Clinical and Radiological Features of Perianal Fistula: An MRI-Based Study in Addis Ababa, Ethiopia.

IF 1.5 Q3 HEALTH CARE SCIENCES & SERVICES
Semira Abrar Issa, Tesfaye Kebede Legesse, Assefa Getachew Kebede, Alemayehu Bedane Worke, Ashenafi Aberra Buser
{"title":"Clinical and Radiological Features of Perianal Fistula: An MRI-Based Study in Addis Ababa, Ethiopia.","authors":"Semira Abrar Issa, Tesfaye Kebede Legesse, Assefa Getachew Kebede, Alemayehu Bedane Worke, Ashenafi Aberra Buser","doi":"10.4314/ejhs.v34i1.6S","DOIUrl":null,"url":null,"abstract":"<p><strong>Background: </strong>Perianal fistula refers to an abnormal connection between the anal canal and the perianal skin or perineum. Magnetic Resonance Imaging (MRI) plays a crucial role in accurately characterizing perianal fistulas, which informs surgical strategies and helps minimize recurrence.</p><p><strong>Methods: </strong>This cross-sectional study was conducted at a single diagnostic imaging center in Addis Ababa, utilizing retrospectively collected data from May 2023 to June 2024. All patients referred for suspected perianal fistulas were included. MRI scans were reviewed by a radiologist in body imaging fellowship and a body imaging subspecialist. Findings, along with sociodemographic data, were documented in a structured questionnaire and analyzed using SPSS.</p><p><strong>Results: </strong>The study encompassed 304 primary fistula tracts in 276 patients, with 233 (84.4%) being male. Complex fistulas were identified in 83 patients (30.1%), 43 (15.6%) had secondary extensions, and 64 (27.1%) presented with abscess collections. The most common type of fistula, according to the Parks classification, was intersphincteric, observed in 263 cases (86.5%). The St. James University Hospital grades 1 and 2 were predominant, representing 176 (57.9%) and 62 (20.4%) of the cases, respectively. A significant association was found between complex fistulas, higher Parks grades, and the total length of the fistula tract.</p><p><strong>Conclusion: </strong>This study elucidates MRI patterns of perianal fistulas, revealing that over one-third of patients had complex fistulas. This underscores the importance of preoperative MRI for effective surgical planning and reducing recurrence rates.</p>","PeriodicalId":12003,"journal":{"name":"Ethiopian Journal of Health Sciences","volume":"34 Spec Iss 1","pages":"31-38"},"PeriodicalIF":1.5000,"publicationDate":"2024-10-01","publicationTypes":"Journal Article","fieldsOfStudy":null,"isOpenAccess":false,"openAccessPdf":"https://www.ncbi.nlm.nih.gov/pmc/articles/PMC11674752/pdf/","citationCount":"0","resultStr":null,"platform":"Semanticscholar","paperid":null,"PeriodicalName":"Ethiopian Journal of Health Sciences","FirstCategoryId":"1085","ListUrlMain":"https://doi.org/10.4314/ejhs.v34i1.6S","RegionNum":0,"RegionCategory":null,"ArticlePicture":[],"TitleCN":null,"AbstractTextCN":null,"PMCID":null,"EPubDate":"","PubModel":"","JCR":"Q3","JCRName":"HEALTH CARE SCIENCES & SERVICES","Score":null,"Total":0}
引用次数: 0

Abstract

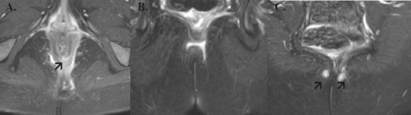
Background: Perianal fistula refers to an abnormal connection between the anal canal and the perianal skin or perineum. Magnetic Resonance Imaging (MRI) plays a crucial role in accurately characterizing perianal fistulas, which informs surgical strategies and helps minimize recurrence.

Methods: This cross-sectional study was conducted at a single diagnostic imaging center in Addis Ababa, utilizing retrospectively collected data from May 2023 to June 2024. All patients referred for suspected perianal fistulas were included. MRI scans were reviewed by a radiologist in body imaging fellowship and a body imaging subspecialist. Findings, along with sociodemographic data, were documented in a structured questionnaire and analyzed using SPSS.

Results: The study encompassed 304 primary fistula tracts in 276 patients, with 233 (84.4%) being male. Complex fistulas were identified in 83 patients (30.1%), 43 (15.6%) had secondary extensions, and 64 (27.1%) presented with abscess collections. The most common type of fistula, according to the Parks classification, was intersphincteric, observed in 263 cases (86.5%). The St. James University Hospital grades 1 and 2 were predominant, representing 176 (57.9%) and 62 (20.4%) of the cases, respectively. A significant association was found between complex fistulas, higher Parks grades, and the total length of the fistula tract.

Conclusion: This study elucidates MRI patterns of perianal fistulas, revealing that over one-third of patients had complex fistulas. This underscores the importance of preoperative MRI for effective surgical planning and reducing recurrence rates.

Abstract Image

Abstract Image

Abstract Image

临床和放射学特征肛周瘘:在亚的斯亚贝巴,埃塞俄比亚的一项基于mri的研究。
背景:肛周瘘是指肛管与肛周皮肤或会阴之间的异常连接。磁共振成像(MRI)在准确表征肛周瘘管方面起着至关重要的作用,为手术策略提供信息,并有助于减少复发。方法:本横断面研究在亚的斯亚贝巴的单一诊断成像中心进行,利用回顾性收集的数据从2023年5月至2024年6月。所有疑似肛周瘘管的患者均被纳入。MRI扫描由身体成像研究员的放射科医生和身体成像亚专家进行审查。研究结果与社会人口统计数据一起记录在结构化问卷中,并使用SPSS进行分析。结果:该研究包括276例患者的304个原发性瘘道,其中233例(84.4%)为男性。83例(30.1%)患者出现复杂瘘管,43例(15.6%)患者继发延伸,64例(27.1%)患者出现脓肿。根据Parks分类,最常见的瘘管类型为括约肌间瘘管,263例(86.5%)。圣詹姆斯大学医院1级和2级占多数,分别占176例(57.9%)和62例(20.4%)。在复杂瘘管、较高的Parks分级和瘘道总长度之间发现了显著的关联。结论:本研究阐明了肛周瘘管的MRI表现,显示超过三分之一的患者为复杂瘘管。这强调了术前MRI对有效的手术计划和降低复发率的重要性。
本文章由计算机程序翻译,如有差异,请以英文原文为准。
求助全文
约1分钟内获得全文 求助全文
来源期刊
Ethiopian Journal of Health Sciences
Ethiopian Journal of Health Sciences HEALTH CARE SCIENCES & SERVICES-
CiteScore
2.10
自引率
8.30%
发文量
137
审稿时长
12 weeks
期刊介绍: Ethiopian Journal of Health Sciences is a general health science journal addressing clinical medicine, public health and biomedical sciences. Rarely, it covers veterinary medicine
×
引用
GB/T 7714-2015
复制
MLA
复制
APA
复制
导出至
BibTeX EndNote RefMan NoteFirst NoteExpress
×
提示
您的信息不完整,为了账户安全,请先补充。
现在去补充
×
提示
您因"违规操作"
具体请查看互助需知
我知道了
×
提示
确定
请完成安全验证×
copy
已复制链接
快去分享给好友吧!
我知道了
右上角分享
点击右上角分享
0
联系我们:info@booksci.cn Book学术提供免费学术资源搜索服务,方便国内外学者检索中英文文献。致力于提供最便捷和优质的服务体验。 Copyright © 2023 布克学术 All rights reserved.
京ICP备2023020795号-1
ghs 京公网安备 11010802042870号
Book学术文献互助
Book学术文献互助群
群 号:604180095
Book学术官方微信