Characterization of the E26H Mutant Schistosoma japonicum Glutathione S-Transferase.

IF 2.8 4区 生物学 Q2 BIOCHEMISTRY & MOLECULAR BIOLOGY
Proteins-Structure Function and Bioinformatics Pub Date : 2025-05-01 Epub Date: 2025-01-02 DOI:10.1002/prot.26794
János András Mótyán, Ágota Nagyné Veres, József Tőzsér
{"title":"Characterization of the E26H Mutant Schistosoma japonicum Glutathione S-Transferase.","authors":"János András Mótyán, Ágota Nagyné Veres, József Tőzsér","doi":"10.1002/prot.26794","DOIUrl":null,"url":null,"abstract":"<p><p>Glutathione-S-transferase, such as that of Schistosoma japonicum (sjGST) belongs to the most widely utilized fusion tags in the recombinant protein technology. The E26H mutation of sjGST has already been found to remarkably improve its ability for binding divalent ions, enabling its purification with immobilized metal affinity chromatography (IMAC). Nevertheless, most characteristics of this mutant remained unexplored to date. In this study, we performed a comparative analysis of the wild-type and the E26H mutant sjGST by using in vitro as well as in silico approaches. We confirmed that the sjGST(E26H) protein exhibits significantly increased affinity for binding nickel ions as compared to the wild-type. In addition, we proved that the sjGST(E26H) can be purified efficiently either with glutathione- or immobilized metal ion-affinity chromatography, even in consecutive purification steps. The human retroviral-like aspartic protease 1 (ASPRV1) conjugated with the sjGST(E26H) fusion tag was also successfully purified by using both of these affinity chromatographic approaches. Our studies revealed that the E26H mutant sjGST can be used as a versatile affinity tag because the modified protein retains the kinetic features of the wild-type and its affinity towards glutathione, while can be purified efficiently by IMAC, as well.</p>","PeriodicalId":56271,"journal":{"name":"Proteins-Structure Function and Bioinformatics","volume":" ","pages":"1054-1066"},"PeriodicalIF":2.8000,"publicationDate":"2025-05-01","publicationTypes":"Journal Article","fieldsOfStudy":null,"isOpenAccess":false,"openAccessPdf":"https://www.ncbi.nlm.nih.gov/pmc/articles/PMC11968563/pdf/","citationCount":"0","resultStr":null,"platform":"Semanticscholar","paperid":null,"PeriodicalName":"Proteins-Structure Function and Bioinformatics","FirstCategoryId":"99","ListUrlMain":"https://doi.org/10.1002/prot.26794","RegionNum":4,"RegionCategory":"生物学","ArticlePicture":[],"TitleCN":null,"AbstractTextCN":null,"PMCID":null,"EPubDate":"2025/1/2 0:00:00","PubModel":"Epub","JCR":"Q2","JCRName":"BIOCHEMISTRY & MOLECULAR BIOLOGY","Score":null,"Total":0}
引用次数: 0

Abstract

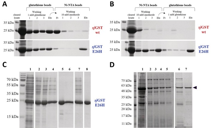
Glutathione-S-transferase, such as that of Schistosoma japonicum (sjGST) belongs to the most widely utilized fusion tags in the recombinant protein technology. The E26H mutation of sjGST has already been found to remarkably improve its ability for binding divalent ions, enabling its purification with immobilized metal affinity chromatography (IMAC). Nevertheless, most characteristics of this mutant remained unexplored to date. In this study, we performed a comparative analysis of the wild-type and the E26H mutant sjGST by using in vitro as well as in silico approaches. We confirmed that the sjGST(E26H) protein exhibits significantly increased affinity for binding nickel ions as compared to the wild-type. In addition, we proved that the sjGST(E26H) can be purified efficiently either with glutathione- or immobilized metal ion-affinity chromatography, even in consecutive purification steps. The human retroviral-like aspartic protease 1 (ASPRV1) conjugated with the sjGST(E26H) fusion tag was also successfully purified by using both of these affinity chromatographic approaches. Our studies revealed that the E26H mutant sjGST can be used as a versatile affinity tag because the modified protein retains the kinetic features of the wild-type and its affinity towards glutathione, while can be purified efficiently by IMAC, as well.

Abstract Image

Abstract Image

Abstract Image

日本血吸虫谷胱甘肽s -转移酶E26H突变体的鉴定
谷胱甘肽- s转移酶是重组蛋白技术中应用最广泛的融合标签,如日本血吸虫(Schistosoma japonicum, sjGST)。已经发现sjGST的E26H突变显著提高了其结合二价离子的能力,可以用固定化金属亲和层析(IMAC)纯化。然而,这个突变体的大部分特征至今仍未被发现。在这项研究中,我们通过体外和计算机方法对野生型和E26H突变体sjGST进行了比较分析。我们证实,与野生型相比,sjGST(E26H)蛋白对镍离子的亲和力显著增加。此外,我们证明了sjGST(E26H)可以通过谷胱甘肽或固定化金属离子亲和层析有效地纯化,即使是连续的纯化步骤。结合sjGST(E26H)融合标签的人逆转录病毒样天冬氨酸蛋白酶1 (ASPRV1)也通过这两种亲和层析方法成功纯化。我们的研究表明,E26H突变体sjGST可以作为一个多功能的亲和标签,因为修饰后的蛋白保留了野生型的动力学特征和谷胱甘肽的亲和性,同时也可以通过IMAC高效地纯化。
本文章由计算机程序翻译,如有差异,请以英文原文为准。
求助全文
约1分钟内获得全文 求助全文
来源期刊
Proteins-Structure Function and Bioinformatics
Proteins-Structure Function and Bioinformatics 生物-生化与分子生物学
CiteScore
5.90
自引率
3.40%
发文量
172
审稿时长
3 months
期刊介绍: PROTEINS : Structure, Function, and Bioinformatics publishes original reports of significant experimental and analytic research in all areas of protein research: structure, function, computation, genetics, and design. The journal encourages reports that present new experimental or computational approaches for interpreting and understanding data from biophysical chemistry, structural studies of proteins and macromolecular assemblies, alterations of protein structure and function engineered through techniques of molecular biology and genetics, functional analyses under physiologic conditions, as well as the interactions of proteins with receptors, nucleic acids, or other specific ligands or substrates. Research in protein and peptide biochemistry directed toward synthesizing or characterizing molecules that simulate aspects of the activity of proteins, or that act as inhibitors of protein function, is also within the scope of PROTEINS. In addition to full-length reports, short communications (usually not more than 4 printed pages) and prediction reports are welcome. Reviews are typically by invitation; authors are encouraged to submit proposed topics for consideration.
×
引用
GB/T 7714-2015
复制
MLA
复制
APA
复制
导出至
BibTeX EndNote RefMan NoteFirst NoteExpress
×
提示
您的信息不完整,为了账户安全,请先补充。
现在去补充
×
提示
您因"违规操作"
具体请查看互助需知
我知道了
×
提示
确定
请完成安全验证×
copy
已复制链接
快去分享给好友吧!
我知道了
右上角分享
点击右上角分享
0
联系我们:info@booksci.cn Book学术提供免费学术资源搜索服务,方便国内外学者检索中英文文献。致力于提供最便捷和优质的服务体验。 Copyright © 2023 布克学术 All rights reserved.
京ICP备2023020795号-1
ghs 京公网安备 11010802042870号
Book学术文献互助
Book学术文献互助群
群 号:604180095
Book学术官方微信