Evaluation of factors affecting development of complications in the early surgical treatment of distal tibial epiphyseal fractures.

IF 1.9 Q2 ORTHOPEDICS
Joint diseases and related surgery Pub Date : 2025-01-02 Epub Date: 2024-11-05 DOI:10.52312/jdrs.2025.1808
Ali Özyalçın, Mustafa Çalışkan, Adem Şahin
{"title":"Evaluation of factors affecting development of complications in the early surgical treatment of distal tibial epiphyseal fractures.","authors":"Ali Özyalçın, Mustafa Çalışkan, Adem Şahin","doi":"10.52312/jdrs.2025.1808","DOIUrl":null,"url":null,"abstract":"<p><strong>Objectives: </strong>This study aims to investigate the relationships among factors affecting complication development and premature physeal closure (PPC) in patients undergoing surgical treatment within 12 h of the time of injury.</p><p><strong>Patients and methods: </strong>Between January 2015 and January 2021, a total of 46 patients (37 males, 9 females; mean age: 11.9±2.5 years; range, 6 to 16 years) who were operated within 12 h due to displacement >2 mm after reduction were retrospectively analyzed. Demographics, fracture type (Salter-Harris [SH]), fracture mechanism (Dias & Tachdjian [DT]), accompanying fibula fracture, and initial displacement were assessed with preoperative radiographs. At two years of follow-up, PPC, angular deformity, and length discrepancy were evaluated.</p><p><strong>Results: </strong>Of the patients, PPC was observed in 21.7%. Angular deformity and length discrepancy were noted in 6.5% of cases. The average initial displacement was 6.8 mm, with no significant correlation between displacement and complications (p>0.05). While the rates of PPC varied by fracture type, there was no statistically significant relationship between fracture types and the development of complications (p>0.05). Premature physeal closure was more common in fractures caused by the supination-plantar flexion (SPF) mechanism (60%) compared to the pronation-eversion external rotation (PEER) mechanism (5.3%) (p=0.018). Angular deformity and length discrepancy were only associated with SH type 3 and 4 fractures. Although fibular fractures accompanied 25% of distal tibial epiphyseal fractures, their presence did not show a significant correlation with complications (p>0.05).</p><p><strong>Conclusion: </strong>Our study findings indicate that factors previously thought to influence the development of complications may be insufficient to predict PPC occurrence in distal tibial epiphyseal fractures, once anatomical reduction is achieved within 12 h. As the preoperative delay shortens, the impact of fracture-related factors on complication development may reduce.</p>","PeriodicalId":73560,"journal":{"name":"Joint diseases and related surgery","volume":"36 1","pages":"107-118"},"PeriodicalIF":1.9000,"publicationDate":"2025-01-02","publicationTypes":"Journal Article","fieldsOfStudy":null,"isOpenAccess":false,"openAccessPdf":"https://www.ncbi.nlm.nih.gov/pmc/articles/PMC11734853/pdf/","citationCount":"0","resultStr":null,"platform":"Semanticscholar","paperid":null,"PeriodicalName":"Joint diseases and related surgery","FirstCategoryId":"1085","ListUrlMain":"https://doi.org/10.52312/jdrs.2025.1808","RegionNum":0,"RegionCategory":null,"ArticlePicture":[],"TitleCN":null,"AbstractTextCN":null,"PMCID":null,"EPubDate":"2024/11/5 0:00:00","PubModel":"Epub","JCR":"Q2","JCRName":"ORTHOPEDICS","Score":null,"Total":0}
引用次数: 0

Abstract

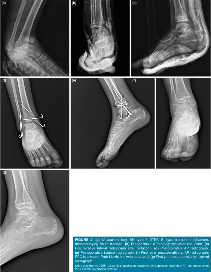
Objectives: This study aims to investigate the relationships among factors affecting complication development and premature physeal closure (PPC) in patients undergoing surgical treatment within 12 h of the time of injury.

Patients and methods: Between January 2015 and January 2021, a total of 46 patients (37 males, 9 females; mean age: 11.9±2.5 years; range, 6 to 16 years) who were operated within 12 h due to displacement >2 mm after reduction were retrospectively analyzed. Demographics, fracture type (Salter-Harris [SH]), fracture mechanism (Dias & Tachdjian [DT]), accompanying fibula fracture, and initial displacement were assessed with preoperative radiographs. At two years of follow-up, PPC, angular deformity, and length discrepancy were evaluated.

Results: Of the patients, PPC was observed in 21.7%. Angular deformity and length discrepancy were noted in 6.5% of cases. The average initial displacement was 6.8 mm, with no significant correlation between displacement and complications (p>0.05). While the rates of PPC varied by fracture type, there was no statistically significant relationship between fracture types and the development of complications (p>0.05). Premature physeal closure was more common in fractures caused by the supination-plantar flexion (SPF) mechanism (60%) compared to the pronation-eversion external rotation (PEER) mechanism (5.3%) (p=0.018). Angular deformity and length discrepancy were only associated with SH type 3 and 4 fractures. Although fibular fractures accompanied 25% of distal tibial epiphyseal fractures, their presence did not show a significant correlation with complications (p>0.05).

Conclusion: Our study findings indicate that factors previously thought to influence the development of complications may be insufficient to predict PPC occurrence in distal tibial epiphyseal fractures, once anatomical reduction is achieved within 12 h. As the preoperative delay shortens, the impact of fracture-related factors on complication development may reduce.

Abstract Image

Abstract Image

Abstract Image

胫骨远端骨骺骨折早期手术治疗并发症发生的影响因素分析。
目的:探讨损伤后12 h内手术患者并发症发生与骨骺过早闭合(PPC)的影响因素之间的关系。患者与方法:2015年1月~ 2021年1月,共46例患者(男37例,女9例;平均年龄11.9±2.5岁;回顾性分析6 ~ 16岁患者在复位后12小时内因移位bbb20 mm而手术的病例。术前x线片评估患者的人口统计学特征、骨折类型(Salter-Harris [SH])、骨折机制(Dias & Tachdjian [DT])、伴发腓骨骨折和初始移位。随访两年,评估PPC、角度畸形和长度差异。结果:21.7%的患者出现PPC。6.5%的病例出现角度畸形和长度差异。平均初始位移为6.8 mm,位移与并发症无显著相关性(p < 0.05)。不同骨折类型PPC发生率不同,但骨折类型与并发症发生无统计学意义(p < 0.05)。与前旋-外翻外旋(PEER)机制(5.3%)相比,由旋-足底屈曲(SPF)机制引起的骨折(60%)中骨骺过早闭合更为常见(p=0.018)。角度畸形和长度差异仅与SH 3型和SH 4型骨折有关。虽然腓骨骨折伴胫骨远端骨骺骨折的25%,但其存在与并发症无显著相关性(p < 0.05)。结论:我们的研究结果表明,一旦在12小时内完成解剖复位,先前认为影响并发症发生的因素可能不足以预测胫骨远端骨骺骨折PPC的发生。随着术前延迟时间的缩短,骨折相关因素对并发症发生的影响可能会减少。
本文章由计算机程序翻译,如有差异,请以英文原文为准。
求助全文
约1分钟内获得全文 求助全文
来源期刊
CiteScore
2.50
自引率
0.00%
发文量
0
×
引用
GB/T 7714-2015
复制
MLA
复制
APA
复制
导出至
BibTeX EndNote RefMan NoteFirst NoteExpress
×
提示
您的信息不完整,为了账户安全,请先补充。
现在去补充
×
提示
您因"违规操作"
具体请查看互助需知
我知道了
×
提示
确定
请完成安全验证×
copy
已复制链接
快去分享给好友吧!
我知道了
右上角分享
点击右上角分享
0
联系我们:info@booksci.cn Book学术提供免费学术资源搜索服务,方便国内外学者检索中英文文献。致力于提供最便捷和优质的服务体验。 Copyright © 2023 布克学术 All rights reserved.
京ICP备2023020795号-1
ghs 京公网安备 11010802042870号
Book学术文献互助
Book学术文献互助群
群 号:604180095
Book学术官方微信