Retinoblastoma in Ethiopian Children: Imaging Findings and Staging.

IF 1.5 Q3 HEALTH CARE SCIENCES & SERVICES
Abebe Mekonnen Woldeyohannes, Biruk Abebe Wondimu, Daniel Hailu Kefenie, Tesfaye Kebede Legesse, Semira Abrar Issa
{"title":"Retinoblastoma in Ethiopian Children: Imaging Findings and Staging.","authors":"Abebe Mekonnen Woldeyohannes, Biruk Abebe Wondimu, Daniel Hailu Kefenie, Tesfaye Kebede Legesse, Semira Abrar Issa","doi":"10.4314/ejhs.v34i1.7S","DOIUrl":null,"url":null,"abstract":"<p><strong>Background: </strong>Retinoblastoma is the most prevalent intraocular retinal malignancy in children worldwide. Accurate staging is critical for treatment planning and relies heavily on radiologic imaging and clinical findings. This study aims to evaluate imaging patterns and staging of retinoblastoma in children at Tikur Anbessa Specialized Hospital (TASH).</p><p><strong>Materials and methods: </strong>This cross-sectional study analyzed retrospective data from TASH between September 2018 and September 2021. It focused on patients diagnosed with retinoblastoma who underwent Computed Tomography (CT) scans or Magnetic Resonant Imaging (MRI) and had pathology results available. Two radiologists, each with over 10 years of experience, independently reviewed the scans. Supplementary data were gathered from the pediatric oncology unit registry using structured questionnaires. The International Retinoblastoma Staging System (IRSS) was used to stage extraocular disease based on cross-sectional imaging and the International Intraocular Retinoblastoma Classification (IIRC) for intraocular disease classification.</p><p><strong>Results: </strong>Eighty-three patients were included, with 42 (50.6%) males and 41 (49.4%) females. The mean age at presentation was 3.4 ± 2 years. The most common clinical symptoms were proptosis (42 patients, 50.6%) and leukocoria (37 patients, 44.6%). Clinical staging revealed 63 (75.9%) patients in Group E, 19 (22.9%) in Group D, and 1 (1.2%) in Group C according to IIRC. Stage IV disease was predominant, with 33 (39.2%) in Stage IVA and 18 (21.4%) in Stage IVB according to IRSS.</p><p><strong>Conclusion: </strong>Most patients presented with advanced retinoblastoma, particularly Stage IV. This underscores the need for community awareness of early signs and symptoms of retinoblastoma, promoting timely medical consultation.</p>","PeriodicalId":12003,"journal":{"name":"Ethiopian Journal of Health Sciences","volume":"34 Spec Iss 1","pages":"39-46"},"PeriodicalIF":1.5000,"publicationDate":"2024-10-01","publicationTypes":"Journal Article","fieldsOfStudy":null,"isOpenAccess":false,"openAccessPdf":"https://www.ncbi.nlm.nih.gov/pmc/articles/PMC11674751/pdf/","citationCount":"0","resultStr":null,"platform":"Semanticscholar","paperid":null,"PeriodicalName":"Ethiopian Journal of Health Sciences","FirstCategoryId":"1085","ListUrlMain":"https://doi.org/10.4314/ejhs.v34i1.7S","RegionNum":0,"RegionCategory":null,"ArticlePicture":[],"TitleCN":null,"AbstractTextCN":null,"PMCID":null,"EPubDate":"","PubModel":"","JCR":"Q3","JCRName":"HEALTH CARE SCIENCES & SERVICES","Score":null,"Total":0}
引用次数: 0

Abstract

Background: Retinoblastoma is the most prevalent intraocular retinal malignancy in children worldwide. Accurate staging is critical for treatment planning and relies heavily on radiologic imaging and clinical findings. This study aims to evaluate imaging patterns and staging of retinoblastoma in children at Tikur Anbessa Specialized Hospital (TASH).

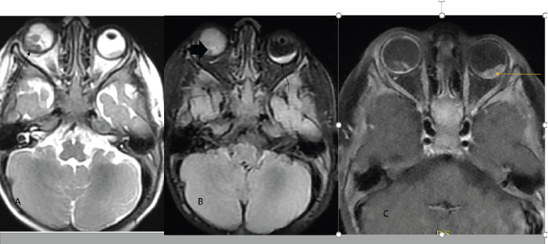
Materials and methods: This cross-sectional study analyzed retrospective data from TASH between September 2018 and September 2021. It focused on patients diagnosed with retinoblastoma who underwent Computed Tomography (CT) scans or Magnetic Resonant Imaging (MRI) and had pathology results available. Two radiologists, each with over 10 years of experience, independently reviewed the scans. Supplementary data were gathered from the pediatric oncology unit registry using structured questionnaires. The International Retinoblastoma Staging System (IRSS) was used to stage extraocular disease based on cross-sectional imaging and the International Intraocular Retinoblastoma Classification (IIRC) for intraocular disease classification.

Results: Eighty-three patients were included, with 42 (50.6%) males and 41 (49.4%) females. The mean age at presentation was 3.4 ± 2 years. The most common clinical symptoms were proptosis (42 patients, 50.6%) and leukocoria (37 patients, 44.6%). Clinical staging revealed 63 (75.9%) patients in Group E, 19 (22.9%) in Group D, and 1 (1.2%) in Group C according to IIRC. Stage IV disease was predominant, with 33 (39.2%) in Stage IVA and 18 (21.4%) in Stage IVB according to IRSS.

Conclusion: Most patients presented with advanced retinoblastoma, particularly Stage IV. This underscores the need for community awareness of early signs and symptoms of retinoblastoma, promoting timely medical consultation.

Abstract Image

埃塞俄比亚儿童视网膜母细胞瘤:影像学表现和分期。
背景:视网膜母细胞瘤是世界范围内最常见的儿童眼内视网膜恶性肿瘤。准确的分期对治疗计划至关重要,并在很大程度上依赖于放射学成像和临床表现。本研究旨在评估Tikur Anbessa专科医院(TASH)儿童视网膜母细胞瘤的影像学模式和分期。材料和方法:本横断面研究分析了2018年9月至2021年9月期间TASH的回顾性数据。它的重点是被诊断为视网膜母细胞瘤的患者,他们接受了计算机断层扫描(CT)或磁共振成像(MRI)扫描,并有病理结果。两名有10年以上经验的放射科医生独立检查了扫描结果。补充数据采用结构化问卷从儿科肿瘤科登记处收集。采用国际视网膜母细胞瘤分期系统(IRSS)对眼外疾病进行分期,采用国际眼内视网膜母细胞瘤分级系统(IIRC)对眼内疾病进行分级。结果:纳入83例患者,其中男性42例(50.6%),女性41例(49.4%)。平均发病年龄为3.4±2岁。最常见的临床症状是突出(42例,50.6%)和白斑(37例,44.6%)。临床分期:根据IIRC, E组63例(75.9%),D组19例(22.9%),C组1例(1.2%)。根据IRSS, IV期疾病占主导地位,IVA期33例(39.2%),IVB期18例(21.4%)。结论:大多数患者表现为晚期视网膜母细胞瘤,特别是IV期。这强调了社会对视网膜母细胞瘤早期体征和症状的认识,促进及时的医疗咨询的必要性。
本文章由计算机程序翻译,如有差异,请以英文原文为准。
求助全文
约1分钟内获得全文 求助全文
来源期刊
Ethiopian Journal of Health Sciences
Ethiopian Journal of Health Sciences HEALTH CARE SCIENCES & SERVICES-
CiteScore
2.10
自引率
8.30%
发文量
137
审稿时长
12 weeks
期刊介绍: Ethiopian Journal of Health Sciences is a general health science journal addressing clinical medicine, public health and biomedical sciences. Rarely, it covers veterinary medicine
×
引用
GB/T 7714-2015
复制
MLA
复制
APA
复制
导出至
BibTeX EndNote RefMan NoteFirst NoteExpress
×
提示
您的信息不完整,为了账户安全,请先补充。
现在去补充
×
提示
您因"违规操作"
具体请查看互助需知
我知道了
×
提示
确定
请完成安全验证×
copy
已复制链接
快去分享给好友吧!
我知道了
右上角分享
点击右上角分享
0
联系我们:info@booksci.cn Book学术提供免费学术资源搜索服务,方便国内外学者检索中英文文献。致力于提供最便捷和优质的服务体验。 Copyright © 2023 布克学术 All rights reserved.
京ICP备2023020795号-1
ghs 京公网安备 11010802042870号
Book学术文献互助
Book学术文献互助群
群 号:604180095
Book学术官方微信