An Infant With DHX37 Variant: A Novel Etiology of 46,XY DSD and Literature Review.

JCEM case reports Pub Date : 2024-12-26 eCollection Date: 2025-01-01 DOI:10.1210/jcemcr/luae239
R Sena Turk Yilmaz, Adam B Hittelman, Alla Vash-Margita, Catherine Dinauer, Stuart A Weinzimer, Jasmine Gujral
{"title":"An Infant With <i>DHX37</i> Variant: A Novel Etiology of 46,XY DSD and Literature Review.","authors":"R Sena Turk Yilmaz, Adam B Hittelman, Alla Vash-Margita, Catherine Dinauer, Stuart A Weinzimer, Jasmine Gujral","doi":"10.1210/jcemcr/luae239","DOIUrl":null,"url":null,"abstract":"<p><p>46,XY sex reversal 11 (SRXY11) is a rare and recently identified form of 46,XY difference in sexual development (DSD), caused by variants in the DEAH-Box Helicase 37 gene (<i>DHX37</i>). <i>DHX37</i> is crucial for ribosome biogenesis, but its specific role in gonadal development remains unclear. The genital phenotype varies widely, ranging from typical female to typical male. We present a 46,XY infant with prenatal ultrasound findings of atypical genitalia. Amniotic fluid gene analysis revealed a known heterozygous pathogenic variant in <i>DHX37</i>, p.R308Q (c.923G>A), confirmed postnatally. The patient was born with markedly undervirilized genitalia with posteriorly fused labioscrotal folds, a single introitus, no clitoromegaly, and nonpalpable gonads. Laboratory evaluation at multiple points showed undetectable anti-Müllerian hormone (AMH) and inhibin B levels, elevated gonadotropin levels, and negligible testosterone levels. Clinical course was complicated by urine retention in the vagina and uterus and hydronephrosis requiring catheterization. Endoscopy revealed a urogenital sinus with separate urethral and vaginal openings and 2 cervices leading into 2 separate uteri suggestive of a bicornuate bicollis uterus. Laparoscopy revealed 2 intra-abdominal gonads adjacent to the fallopian tubes. Evidence for inheritance, penetrance, genotype-phenotype correlation, and risk of malignancy in SRXY11 is limited to case reports.</p>","PeriodicalId":73540,"journal":{"name":"JCEM case reports","volume":"3 1","pages":"luae239"},"PeriodicalIF":0.0000,"publicationDate":"2024-12-26","publicationTypes":"Journal Article","fieldsOfStudy":null,"isOpenAccess":false,"openAccessPdf":"https://www.ncbi.nlm.nih.gov/pmc/articles/PMC11669865/pdf/","citationCount":"0","resultStr":null,"platform":"Semanticscholar","paperid":null,"PeriodicalName":"JCEM case reports","FirstCategoryId":"1085","ListUrlMain":"https://doi.org/10.1210/jcemcr/luae239","RegionNum":0,"RegionCategory":null,"ArticlePicture":[],"TitleCN":null,"AbstractTextCN":null,"PMCID":null,"EPubDate":"2025/1/1 0:00:00","PubModel":"eCollection","JCR":"","JCRName":"","Score":null,"Total":0}
引用次数: 0

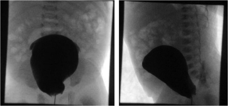
Abstract

46,XY sex reversal 11 (SRXY11) is a rare and recently identified form of 46,XY difference in sexual development (DSD), caused by variants in the DEAH-Box Helicase 37 gene (DHX37). DHX37 is crucial for ribosome biogenesis, but its specific role in gonadal development remains unclear. The genital phenotype varies widely, ranging from typical female to typical male. We present a 46,XY infant with prenatal ultrasound findings of atypical genitalia. Amniotic fluid gene analysis revealed a known heterozygous pathogenic variant in DHX37, p.R308Q (c.923G>A), confirmed postnatally. The patient was born with markedly undervirilized genitalia with posteriorly fused labioscrotal folds, a single introitus, no clitoromegaly, and nonpalpable gonads. Laboratory evaluation at multiple points showed undetectable anti-Müllerian hormone (AMH) and inhibin B levels, elevated gonadotropin levels, and negligible testosterone levels. Clinical course was complicated by urine retention in the vagina and uterus and hydronephrosis requiring catheterization. Endoscopy revealed a urogenital sinus with separate urethral and vaginal openings and 2 cervices leading into 2 separate uteri suggestive of a bicornuate bicollis uterus. Laparoscopy revealed 2 intra-abdominal gonads adjacent to the fallopian tubes. Evidence for inheritance, penetrance, genotype-phenotype correlation, and risk of malignancy in SRXY11 is limited to case reports.

Abstract Image

Abstract Image

Abstract Image

一名DHX37变异婴儿:46xy DSD的新病因及文献综述。
46,xy性逆转11 (SRXY11)是最近发现的一种罕见的46,xy性发育差异(DSD),由DEAH-Box解旋酶37基因(DHX37)变异引起。DHX37对核糖体的生物发生至关重要,但其在性腺发育中的具体作用尚不清楚。生殖器表型差异很大,从典型的女性到典型的男性。我们提出一个46,XY婴儿与产前超声发现的不典型生殖器。羊水基因分析显示,DHX37, p.R308Q (c.923G> a)存在一种已知的杂合致病变异,在出生后得到证实。患者出生时生殖器明显不男性化,后唇阴囊皱襞融合,单一内向口,无阴蒂肿大,性腺摸不到。实验室多次检测显示抗勒氏杆菌激素(AMH)和抑制素B水平未检测到,促性腺激素水平升高,睾酮水平可忽略。临床过程是复杂的尿潴留在阴道和子宫和肾积水需要导尿。内窥镜显示一个泌尿生殖窦,有独立的尿道和阴道开口,两个子宫颈通向两个独立的子宫,提示双角双颈子宫。腹腔镜显示2个腹腔内性腺靠近输卵管。SRXY11的遗传、外显率、基因型-表型相关性和恶性肿瘤风险的证据仅限于病例报告。
本文章由计算机程序翻译,如有差异,请以英文原文为准。
求助全文
约1分钟内获得全文 求助全文
来源期刊
自引率
0.00%
发文量
0
×
引用
GB/T 7714-2015
复制
MLA
复制
APA
复制
导出至
BibTeX EndNote RefMan NoteFirst NoteExpress
×
提示
您的信息不完整,为了账户安全,请先补充。
现在去补充
×
提示
您因"违规操作"
具体请查看互助需知
我知道了
×
提示
确定
请完成安全验证×
copy
已复制链接
快去分享给好友吧!
我知道了
右上角分享
点击右上角分享
0
联系我们:info@booksci.cn Book学术提供免费学术资源搜索服务,方便国内外学者检索中英文文献。致力于提供最便捷和优质的服务体验。 Copyright © 2023 布克学术 All rights reserved.
京ICP备2023020795号-1
ghs 京公网安备 11010802042870号
Book学术文献互助
Book学术文献互助群
群 号:604180095
Book学术官方微信