Acute Kidney Injury Following the Ingestion of a Medicinal Plants' Mixture: A Case Report.

Case Reports in Nephrology Pub Date : 2024-12-19 eCollection Date: 2024-01-01 DOI:10.1155/crin/8207758
Anfel Selles, Yanis Afir, Yasser Rahou, Lamis Debchi, Habiba Rafa-Debbah, Mohamed Rachid Bahriz, Ali Benziane
{"title":"Acute Kidney Injury Following the Ingestion of a Medicinal Plants' Mixture: A Case Report.","authors":"Anfel Selles, Yanis Afir, Yasser Rahou, Lamis Debchi, Habiba Rafa-Debbah, Mohamed Rachid Bahriz, Ali Benziane","doi":"10.1155/crin/8207758","DOIUrl":null,"url":null,"abstract":"<p><p>Acute renal failure secondary to medicinal plants is common in countries where the use of traditional phytotherapy is preponderant. Although the nephrotoxic potentials of some herbal preparations have been well characterized, the use of many medicinal plants is still considered largely safe, often relying on weak evidence. Here, we report the case of a 17-year-old patient with severe acute renal failure, associated to an esophagitis with erosive gastritis as well as an inflammatory anemia, with no obvious etiology. After ruling out any other plausible explanation, the syndrome was attributed to the chronic intake of a mixture of three medicinal plants, previously unknown to be nephrotoxic: <i>Artemisia absinthium</i>, <i>Marrubium vulgare</i>, and <i>Centaurium erythraea</i>. A histological examination of a renal biopsy sample revealed an aspect of interstitial nephritis without antibody deposits. To our knowledge, this is the first reported case of acute kidney injury related to the consumption of these three plants and prompts further studies to carefully assess the safety of traditional medicinal products based on these plants.</p>","PeriodicalId":9604,"journal":{"name":"Case Reports in Nephrology","volume":"2024 ","pages":"8207758"},"PeriodicalIF":0.0000,"publicationDate":"2024-12-19","publicationTypes":"Journal Article","fieldsOfStudy":null,"isOpenAccess":false,"openAccessPdf":"https://www.ncbi.nlm.nih.gov/pmc/articles/PMC11671639/pdf/","citationCount":"0","resultStr":null,"platform":"Semanticscholar","paperid":null,"PeriodicalName":"Case Reports in Nephrology","FirstCategoryId":"1085","ListUrlMain":"https://doi.org/10.1155/crin/8207758","RegionNum":0,"RegionCategory":null,"ArticlePicture":[],"TitleCN":null,"AbstractTextCN":null,"PMCID":null,"EPubDate":"2024/1/1 0:00:00","PubModel":"eCollection","JCR":"","JCRName":"","Score":null,"Total":0}
引用次数: 0

Abstract

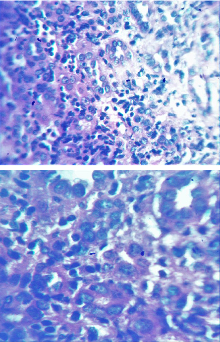
Acute renal failure secondary to medicinal plants is common in countries where the use of traditional phytotherapy is preponderant. Although the nephrotoxic potentials of some herbal preparations have been well characterized, the use of many medicinal plants is still considered largely safe, often relying on weak evidence. Here, we report the case of a 17-year-old patient with severe acute renal failure, associated to an esophagitis with erosive gastritis as well as an inflammatory anemia, with no obvious etiology. After ruling out any other plausible explanation, the syndrome was attributed to the chronic intake of a mixture of three medicinal plants, previously unknown to be nephrotoxic: Artemisia absinthium, Marrubium vulgare, and Centaurium erythraea. A histological examination of a renal biopsy sample revealed an aspect of interstitial nephritis without antibody deposits. To our knowledge, this is the first reported case of acute kidney injury related to the consumption of these three plants and prompts further studies to carefully assess the safety of traditional medicinal products based on these plants.

Abstract Image

摄入一种药用植物混合物后急性肾损伤1例报告。
在以使用传统植物疗法为主的国家,继发于药用植物的急性肾衰竭很常见。尽管一些草药制剂的肾毒性潜能已经得到了很好的描述,但许多药用植物的使用仍被认为是基本安全的,这往往依赖于薄弱的证据。在此,我们报告了一例 17 岁患者的病例,该患者患有严重的急性肾功能衰竭,伴有食管炎、糜烂性胃炎和炎性贫血,病因不明。在排除了任何其他合理的解释后,该综合征被归因于长期摄入了三种药用植物的混合物,而这三种植物以前并不知道有肾毒性:这三种药用植物是:苦艾蒿、万寿菊和半人马座红花。肾活检样本的组织学检查显示了间质性肾炎,但没有抗体沉积。据我们所知,这是首次报道与食用这三种植物有关的急性肾损伤病例,因此需要进一步研究,仔细评估基于这些植物的传统医药产品的安全性。
本文章由计算机程序翻译,如有差异,请以英文原文为准。
求助全文
约1分钟内获得全文 求助全文
来源期刊
Case Reports in Nephrology
Case Reports in Nephrology Medicine-Nephrology
CiteScore
1.70
自引率
0.00%
发文量
32
×
引用
GB/T 7714-2015
复制
MLA
复制
APA
复制
导出至
BibTeX EndNote RefMan NoteFirst NoteExpress
×
提示
您的信息不完整,为了账户安全,请先补充。
现在去补充
×
提示
您因"违规操作"
具体请查看互助需知
我知道了
×
提示
确定
请完成安全验证×
copy
已复制链接
快去分享给好友吧!
我知道了
右上角分享
点击右上角分享
0
联系我们:info@booksci.cn Book学术提供免费学术资源搜索服务,方便国内外学者检索中英文文献。致力于提供最便捷和优质的服务体验。 Copyright © 2023 布克学术 All rights reserved.
京ICP备2023020795号-1
ghs 京公网安备 11010802042870号
Book学术文献互助
Book学术文献互助群
群 号:604180095
Book学术官方微信