Feasibility and Clinical Outcomes of Vasa Vasorum Embolization for Atypical Type 2 or Type 5 Endoleaks after Endovascular Aneurysm Repair.

IF 0.6 Q4 PERIPHERAL VASCULAR DISEASE
Annals of vascular diseases Pub Date : 2024-12-25 Epub Date: 2024-10-23 DOI:10.3400/avd.oa.24-00044
Masao Takahashi, Ken Nakazawa, Yoko Usami, Yuki Natsuyama, Jun Suzuki, Shiho Asami, Toshihisa Asakura, Akihiro Yoshitake, Naoko Shojiguchi, Tsugumi Satoh, Yoshitaka Okada, Hiroyuki Tajima, Eito Kozawa, Yasutaka Baba
{"title":"Feasibility and Clinical Outcomes of Vasa Vasorum Embolization for Atypical Type 2 or Type 5 Endoleaks after Endovascular Aneurysm Repair.","authors":"Masao Takahashi, Ken Nakazawa, Yoko Usami, Yuki Natsuyama, Jun Suzuki, Shiho Asami, Toshihisa Asakura, Akihiro Yoshitake, Naoko Shojiguchi, Tsugumi Satoh, Yoshitaka Okada, Hiroyuki Tajima, Eito Kozawa, Yasutaka Baba","doi":"10.3400/avd.oa.24-00044","DOIUrl":null,"url":null,"abstract":"<p><p><b>Objectives:</b> The purpose of this study is to evaluate the feasibility and clinical outcomes of vasa vasorum embolization for preventing continuous aneurysmal expansion after endovascular aneurysm repair (EVAR). <b>Methods:</b> We retrospectively reviewed the medical records of patients who underwent vasa vasorum embolization between August 2018 and May 2022. Vasa vasorum embolization was attempted in cases of continuous aneurysmal expansion after EVAR, where the vasa vasorum was identified through catheter angiography. The vasa vasorum was accessed and embolized with a microcatheter. The outcomes of vasa vasorum embolization were evaluated based on technical success, defined as the successful completion of the embolization procedure, and clinical success, defined as the prevention of continuous aneurysmal expansion after the embolization. <b>Results:</b> Seven cases of endoleak with developed vasa vasorum were confirmed by catheter angiography. The mean age was 83.7 years, and the mean aneurysmal diameter was 60.6 mm. Technical success was achieved in 6 cases, while clinical success was not achieved in any of the cases. The mean observation period was 16.5 months, and the mean increase in aneurysmal diameter was 9.7 mm. <b>Conclusions:</b> Although the vasa vasorum embolization is a technically feasible procedure, it is not effective in preventing continuous aneurysmal expansion.</p>","PeriodicalId":7995,"journal":{"name":"Annals of vascular diseases","volume":"17 4","pages":"389-395"},"PeriodicalIF":0.6000,"publicationDate":"2024-12-25","publicationTypes":"Journal Article","fieldsOfStudy":null,"isOpenAccess":false,"openAccessPdf":"https://www.ncbi.nlm.nih.gov/pmc/articles/PMC11669014/pdf/","citationCount":"0","resultStr":null,"platform":"Semanticscholar","paperid":null,"PeriodicalName":"Annals of vascular diseases","FirstCategoryId":"1085","ListUrlMain":"https://doi.org/10.3400/avd.oa.24-00044","RegionNum":0,"RegionCategory":null,"ArticlePicture":[],"TitleCN":null,"AbstractTextCN":null,"PMCID":null,"EPubDate":"2024/10/23 0:00:00","PubModel":"Epub","JCR":"Q4","JCRName":"PERIPHERAL VASCULAR DISEASE","Score":null,"Total":0}
引用次数: 0

Abstract

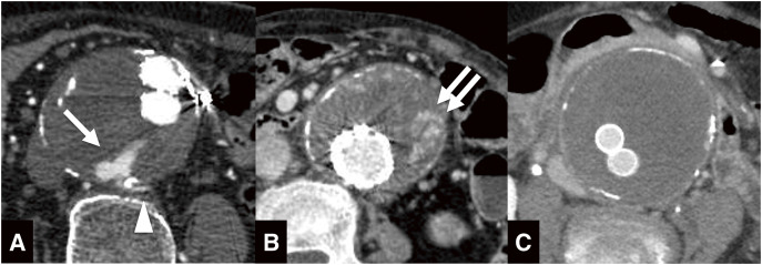
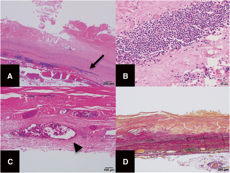
Objectives: The purpose of this study is to evaluate the feasibility and clinical outcomes of vasa vasorum embolization for preventing continuous aneurysmal expansion after endovascular aneurysm repair (EVAR). Methods: We retrospectively reviewed the medical records of patients who underwent vasa vasorum embolization between August 2018 and May 2022. Vasa vasorum embolization was attempted in cases of continuous aneurysmal expansion after EVAR, where the vasa vasorum was identified through catheter angiography. The vasa vasorum was accessed and embolized with a microcatheter. The outcomes of vasa vasorum embolization were evaluated based on technical success, defined as the successful completion of the embolization procedure, and clinical success, defined as the prevention of continuous aneurysmal expansion after the embolization. Results: Seven cases of endoleak with developed vasa vasorum were confirmed by catheter angiography. The mean age was 83.7 years, and the mean aneurysmal diameter was 60.6 mm. Technical success was achieved in 6 cases, while clinical success was not achieved in any of the cases. The mean observation period was 16.5 months, and the mean increase in aneurysmal diameter was 9.7 mm. Conclusions: Although the vasa vasorum embolization is a technically feasible procedure, it is not effective in preventing continuous aneurysmal expansion.

Abstract Image

Abstract Image

Abstract Image

血管腔内栓塞治疗非典型2型或5型动脉瘤修复后内溢的可行性及临床效果。
目的:本研究的目的是评估血管栓子栓塞预防血管内动脉瘤修复(EVAR)后持续动脉瘤扩张的可行性和临床效果。方法:回顾性分析2018年8月至2022年5月期间接受血管栓塞治疗的患者的病历。对于EVAR后动脉瘤持续扩张的病例,尝试血管血管栓塞,通过导管血管造影确定血管血管。用微导管进入血管并栓塞。血管血管栓塞的结果是根据技术成功和临床成功来评估的,技术成功定义为成功完成栓塞过程,临床成功定义为栓塞后防止动脉瘤持续扩张。结果:经导管血管造影证实7例血管内漏伴血管血管发育。平均年龄83.7岁,平均动脉瘤直径60.6 mm。技术成功6例,临床失败6例。平均观察时间16.5个月,动脉瘤直径平均增加9.7 mm。结论:虽然血管栓塞术在技术上是可行的,但对防止动脉瘤持续扩张并不有效。
本文章由计算机程序翻译,如有差异,请以英文原文为准。
求助全文
约1分钟内获得全文 求助全文
来源期刊
Annals of vascular diseases
Annals of vascular diseases PERIPHERAL VASCULAR DISEASE-
自引率
0.00%
发文量
41
×
引用
GB/T 7714-2015
复制
MLA
复制
APA
复制
导出至
BibTeX EndNote RefMan NoteFirst NoteExpress
×
提示
您的信息不完整,为了账户安全,请先补充。
现在去补充
×
提示
您因"违规操作"
具体请查看互助需知
我知道了
×
提示
确定
请完成安全验证×
copy
已复制链接
快去分享给好友吧!
我知道了
右上角分享
点击右上角分享
0
联系我们:info@booksci.cn Book学术提供免费学术资源搜索服务,方便国内外学者检索中英文文献。致力于提供最便捷和优质的服务体验。 Copyright © 2023 布克学术 All rights reserved.
京ICP备2023020795号-1
ghs 京公网安备 11010802042870号
Book学术文献互助
Book学术文献互助群
群 号:604180095
Book学术官方微信