Where are we with fractionation schedules and prescriptions in high-dose-rate 3D planning vaginal cuff brachytherapy?

IF 1.1 4区 医学 Q4 ONCOLOGY
Journal of Contemporary Brachytherapy Pub Date : 2024-10-01 Epub Date: 2024-10-16 DOI:10.5114/jcb.2024.144183
Angeles Rovirosa, Faegheh Noorian, Sofia Cordoba, Francesc León, Valentina Lancellotta, Luca Tagliaferri, Antonio Herrreros
{"title":"Where are we with fractionation schedules and prescriptions in high-dose-rate 3D planning vaginal cuff brachytherapy?","authors":"Angeles Rovirosa, Faegheh Noorian, Sofia Cordoba, Francesc León, Valentina Lancellotta, Luca Tagliaferri, Antonio Herrreros","doi":"10.5114/jcb.2024.144183","DOIUrl":null,"url":null,"abstract":"<p><strong>Purpose: </strong>Currently, there are many schedules for exclusive vaginal cuff brachytherapy (VCB). In 3D treatment planning for VCB dosimetry, parameters have not been analyzed. The aim of this study was to compare the most common schedules using dose-volume histogram metrics.</p><p><strong>Material and methods: </strong>Three different computed tomography (CT) studies for vaginal cylinders of 3.5 cm, 3 cm, and 2.5 cm were performed. Clinical target volume (CTV) was delineated for 3 cm and 4 cm of vaginal length. Twelve schedules were analyzed obtaining overall vaginal surface dose (Gy) (EQD<sub>2</sub> α/β = 10 and α/β = 3), overall D<sub>90</sub> CTV <sub>(α/β = 10)</sub> (Gy), and overall D<sub>2cc (α/β = 3)</sub> for organs at risk (OARs), such as vagina, rectum, sigmoid, rectum, and bladder. Prescription at 5 mm from the applicator surface and at the surface were analyzed for each case.</p><p><strong>Results: </strong>The overall vaginal surface dose and dose to CTV varied widely among the different schedules, and CTV delineation was necessary in case of surface prescription. The applicator diameter of 3.5 cm showed the best dosimetry results for vaginal surface dose. The overall D<sub>2cc</sub> OARs' doses changed in the different CT studies.</p><p><strong>Conclusions: </strong>This dosimetry study allows for better selection of fractionation schedules, and helps to unify treatments among centers. Prospective studies are needed to establish the best schedule and CTV length in each patient using clinical data, such as late toxicity and relapses.</p>","PeriodicalId":51305,"journal":{"name":"Journal of Contemporary Brachytherapy","volume":"16 5","pages":"352-361"},"PeriodicalIF":1.1000,"publicationDate":"2024-10-01","publicationTypes":"Journal Article","fieldsOfStudy":null,"isOpenAccess":false,"openAccessPdf":"https://www.ncbi.nlm.nih.gov/pmc/articles/PMC11664800/pdf/","citationCount":"0","resultStr":null,"platform":"Semanticscholar","paperid":null,"PeriodicalName":"Journal of Contemporary Brachytherapy","FirstCategoryId":"3","ListUrlMain":"https://doi.org/10.5114/jcb.2024.144183","RegionNum":4,"RegionCategory":"医学","ArticlePicture":[],"TitleCN":null,"AbstractTextCN":null,"PMCID":null,"EPubDate":"2024/10/16 0:00:00","PubModel":"Epub","JCR":"Q4","JCRName":"ONCOLOGY","Score":null,"Total":0}
引用次数: 0

Abstract

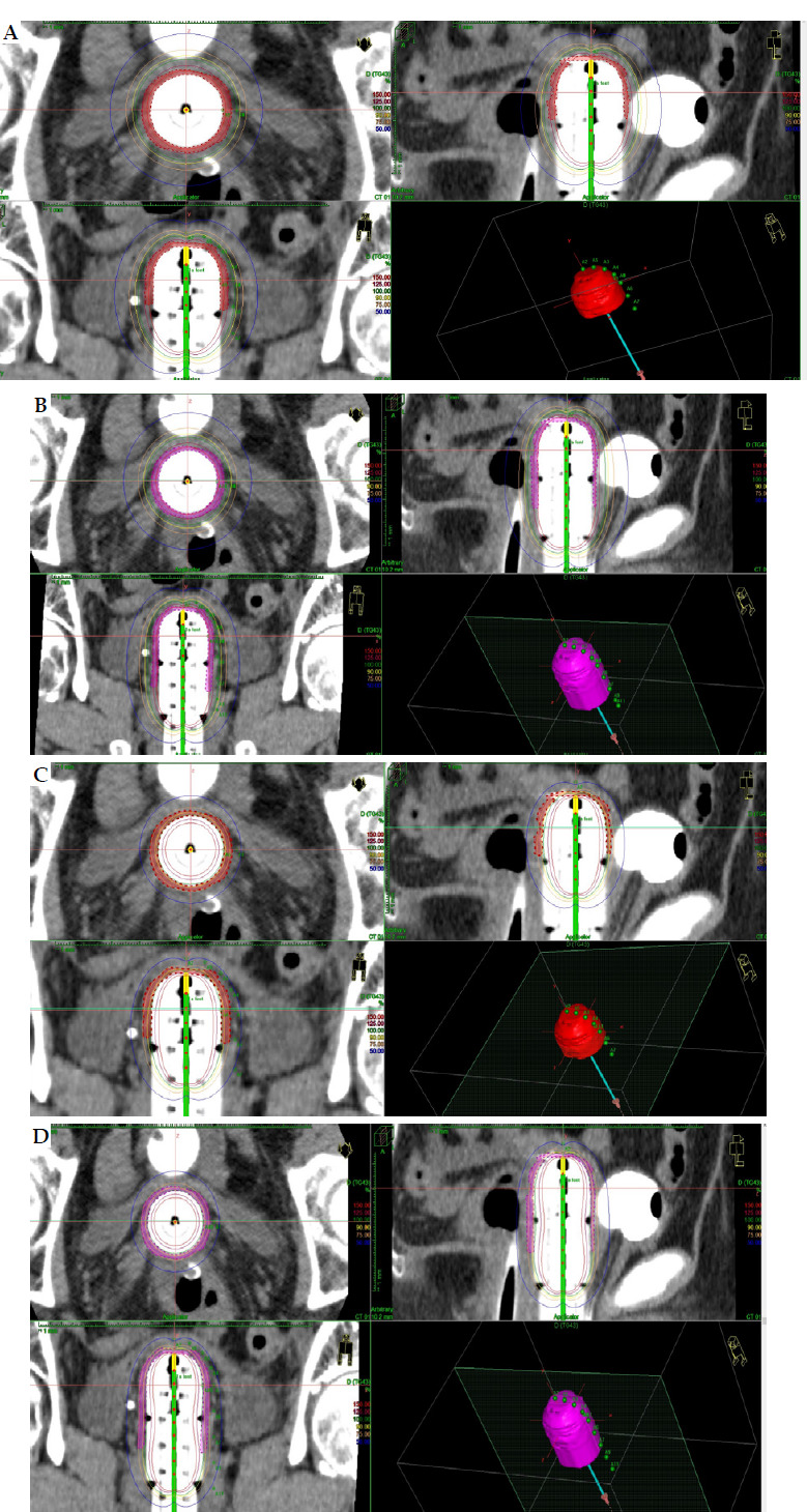
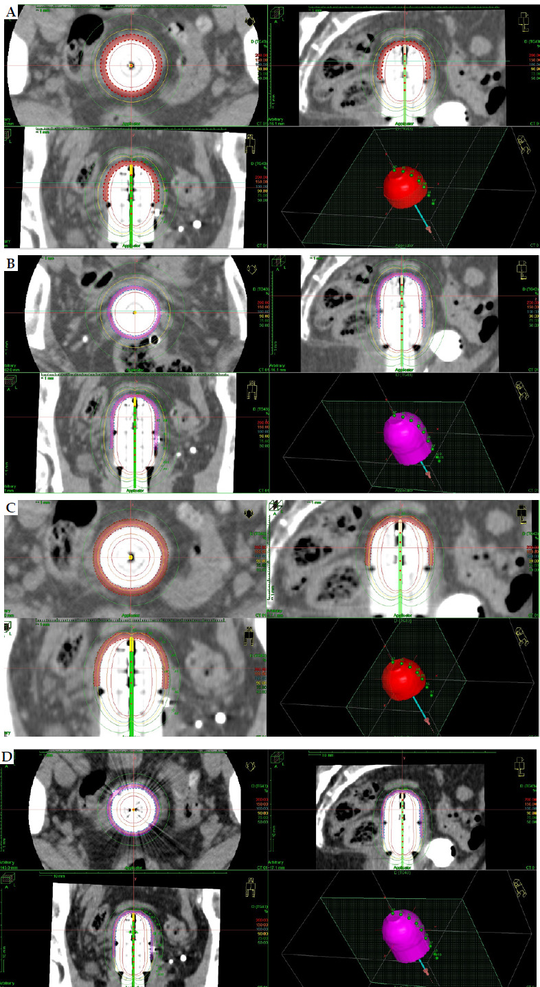
Purpose: Currently, there are many schedules for exclusive vaginal cuff brachytherapy (VCB). In 3D treatment planning for VCB dosimetry, parameters have not been analyzed. The aim of this study was to compare the most common schedules using dose-volume histogram metrics.

Material and methods: Three different computed tomography (CT) studies for vaginal cylinders of 3.5 cm, 3 cm, and 2.5 cm were performed. Clinical target volume (CTV) was delineated for 3 cm and 4 cm of vaginal length. Twelve schedules were analyzed obtaining overall vaginal surface dose (Gy) (EQD2 α/β = 10 and α/β = 3), overall D90 CTV (α/β = 10) (Gy), and overall D2cc (α/β = 3) for organs at risk (OARs), such as vagina, rectum, sigmoid, rectum, and bladder. Prescription at 5 mm from the applicator surface and at the surface were analyzed for each case.

Results: The overall vaginal surface dose and dose to CTV varied widely among the different schedules, and CTV delineation was necessary in case of surface prescription. The applicator diameter of 3.5 cm showed the best dosimetry results for vaginal surface dose. The overall D2cc OARs' doses changed in the different CT studies.

Conclusions: This dosimetry study allows for better selection of fractionation schedules, and helps to unify treatments among centers. Prospective studies are needed to establish the best schedule and CTV length in each patient using clinical data, such as late toxicity and relapses.

Abstract Image

Abstract Image

Abstract Image

我们在高剂量率3D计划阴道袖带近距离治疗的分步计划和处方方面进展如何?
目的:目前,独家阴道袖带近距离治疗(VCB)方案较多。在VCB剂量学的三维治疗计划中,没有对参数进行分析。本研究的目的是使用剂量-体积直方图指标比较最常见的方案。材料和方法:对3.5 cm、3cm和2.5 cm的阴道圆柱体进行了三种不同的计算机断层扫描(CT)研究。临床靶体积(CTV)被划定为3cm和4cm阴道长度。对12个方案进行分析,获得阴道、直肠、乙状结肠、直肠和膀胱等危险器官(OARs)的总阴道表面剂量(Gy) (EQD2 α/β = 10和α/β = 3)、总D90 CTV (α/β = 10)和总D2cc (α/β = 3)。对每个病例在离涂药器表面5mm处和表面处的处方进行分析。结果:不同用药方案的阴道表面总剂量和给药剂量差异较大,表面处方时需划定阴道表面剂量。涂药器直径为3.5 cm时阴道表面剂量测定效果最佳。在不同的CT研究中,D2cc OARs的总剂量是不同的。结论:本剂量学研究有助于更好地选择分流方案,并有助于统一各中心的治疗方案。需要前瞻性研究,根据临床数据,如晚期毒性和复发,确定每位患者的最佳方案和CTV长度。
本文章由计算机程序翻译,如有差异,请以英文原文为准。
求助全文
约1分钟内获得全文 求助全文
来源期刊
Journal of Contemporary Brachytherapy
Journal of Contemporary Brachytherapy ONCOLOGY-RADIOLOGY, NUCLEAR MEDICINE & MEDICAL IMAGING
CiteScore
2.40
自引率
14.30%
发文量
54
审稿时长
16 weeks
期刊介绍: The “Journal of Contemporary Brachytherapy” is an international and multidisciplinary journal that will publish papers of original research as well as reviews of articles. Main subjects of the journal include: clinical brachytherapy, combined modality treatment, advances in radiobiology, hyperthermia and tumour biology, as well as physical aspects relevant to brachytherapy, particularly in the field of imaging, dosimetry and radiation therapy planning. Original contributions will include experimental studies of combined modality treatment, tumor sensitization and normal tissue protection, molecular radiation biology, and clinical investigations of cancer treatment in brachytherapy. Another field of interest will be the educational part of the journal.
×
引用
GB/T 7714-2015
复制
MLA
复制
APA
复制
导出至
BibTeX EndNote RefMan NoteFirst NoteExpress
×
提示
您的信息不完整,为了账户安全,请先补充。
现在去补充
×
提示
您因"违规操作"
具体请查看互助需知
我知道了
×
提示
确定
请完成安全验证×
copy
已复制链接
快去分享给好友吧!
我知道了
右上角分享
点击右上角分享
0
联系我们:info@booksci.cn Book学术提供免费学术资源搜索服务,方便国内外学者检索中英文文献。致力于提供最便捷和优质的服务体验。 Copyright © 2023 布克学术 All rights reserved.
京ICP备2023020795号-1
ghs 京公网安备 11010802042870号
Book学术文献互助
Book学术文献互助群
群 号:604180095
Book学术官方微信