A 4-year-old Boy Positive for Anti-rabphilin-3A Antibody and Diagnosed With Lymphocytic Infundibuloneurohypophysitis.

JCEM case reports Pub Date : 2024-12-26 eCollection Date: 2025-01-01 DOI:10.1210/jcemcr/luae214
Akiko Yamamoto, Nagisa Komatsu, Naoko Iwata, Haruki Fujisawa, Atsushi Suzuki, Yoshihisa Sugimura
{"title":"A 4-year-old Boy Positive for Anti-rabphilin-3A Antibody and Diagnosed With Lymphocytic Infundibuloneurohypophysitis.","authors":"Akiko Yamamoto, Nagisa Komatsu, Naoko Iwata, Haruki Fujisawa, Atsushi Suzuki, Yoshihisa Sugimura","doi":"10.1210/jcemcr/luae214","DOIUrl":null,"url":null,"abstract":"<p><p>Lymphocytic infundibuloneurohypophysitis (LINH) is a disease with an etiology involving an autoimmune mechanism, characterized by lymphocytic inflammation of the posterior pituitary and infundibular stalk, resulting in arginine vasopressin deficiency. It is difficult to distinguish from pituitary neoplasm or infiltrative diseases, and biopsy is necessary for a definitive diagnosis, but this is highly invasive. In children, it is especially important to distinguish LINH from tumors such as germ cell tumors. Recently, the usefulness of anti-rabphilin-3A antibody as a serum marker for LINH has been reported. To date, only a limited number of pediatric cases have been reported. We present a 4-year-old boy with arginine vasopressin deficiency. Magnetic resonance imaging of the head showed thickening of the pituitary stalk without a posterior pituitary bright spot, and anti-rabphilin-3A antibody was positive. Consequently, pituitary biopsy was not performed because of the strong suspicion of LINH. Five months after symptom onset, the pituitary stalk thickening had resolved. This case represents the first report of probable or definitive LINH with anti-rabphilin-3A antibody positivity in a 4-year-old child, making it the youngest positive case reported to date. Our case highlights the importance of noninvasive approaches and careful follow-up to avoid invasive interventions for children with LINH.</p>","PeriodicalId":73540,"journal":{"name":"JCEM case reports","volume":"3 1","pages":"luae214"},"PeriodicalIF":0.0000,"publicationDate":"2024-12-26","publicationTypes":"Journal Article","fieldsOfStudy":null,"isOpenAccess":false,"openAccessPdf":"https://www.ncbi.nlm.nih.gov/pmc/articles/PMC11669861/pdf/","citationCount":"0","resultStr":null,"platform":"Semanticscholar","paperid":null,"PeriodicalName":"JCEM case reports","FirstCategoryId":"1085","ListUrlMain":"https://doi.org/10.1210/jcemcr/luae214","RegionNum":0,"RegionCategory":null,"ArticlePicture":[],"TitleCN":null,"AbstractTextCN":null,"PMCID":null,"EPubDate":"2025/1/1 0:00:00","PubModel":"eCollection","JCR":"","JCRName":"","Score":null,"Total":0}
引用次数: 0

Abstract

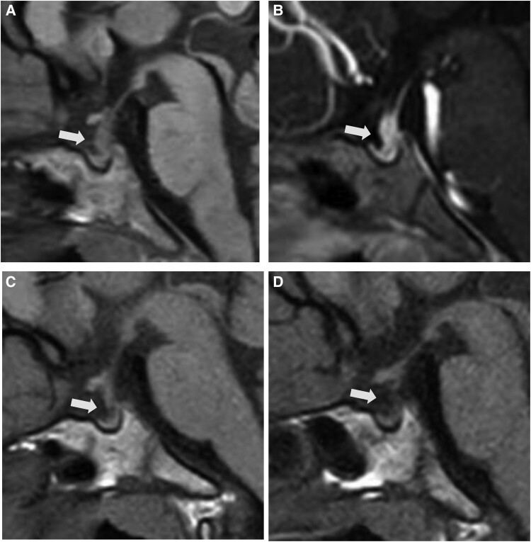
Lymphocytic infundibuloneurohypophysitis (LINH) is a disease with an etiology involving an autoimmune mechanism, characterized by lymphocytic inflammation of the posterior pituitary and infundibular stalk, resulting in arginine vasopressin deficiency. It is difficult to distinguish from pituitary neoplasm or infiltrative diseases, and biopsy is necessary for a definitive diagnosis, but this is highly invasive. In children, it is especially important to distinguish LINH from tumors such as germ cell tumors. Recently, the usefulness of anti-rabphilin-3A antibody as a serum marker for LINH has been reported. To date, only a limited number of pediatric cases have been reported. We present a 4-year-old boy with arginine vasopressin deficiency. Magnetic resonance imaging of the head showed thickening of the pituitary stalk without a posterior pituitary bright spot, and anti-rabphilin-3A antibody was positive. Consequently, pituitary biopsy was not performed because of the strong suspicion of LINH. Five months after symptom onset, the pituitary stalk thickening had resolved. This case represents the first report of probable or definitive LINH with anti-rabphilin-3A antibody positivity in a 4-year-old child, making it the youngest positive case reported to date. Our case highlights the importance of noninvasive approaches and careful follow-up to avoid invasive interventions for children with LINH.

Abstract Image

1例4岁男童抗rabphilin- 3a抗体阳性,诊断为淋巴细胞性大泡神经垂体炎。
淋巴细胞性垂体神经垂体炎(LINH)是一种病因涉及自身免疫机制的疾病,其特征是垂体后叶和垂体柄的淋巴细胞性炎症,导致精氨酸加压素缺乏。很难区分垂体肿瘤或浸润性疾病,活检是必要的明确诊断,但这是高度侵入性的。在儿童中,将LINH与生殖细胞肿瘤等肿瘤区分开来尤为重要。最近,有报道称抗rabphilin- 3a抗体作为LINH的血清标志物。迄今为止,仅报告了数量有限的儿科病例。我们报告一个患有精氨酸抗利尿激素缺乏症的4岁男孩。头部磁共振示垂体柄增厚,垂体后叶无亮点,抗rabphilin- 3a抗体阳性。因此,由于强烈怀疑LINH,未进行垂体活检。症状出现5个月后,垂体柄增厚消退。该病例是4岁儿童中首次报告的可能或明确的LINH伴抗rabphilin- 3a抗体阳性,使其成为迄今报告的年龄最小的阳性病例。我们的病例强调了非侵入性方法和仔细随访的重要性,以避免对LINH儿童进行侵入性干预。
本文章由计算机程序翻译,如有差异,请以英文原文为准。
求助全文
约1分钟内获得全文 求助全文
来源期刊
自引率
0.00%
发文量
0
×
引用
GB/T 7714-2015
复制
MLA
复制
APA
复制
导出至
BibTeX EndNote RefMan NoteFirst NoteExpress
×
提示
您的信息不完整,为了账户安全,请先补充。
现在去补充
×
提示
您因"违规操作"
具体请查看互助需知
我知道了
×
提示
确定
请完成安全验证×
copy
已复制链接
快去分享给好友吧!
我知道了
右上角分享
点击右上角分享
0
联系我们:info@booksci.cn Book学术提供免费学术资源搜索服务,方便国内外学者检索中英文文献。致力于提供最便捷和优质的服务体验。 Copyright © 2023 布克学术 All rights reserved.
京ICP备2023020795号-1
ghs 京公网安备 11010802042870号
Book学术文献互助
Book学术文献互助群
群 号:604180095
Book学术官方微信