book学术文献互助
Book学术文献互助群
群 号:604180095
Book学术官方微信