Isolated Prostate Tuberculosis Mimicking Prostate Cancer.

IF 1.5 Q3 HEALTH CARE SCIENCES & SERVICES
Tesfaye Kebede Legesse, Semira Abrar Issa, Yodit Abraham Yaynishet, Tesfahun Amsal Dessie, Tewodros Yalew Gebremariam, Birhanu Kassie Reta
{"title":"Isolated Prostate Tuberculosis Mimicking Prostate Cancer.","authors":"Tesfaye Kebede Legesse, Semira Abrar Issa, Yodit Abraham Yaynishet, Tesfahun Amsal Dessie, Tewodros Yalew Gebremariam, Birhanu Kassie Reta","doi":"10.4314/ejhs.v34i1.10S","DOIUrl":null,"url":null,"abstract":"<p><strong>Background: </strong>Tuberculosis (TB) remains the deadliest infectious disease globally, with the kidneys being the most frequently affected organ in the genitourinary system. Isolated prostate involvement by tuberculosis is rare and may mimic prostate cancer. This case report aims to highlight the diagnostic challenges and therapeutic responses associated with isolated prostate tuberculosis, particularly in the context of significantly elevated prostate-specific antigen (PSA) levels in a TB-endemic region.</p><p><strong>Case presentation: </strong>A 69-year-old male was referred to Tikur Anbessa Specialized Hospital (TASH) with obstructive lower urinary tract symptoms (LUTS) lasting seven months. He had previously undergone transurethral resection of the prostate (TURP), with histopathological findings suggestive of benign prostatic hyperplasia (BPH). Further investigation revealed an extremely elevated PSA level of 1768 ng/ml. Magnetic Resonance Imaging (MRI} raised high suspicion for locally advanced prostate cancer; however, a repeat biopsy and histopathology ultimately diagnosed TB prostatitis. The patient responded successfully to anti-tuberculosis therapy.</p><p><strong>Conclusion: </strong>Isolated prostate involvement by M. tuberculosis is rare, and extremely elevated PSA levels are unusual. Histopathological examination is a confirmatory test, but results can be falsely negative if a representative sample is not obtained. Therefore, a high degree of clinical suspicion, particularly in endemic areas, along with repeat biopsy, is crucial for accurate diagnosis.</p>","PeriodicalId":12003,"journal":{"name":"Ethiopian Journal of Health Sciences","volume":"34 Spec Iss 1","pages":"67-72"},"PeriodicalIF":1.5000,"publicationDate":"2024-10-01","publicationTypes":"Journal Article","fieldsOfStudy":null,"isOpenAccess":false,"openAccessPdf":"https://www.ncbi.nlm.nih.gov/pmc/articles/PMC11674750/pdf/","citationCount":"0","resultStr":null,"platform":"Semanticscholar","paperid":null,"PeriodicalName":"Ethiopian Journal of Health Sciences","FirstCategoryId":"1085","ListUrlMain":"https://doi.org/10.4314/ejhs.v34i1.10S","RegionNum":0,"RegionCategory":null,"ArticlePicture":[],"TitleCN":null,"AbstractTextCN":null,"PMCID":null,"EPubDate":"","PubModel":"","JCR":"Q3","JCRName":"HEALTH CARE SCIENCES & SERVICES","Score":null,"Total":0}
引用次数: 0

Abstract

Background: Tuberculosis (TB) remains the deadliest infectious disease globally, with the kidneys being the most frequently affected organ in the genitourinary system. Isolated prostate involvement by tuberculosis is rare and may mimic prostate cancer. This case report aims to highlight the diagnostic challenges and therapeutic responses associated with isolated prostate tuberculosis, particularly in the context of significantly elevated prostate-specific antigen (PSA) levels in a TB-endemic region.

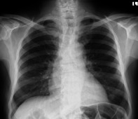
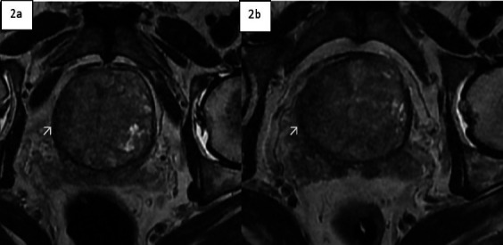
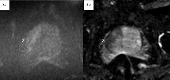
Case presentation: A 69-year-old male was referred to Tikur Anbessa Specialized Hospital (TASH) with obstructive lower urinary tract symptoms (LUTS) lasting seven months. He had previously undergone transurethral resection of the prostate (TURP), with histopathological findings suggestive of benign prostatic hyperplasia (BPH). Further investigation revealed an extremely elevated PSA level of 1768 ng/ml. Magnetic Resonance Imaging (MRI} raised high suspicion for locally advanced prostate cancer; however, a repeat biopsy and histopathology ultimately diagnosed TB prostatitis. The patient responded successfully to anti-tuberculosis therapy.

Conclusion: Isolated prostate involvement by M. tuberculosis is rare, and extremely elevated PSA levels are unusual. Histopathological examination is a confirmatory test, but results can be falsely negative if a representative sample is not obtained. Therefore, a high degree of clinical suspicion, particularly in endemic areas, along with repeat biopsy, is crucial for accurate diagnosis.

Abstract Image

Abstract Image

Abstract Image

模拟前列腺癌的分离前列腺结核。
背景:结核病(TB)仍然是全球最致命的传染病,肾脏是泌尿生殖系统中最常见的器官。孤立的前列腺受累的结核是罕见的,可能模仿前列腺癌。本病例报告旨在强调与孤立性前列腺结核相关的诊断挑战和治疗反应,特别是在结核病流行地区前列腺特异性抗原(PSA)水平显著升高的背景下。病例介绍:一名69岁男性因下尿路梗阻性症状(LUTS)持续7个月被转介到提库尔安贝萨专科医院(TASH)。他之前接受过经尿道前列腺切除术(TURP),组织病理学结果提示良性前列腺增生(BPH)。进一步调查显示PSA水平异常升高,达到1768 ng/ml。磁共振成像(MRI)对局部晚期前列腺癌提出高度怀疑;然而,重复活检和组织病理学最终诊断为结核性前列腺炎。病人对抗结核治疗反应良好。结论:孤立性结核分枝杆菌累及前列腺是罕见的,PSA水平异常升高是不寻常的。组织病理学检查是一种确证性检查,但如果没有获得具有代表性的样本,结果可能为假阴性。因此,高度的临床怀疑,特别是在流行地区,以及重复活检,对于准确诊断至关重要。
本文章由计算机程序翻译,如有差异,请以英文原文为准。
求助全文
约1分钟内获得全文 求助全文
来源期刊
Ethiopian Journal of Health Sciences
Ethiopian Journal of Health Sciences HEALTH CARE SCIENCES & SERVICES-
CiteScore
2.10
自引率
8.30%
发文量
137
审稿时长
12 weeks
期刊介绍: Ethiopian Journal of Health Sciences is a general health science journal addressing clinical medicine, public health and biomedical sciences. Rarely, it covers veterinary medicine
×
引用
GB/T 7714-2015
复制
MLA
复制
APA
复制
导出至
BibTeX EndNote RefMan NoteFirst NoteExpress
×
提示
您的信息不完整,为了账户安全,请先补充。
现在去补充
×
提示
您因"违规操作"
具体请查看互助需知
我知道了
×
提示
确定
请完成安全验证×
copy
已复制链接
快去分享给好友吧!
我知道了
右上角分享
点击右上角分享
0
联系我们:info@booksci.cn Book学术提供免费学术资源搜索服务,方便国内外学者检索中英文文献。致力于提供最便捷和优质的服务体验。 Copyright © 2023 布克学术 All rights reserved.
京ICP备2023020795号-1
ghs 京公网安备 11010802042870号
Book学术文献互助
Book学术文献互助群
群 号:604180095
Book学术官方微信