A Narrative Review of Molecular, Immunohistochemical and In-Situ Techniques in Dermatopathology.

IF 4.6 4区 医学 Q2 MEDICAL LABORATORY TECHNOLOGY
British Journal of Biomedical Science Pub Date : 2024-12-17 eCollection Date: 2024-01-01 DOI:10.3389/bjbs.2024.13437
J A Gabriel, N Weerasinghe, P Balachandran, R Salih, G E Orchard
{"title":"A Narrative Review of Molecular, Immunohistochemical and In-Situ Techniques in Dermatopathology.","authors":"J A Gabriel, N Weerasinghe, P Balachandran, R Salih, G E Orchard","doi":"10.3389/bjbs.2024.13437","DOIUrl":null,"url":null,"abstract":"<p><p>Skin disorders pose a significant health burden globally, affecting millions of individuals across diverse demographics. Advancements in molecular techniques have revolutionised our understanding of the underlying mechanisms of skin disorders, offering insights into their pathogenesis, diagnosis, and potential targeted treatment. Furthermore, the integration of molecular diagnostics into clinical practice has enhanced the accuracy of skin disorder diagnoses. Polymerase chain reaction (PCR), next-generation sequencing (NGS), and other molecular assays have allowed for the detection of infectious agents, assessment of genetic mutations, and profile gene expression patterns with unequalled precision. These techniques have proven instrumental in distinguishing between subtypes of skin cancers, aiding treatment strategies and prognostic assessments. Moreover, molecular profiling is increasingly guiding the selection of therapeutic agents, ensuring a personalised and effective approach to managing skin disorders. The application of PCR has revolutionised the field by enabling the identification of microbial DNA (i.e., <i>Mycobacterium tuberculosis</i> and Epstein-Barr Virus) in skin infections and detecting specific genetic mutations associated with dermatological disorders (e.g., BRAF). DNA sequencing technologies, such as next-generation sequencing, have facilitated the elucidation of genetic variations and mutations in skin diseases (i.e., bullous disorders), paving the way for personalised treatment approaches. Gene expression profiling techniques, such as microarrays and RNA sequencing, have provided insights into dysregulated pathways and molecular signatures associated with conditions ranging from inflammatory skin disorders to cutaneous malignancies. Immunohistochemistry and fluorescence <i>in situ</i> hybridization have proven invaluable in determining protein expression patterns and detecting chromosomal abnormalities, respectively, aiding in the characterization of skin lesions in conjunction with the molecular data. Proteomic studies have contributed to understanding the intricate protein networks involved in dermatological conditions (i.e., psoriasis), while epigenetic analyses have shed light on the role of epigenetic modifications in gene regulation within skin cancer (i.e., Malignant Melanoma). Together, these molecular techniques have laid the groundwork for targeted therapies and precision medicine in dermatology, with implications for improved diagnostics and treatment outcomes. This review focuses on the routinely employed molecular techniques within dermatopathology, with a focus on cutaneous malignancies, autoimmune diseases, infectious diseases, and neonatal screening which can be implemented in the diagnosis and contribute to improved patient care.</p>","PeriodicalId":9236,"journal":{"name":"British Journal of Biomedical Science","volume":"81 ","pages":"13437"},"PeriodicalIF":4.6000,"publicationDate":"2024-12-17","publicationTypes":"Journal Article","fieldsOfStudy":null,"isOpenAccess":false,"openAccessPdf":"https://www.ncbi.nlm.nih.gov/pmc/articles/PMC11687224/pdf/","citationCount":"0","resultStr":null,"platform":"Semanticscholar","paperid":null,"PeriodicalName":"British Journal of Biomedical Science","FirstCategoryId":"3","ListUrlMain":"https://doi.org/10.3389/bjbs.2024.13437","RegionNum":4,"RegionCategory":"医学","ArticlePicture":[],"TitleCN":null,"AbstractTextCN":null,"PMCID":null,"EPubDate":"2024/1/1 0:00:00","PubModel":"eCollection","JCR":"Q2","JCRName":"MEDICAL LABORATORY TECHNOLOGY","Score":null,"Total":0}
引用次数: 0

Abstract

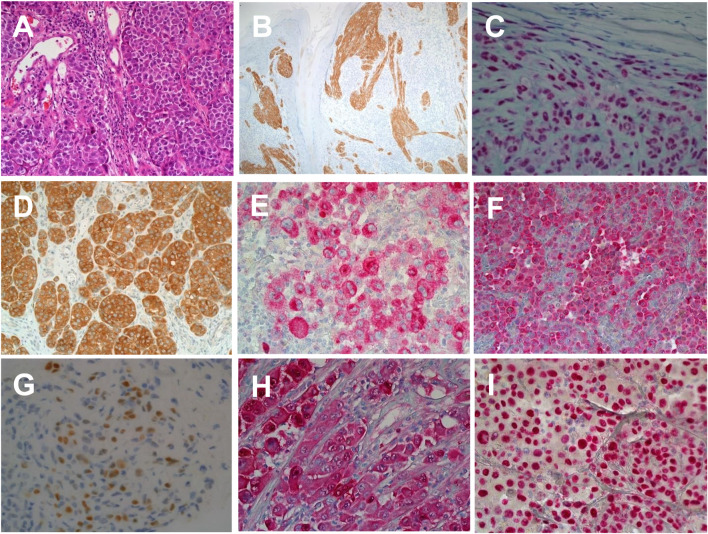
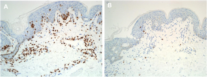
Skin disorders pose a significant health burden globally, affecting millions of individuals across diverse demographics. Advancements in molecular techniques have revolutionised our understanding of the underlying mechanisms of skin disorders, offering insights into their pathogenesis, diagnosis, and potential targeted treatment. Furthermore, the integration of molecular diagnostics into clinical practice has enhanced the accuracy of skin disorder diagnoses. Polymerase chain reaction (PCR), next-generation sequencing (NGS), and other molecular assays have allowed for the detection of infectious agents, assessment of genetic mutations, and profile gene expression patterns with unequalled precision. These techniques have proven instrumental in distinguishing between subtypes of skin cancers, aiding treatment strategies and prognostic assessments. Moreover, molecular profiling is increasingly guiding the selection of therapeutic agents, ensuring a personalised and effective approach to managing skin disorders. The application of PCR has revolutionised the field by enabling the identification of microbial DNA (i.e., Mycobacterium tuberculosis and Epstein-Barr Virus) in skin infections and detecting specific genetic mutations associated with dermatological disorders (e.g., BRAF). DNA sequencing technologies, such as next-generation sequencing, have facilitated the elucidation of genetic variations and mutations in skin diseases (i.e., bullous disorders), paving the way for personalised treatment approaches. Gene expression profiling techniques, such as microarrays and RNA sequencing, have provided insights into dysregulated pathways and molecular signatures associated with conditions ranging from inflammatory skin disorders to cutaneous malignancies. Immunohistochemistry and fluorescence in situ hybridization have proven invaluable in determining protein expression patterns and detecting chromosomal abnormalities, respectively, aiding in the characterization of skin lesions in conjunction with the molecular data. Proteomic studies have contributed to understanding the intricate protein networks involved in dermatological conditions (i.e., psoriasis), while epigenetic analyses have shed light on the role of epigenetic modifications in gene regulation within skin cancer (i.e., Malignant Melanoma). Together, these molecular techniques have laid the groundwork for targeted therapies and precision medicine in dermatology, with implications for improved diagnostics and treatment outcomes. This review focuses on the routinely employed molecular techniques within dermatopathology, with a focus on cutaneous malignancies, autoimmune diseases, infectious diseases, and neonatal screening which can be implemented in the diagnosis and contribute to improved patient care.

Abstract Image

Abstract Image

Abstract Image

分子、免疫组织化学和原位技术在皮肤病理学中的应用综述。
皮肤病在全球范围内构成了重大的健康负担,影响着不同人口统计学中的数百万人。分子技术的进步彻底改变了我们对皮肤疾病潜在机制的理解,为其发病机制、诊断和潜在的靶向治疗提供了见解。此外,分子诊断与临床实践的结合提高了皮肤病诊断的准确性。聚合酶链反应(PCR)、新一代测序(NGS)和其他分子分析方法已经能够以无与伦比的精度检测感染因子、评估基因突变和描述基因表达模式。这些技术已被证明有助于区分皮肤癌亚型,帮助治疗策略和预后评估。此外,分子图谱越来越多地指导治疗药物的选择,确保个性化和有效的方法来管理皮肤疾病。PCR的应用彻底改变了这一领域,使鉴定皮肤感染中的微生物DNA(即结核分枝杆菌和爱泼斯坦-巴尔病毒)和检测与皮肤疾病(例如BRAF)相关的特定基因突变成为可能。DNA测序技术,如下一代测序技术,有助于阐明皮肤疾病(即大疱性疾病)的遗传变异和突变,为个性化治疗方法铺平了道路。基因表达谱技术,如微阵列和RNA测序,已经提供了与炎症性皮肤疾病和皮肤恶性肿瘤相关的失调途径和分子特征的见解。免疫组织化学和荧光原位杂交已被证明在确定蛋白质表达模式和检测染色体异常方面分别具有宝贵的价值,有助于结合分子数据表征皮肤病变。蛋白质组学研究有助于理解皮肤疾病(如牛皮癣)中复杂的蛋白质网络,而表观遗传学分析则揭示了表观遗传修饰在皮肤癌(如恶性黑色素瘤)中基因调控的作用。总之,这些分子技术为皮肤病学的靶向治疗和精准医学奠定了基础,对改善诊断和治疗结果具有重要意义。本文综述了在皮肤病理学中常规应用的分子技术,重点是皮肤恶性肿瘤、自身免疫性疾病、传染病和新生儿筛查,这些技术可以在诊断中实施,并有助于改善患者护理。
本文章由计算机程序翻译,如有差异,请以英文原文为准。
求助全文
约1分钟内获得全文 求助全文
来源期刊
British Journal of Biomedical Science
British Journal of Biomedical Science 医学-医学实验技术
CiteScore
4.40
自引率
15.80%
发文量
29
审稿时长
>12 weeks
期刊介绍: The British Journal of Biomedical Science is committed to publishing high quality original research that represents a clear advance in the practice of biomedical science, and reviews that summarise recent advances in the field of biomedical science. The overall aim of the Journal is to provide a platform for the dissemination of new and innovative information on the diagnosis and management of disease that is valuable to the practicing laboratory scientist.
×
引用
GB/T 7714-2015
复制
MLA
复制
APA
复制
导出至
BibTeX EndNote RefMan NoteFirst NoteExpress
×
提示
您的信息不完整,为了账户安全,请先补充。
现在去补充
×
提示
您因"违规操作"
具体请查看互助需知
我知道了
×
提示
确定
请完成安全验证×
copy
已复制链接
快去分享给好友吧!
我知道了
右上角分享
点击右上角分享
0
联系我们:info@booksci.cn Book学术提供免费学术资源搜索服务,方便国内外学者检索中英文文献。致力于提供最便捷和优质的服务体验。 Copyright © 2023 布克学术 All rights reserved.
京ICP备2023020795号-1
ghs 京公网安备 11010802042870号
Book学术文献互助
Book学术文献互助群
群 号:604180095
Book学术官方微信