Loeys-Dietz Syndrome Presenting with an Abdominal Aortic Aneurysm: A Case Report.

IF 0.6 Q4 PERIPHERAL VASCULAR DISEASE
Annals of vascular diseases Pub Date : 2024-12-25 Epub Date: 2024-11-26 DOI:10.3400/avd.cr.24-00098
Kazuki Tsukuda, Yohei Yamamoto, Ai Kazama, Yoshiki Wada, Hiroki Uchiyama, Toru Kikuchi, Toshifumi Kudo
{"title":"Loeys-Dietz Syndrome Presenting with an Abdominal Aortic Aneurysm: A Case Report.","authors":"Kazuki Tsukuda, Yohei Yamamoto, Ai Kazama, Yoshiki Wada, Hiroki Uchiyama, Toru Kikuchi, Toshifumi Kudo","doi":"10.3400/avd.cr.24-00098","DOIUrl":null,"url":null,"abstract":"<p><p>Loeys-Dietz syndrome (LDS) is a genetic connective tissue disorder associated with vascular involvement and craniofacial, skeletal, and cutaneous abnormalities. Herein, we describe the case of a 28-year-old female who presented with a pulsatile mass in her abdomen. Imaging studies revealed multiple aneurysms, including a 53-mm abdominal aortic aneurysm (AAA) and tortuosity of the intracranial arterial vasculature. Genetic testing revealed a mutation in transforming growth factor beta receptor 1, leading to a diagnosis of LDS. The patient underwent open surgical repair of AAA. Other arterial lesions were carefully followed. This case demonstrates that AAA can be a primary manifestation of LDS.</p>","PeriodicalId":7995,"journal":{"name":"Annals of vascular diseases","volume":"17 4","pages":"440-442"},"PeriodicalIF":0.6000,"publicationDate":"2024-12-25","publicationTypes":"Journal Article","fieldsOfStudy":null,"isOpenAccess":false,"openAccessPdf":"https://www.ncbi.nlm.nih.gov/pmc/articles/PMC11669019/pdf/","citationCount":"0","resultStr":null,"platform":"Semanticscholar","paperid":null,"PeriodicalName":"Annals of vascular diseases","FirstCategoryId":"1085","ListUrlMain":"https://doi.org/10.3400/avd.cr.24-00098","RegionNum":0,"RegionCategory":null,"ArticlePicture":[],"TitleCN":null,"AbstractTextCN":null,"PMCID":null,"EPubDate":"2024/11/26 0:00:00","PubModel":"Epub","JCR":"Q4","JCRName":"PERIPHERAL VASCULAR DISEASE","Score":null,"Total":0}
引用次数: 0

Abstract

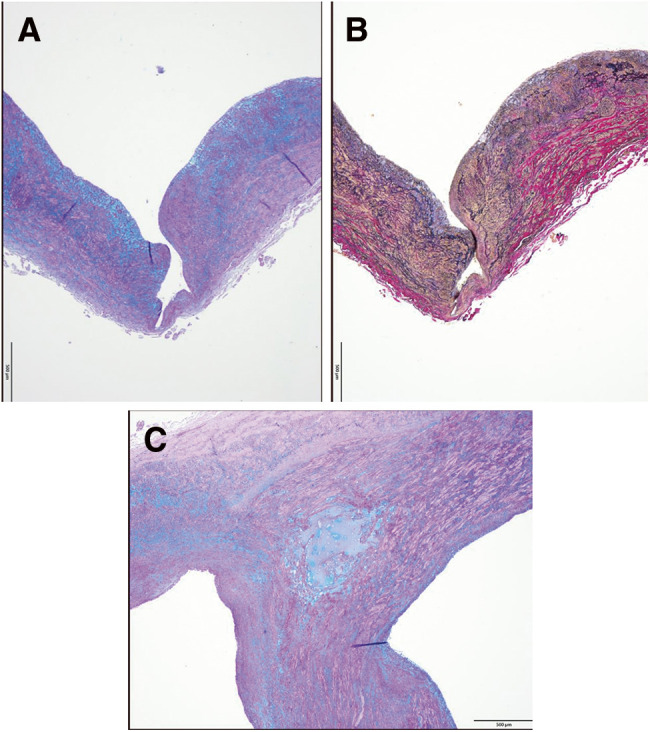
Loeys-Dietz syndrome (LDS) is a genetic connective tissue disorder associated with vascular involvement and craniofacial, skeletal, and cutaneous abnormalities. Herein, we describe the case of a 28-year-old female who presented with a pulsatile mass in her abdomen. Imaging studies revealed multiple aneurysms, including a 53-mm abdominal aortic aneurysm (AAA) and tortuosity of the intracranial arterial vasculature. Genetic testing revealed a mutation in transforming growth factor beta receptor 1, leading to a diagnosis of LDS. The patient underwent open surgical repair of AAA. Other arterial lesions were carefully followed. This case demonstrates that AAA can be a primary manifestation of LDS.

Abstract Image

Abstract Image

Abstract Image

以腹主动脉瘤为表现的Loeys-Dietz综合征1例。
Loeys-Dietz综合征(LDS)是一种遗传性结缔组织疾病,与血管受累和颅面、骨骼和皮肤异常有关。在这里,我们描述的情况下,一个28岁的女性谁提出了一个搏动的肿块在她的腹部。影像学检查显示多发动脉瘤,包括53毫米腹主动脉瘤(AAA)和颅内动脉血管扭曲。基因检测显示转化生长因子β受体1突变,导致LDS的诊断。患者行开放手术修复AAA,并仔细随访其他动脉病变。本病例表明AAA可能是LDS的主要表现。
本文章由计算机程序翻译,如有差异,请以英文原文为准。
求助全文
约1分钟内获得全文 求助全文
来源期刊
Annals of vascular diseases
Annals of vascular diseases PERIPHERAL VASCULAR DISEASE-
自引率
0.00%
发文量
41
×
引用
GB/T 7714-2015
复制
MLA
复制
APA
复制
导出至
BibTeX EndNote RefMan NoteFirst NoteExpress
×
提示
您的信息不完整,为了账户安全,请先补充。
现在去补充
×
提示
您因"违规操作"
具体请查看互助需知
我知道了
×
提示
确定
请完成安全验证×
copy
已复制链接
快去分享给好友吧!
我知道了
右上角分享
点击右上角分享
0
联系我们:info@booksci.cn Book学术提供免费学术资源搜索服务,方便国内外学者检索中英文文献。致力于提供最便捷和优质的服务体验。 Copyright © 2023 布克学术 All rights reserved.
京ICP备2023020795号-1
ghs 京公网安备 11010802042870号
Book学术文献互助
Book学术文献互助群
群 号:604180095
Book学术官方微信