Predicting the need for medial augmentation for primary total knee arthroplasty with varus deformity.

IF 1.9 Q2 ORTHOPEDICS
Joint diseases and related surgery Pub Date : 2025-01-02 Epub Date: 2024-12-10 DOI:10.52312/jdrs.2025.1973
Ekin Barış Demir, Fatih Barça, Abdullah Dinçer, Halis Atıl Atilla, Mutlu Akdoğan, Yalım Ateş
{"title":"Predicting the need for medial augmentation for primary total knee arthroplasty with varus deformity.","authors":"Ekin Barış Demir, Fatih Barça, Abdullah Dinçer, Halis Atıl Atilla, Mutlu Akdoğan, Yalım Ateş","doi":"10.52312/jdrs.2025.1973","DOIUrl":null,"url":null,"abstract":"<p><strong>Objectives: </strong>This study aims to compare the radiographic results with and without postoperative metal augmentation in varus knee patients with primary total knee arthroplasty (TKA) with a hip-knee-ankle (HKA) angle >10° and to determine a cut-off value using radiographic parameters to predict the need for metal augmentation.</p><p><strong>Patients and methods: </strong>Between October 2022 and April 2024, a total of 87 knees (51 right and 36 left) of 82 patients (11 males, 71 females; mean age: 68.7±8 years; range, 53 to 86 years) who underwent primary TKA were retrospectively analyzed. The patients were divided into two groups as patients who underwent primary TKA with and without tibial metal augmentation. There were 39 patients and 42 knees in the group with metal augmentation and 43 patients and 45 knees in the group without metal augmentation. The HKA angles and amount of preoperative planned tibial resection (ETR) were evaluated. Cut-off values for preoperative HKA angle and ETR were determined using receiver operating characteristic (ROC) analysis.</p><p><strong>Results: </strong>The mean pre- and postoperative HKA angles were 18.98±4.42° and 6.58±3.48°, respectively and the mean ETR was 13.91±3.02 mm. Both groups were comparable in terms of postoperative HKA angles p=0.283). The mean preoperative HKA and ETR were significantly higher in TKAs with augmentation (p<0.001 for both). The probability of needing augmentation was approximately six times higher in knees with a preoperative HKA angle of >20.6° (OR=5.909, 95% CI: 2.065-16.91, p<0.001) or ETR of >12.52 mm (OR=5.816, 95% CI: 2.202-15.359, p<0.001).</p><p><strong>Conclusion: </strong>In TKA with advanced varus deformity, tibial metal augment is a method that can be used to provide soft tissue balance. The need for metal augmentation should be kept in mind, particularly if the preoperative evaluation indicates that the HKA angle exceeds 20.6° or ETR exceeds 12.5 mm.</p>","PeriodicalId":73560,"journal":{"name":"Joint diseases and related surgery","volume":"36 1","pages":"129-136"},"PeriodicalIF":1.9000,"publicationDate":"2025-01-02","publicationTypes":"Journal Article","fieldsOfStudy":null,"isOpenAccess":false,"openAccessPdf":"https://www.ncbi.nlm.nih.gov/pmc/articles/PMC11734859/pdf/","citationCount":"0","resultStr":null,"platform":"Semanticscholar","paperid":null,"PeriodicalName":"Joint diseases and related surgery","FirstCategoryId":"1085","ListUrlMain":"https://doi.org/10.52312/jdrs.2025.1973","RegionNum":0,"RegionCategory":null,"ArticlePicture":[],"TitleCN":null,"AbstractTextCN":null,"PMCID":null,"EPubDate":"2024/12/10 0:00:00","PubModel":"Epub","JCR":"Q2","JCRName":"ORTHOPEDICS","Score":null,"Total":0}
引用次数: 0

Abstract

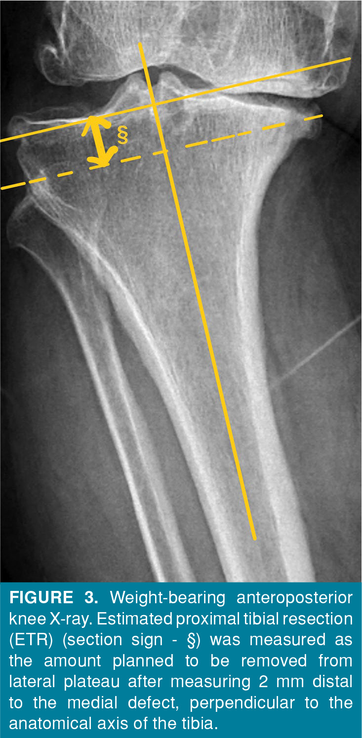
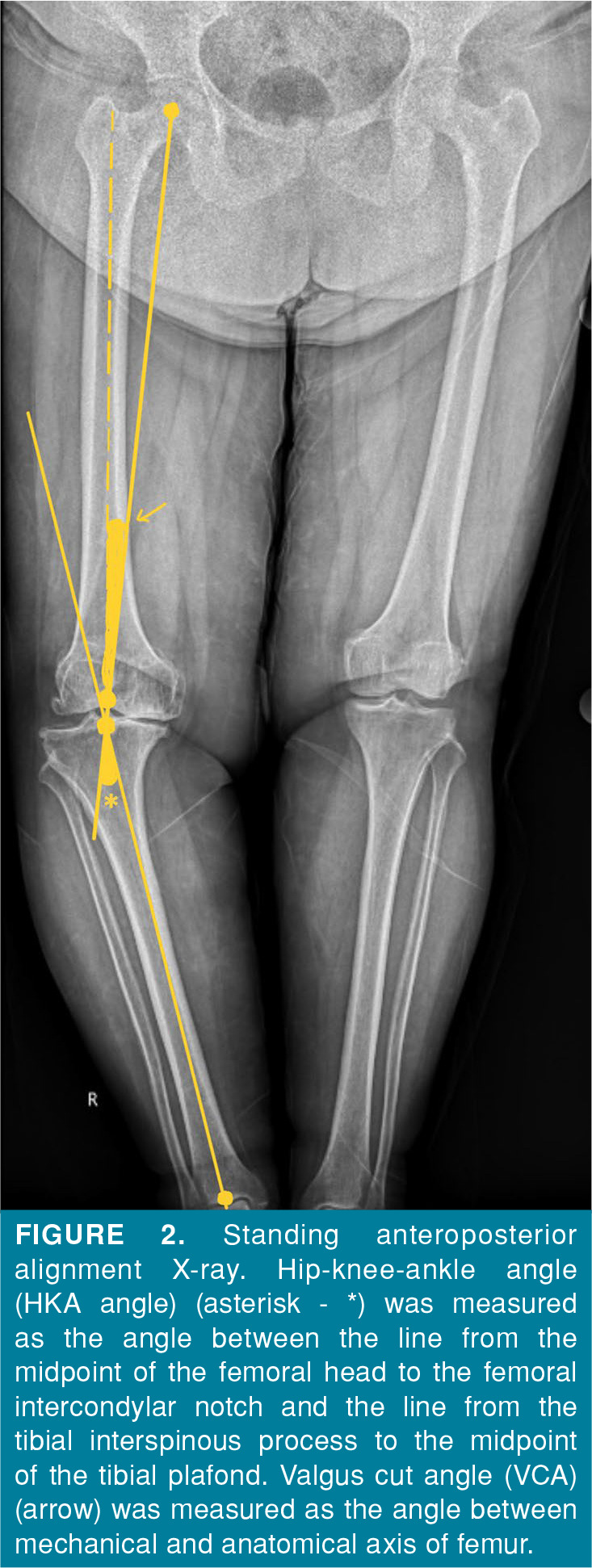
Objectives: This study aims to compare the radiographic results with and without postoperative metal augmentation in varus knee patients with primary total knee arthroplasty (TKA) with a hip-knee-ankle (HKA) angle >10° and to determine a cut-off value using radiographic parameters to predict the need for metal augmentation.

Patients and methods: Between October 2022 and April 2024, a total of 87 knees (51 right and 36 left) of 82 patients (11 males, 71 females; mean age: 68.7±8 years; range, 53 to 86 years) who underwent primary TKA were retrospectively analyzed. The patients were divided into two groups as patients who underwent primary TKA with and without tibial metal augmentation. There were 39 patients and 42 knees in the group with metal augmentation and 43 patients and 45 knees in the group without metal augmentation. The HKA angles and amount of preoperative planned tibial resection (ETR) were evaluated. Cut-off values for preoperative HKA angle and ETR were determined using receiver operating characteristic (ROC) analysis.

Results: The mean pre- and postoperative HKA angles were 18.98±4.42° and 6.58±3.48°, respectively and the mean ETR was 13.91±3.02 mm. Both groups were comparable in terms of postoperative HKA angles p=0.283). The mean preoperative HKA and ETR were significantly higher in TKAs with augmentation (p<0.001 for both). The probability of needing augmentation was approximately six times higher in knees with a preoperative HKA angle of >20.6° (OR=5.909, 95% CI: 2.065-16.91, p<0.001) or ETR of >12.52 mm (OR=5.816, 95% CI: 2.202-15.359, p<0.001).

Conclusion: In TKA with advanced varus deformity, tibial metal augment is a method that can be used to provide soft tissue balance. The need for metal augmentation should be kept in mind, particularly if the preoperative evaluation indicates that the HKA angle exceeds 20.6° or ETR exceeds 12.5 mm.

Abstract Image

Abstract Image

Abstract Image

预测内翻畸形原发性全膝关节置换术中内侧增强术的需要。
目的:本研究旨在比较髋关节-膝关节-踝关节(HKA)角度为bbb10°的原发性全膝关节置换术(TKA)患者行和不行术后金属增强术的放射学结果,并利用放射学参数确定截断值来预测是否需要金属增强术。患者与方法:2022年10月至2024年4月,82例患者共87个膝关节(右51个,左36个),其中男11例,女71例;平均年龄:68.7±8岁;回顾性分析了53至86岁的原发性TKA患者。患者被分为两组,分别接受原发性全髋关节置换术和不接受胫骨金属隆胸。金属增强组39例,膝关节42个;未金属增强组43例,膝关节45个。评估术前计划胫骨切除术(ETR)的HKA角度和数量。采用受试者工作特征(ROC)分析确定术前HKA角和ETR的临界值。结果:术前和术后平均HKA角分别为18.98±4.42°和6.58±3.48°,平均ETR为13.91±3.02 mm。两组术后HKA角度具有可比性(p=0.283)。结论:对于晚期内翻畸形的TKA,胫骨金属增强是一种可以提供软组织平衡的方法,其术前HKA和ETR的平均值明显高于术前HKA (p20.6°(OR=5.909, 95% CI: 2.065-16.91), p12.52 mm (OR=5.816, 95% CI: 2.202-15.359)。应牢记金属增强的必要性,特别是如果术前评估表明HKA角度超过20.6°或ETR超过12.5 mm。
本文章由计算机程序翻译,如有差异,请以英文原文为准。
求助全文
约1分钟内获得全文 求助全文
来源期刊
CiteScore
2.50
自引率
0.00%
发文量
0
×
引用
GB/T 7714-2015
复制
MLA
复制
APA
复制
导出至
BibTeX EndNote RefMan NoteFirst NoteExpress
×
提示
您的信息不完整,为了账户安全,请先补充。
现在去补充
×
提示
您因"违规操作"
具体请查看互助需知
我知道了
×
提示
确定
请完成安全验证×
copy
已复制链接
快去分享给好友吧!
我知道了
右上角分享
点击右上角分享
0
联系我们:info@booksci.cn Book学术提供免费学术资源搜索服务,方便国内外学者检索中英文文献。致力于提供最便捷和优质的服务体验。 Copyright © 2023 布克学术 All rights reserved.
京ICP备2023020795号-1
ghs 京公网安备 11010802042870号
Book学术文献互助
Book学术文献互助群
群 号:604180095
Book学术官方微信