Impact of MRI-based planning in transperineal interstitial brachytherapy for vaginal-involving tumors.

IF 1.1 4区 医学 Q4 ONCOLOGY
Journal of Contemporary Brachytherapy Pub Date : 2024-10-01 Epub Date: 2024-10-30 DOI:10.5114/jcb.2024.144683
Diana Guevara Barrera, Silvia Rodríguez Villalba, Luis Suso-Martí, Enrique Sanchis-Sánchez, Jose Perez-Calatayud, Francisco Blázquez Molina, Maria Jose Pérez-Calatayud, Manuel Santos Ortega
{"title":"Impact of MRI-based planning in transperineal interstitial brachytherapy for vaginal-involving tumors.","authors":"Diana Guevara Barrera, Silvia Rodríguez Villalba, Luis Suso-Martí, Enrique Sanchis-Sánchez, Jose Perez-Calatayud, Francisco Blázquez Molina, Maria Jose Pérez-Calatayud, Manuel Santos Ortega","doi":"10.5114/jcb.2024.144683","DOIUrl":null,"url":null,"abstract":"<p><strong>Purpose: </strong>The purpose of the study was to analyze patients with vaginal-involving recurrences of gynecological tumors and primary vaginal tumors, treated with transperineal interstitial brachytherapy (P-ISBT). Dosimetric, clinical, and toxicity analysis of these patients was conducted, incorporating MRI in volume definition and dose-volume dosimetry.</p><p><strong>Material and methods: </strong>Forty-two patients were retrospectively analyzed. They were treated with radical or adjuvant intent (in hysterectomized patients with high-risk of relapse). P-ISBT was performed with MUPIT (CT-based planning) in 18 patients (42.9%) and with Template Benidorm (TB) (MRI-based planning) in 24 patients (57.1%).</p><p><strong>Results: </strong>Median age was 59 years (range, 39-78 years). Median clinical target volume (CTV) was 81.4 cc (range, 33.8-286.2 cc) in MUPIT, and 47.5 cc (range, 10-156.4 cc) in TB-treated patients (<i>p</i> = 0.01). Median EQD<sub>2</sub> for EBRT and brachytherapy D<sub>90</sub> CTV was 69.2 Gy (range, 27.9-88.8 Gy) in MUPIT, and 77.2 Gy (range, 31-84.3 Gy) in TB. Median rectal D<sub>2cc</sub> was 69.2 Gy (range, 23.5-82.6 Gy) in MUPIT, and 66.3 Gy (range, 16.4-75 Gy) in TB. Median bladder D<sub>2cc</sub> was 71.5 Gy (range, 23.6-90.8 Gy) in MUPIT, and 66.9 Gy (range, 18.2-78.3 Gy) in TB. Median follow-up was 36.5 months (range, 4-188 months). Local control was 95% at 3 and 5 years. Overall survival was 77% at 3 years, and 66% at 5 years. Disease-specific survival was 81% at 3 years, and 75% at 5 years. Chronic grade 1-2 proctitis presented in 10 patients (24%; 8 treated with MUPIT and 2 treated with TB; <i>p</i> = 0.01). Grade 3 toxicity was documented in 4 patients (9.6%).</p><p><strong>Conclusions: </strong>MRI-based planning is superior to CT-based planning in P-ISBT. It allows for better definition of CTV, resulting in smaller and more selective treatment volumes. Our results show a tendency towards higher D<sub>90</sub> CTV dose and lower rectal/bladder D<sub>2cc</sub> dose, leading to less events of late rectal toxicity.</p>","PeriodicalId":51305,"journal":{"name":"Journal of Contemporary Brachytherapy","volume":"16 5","pages":"335-343"},"PeriodicalIF":1.1000,"publicationDate":"2024-10-01","publicationTypes":"Journal Article","fieldsOfStudy":null,"isOpenAccess":false,"openAccessPdf":"https://www.ncbi.nlm.nih.gov/pmc/articles/PMC11664797/pdf/","citationCount":"0","resultStr":null,"platform":"Semanticscholar","paperid":null,"PeriodicalName":"Journal of Contemporary Brachytherapy","FirstCategoryId":"3","ListUrlMain":"https://doi.org/10.5114/jcb.2024.144683","RegionNum":4,"RegionCategory":"医学","ArticlePicture":[],"TitleCN":null,"AbstractTextCN":null,"PMCID":null,"EPubDate":"2024/10/30 0:00:00","PubModel":"Epub","JCR":"Q4","JCRName":"ONCOLOGY","Score":null,"Total":0}
引用次数: 0

Abstract

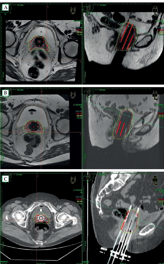
Purpose: The purpose of the study was to analyze patients with vaginal-involving recurrences of gynecological tumors and primary vaginal tumors, treated with transperineal interstitial brachytherapy (P-ISBT). Dosimetric, clinical, and toxicity analysis of these patients was conducted, incorporating MRI in volume definition and dose-volume dosimetry.

Material and methods: Forty-two patients were retrospectively analyzed. They were treated with radical or adjuvant intent (in hysterectomized patients with high-risk of relapse). P-ISBT was performed with MUPIT (CT-based planning) in 18 patients (42.9%) and with Template Benidorm (TB) (MRI-based planning) in 24 patients (57.1%).

Results: Median age was 59 years (range, 39-78 years). Median clinical target volume (CTV) was 81.4 cc (range, 33.8-286.2 cc) in MUPIT, and 47.5 cc (range, 10-156.4 cc) in TB-treated patients (p = 0.01). Median EQD2 for EBRT and brachytherapy D90 CTV was 69.2 Gy (range, 27.9-88.8 Gy) in MUPIT, and 77.2 Gy (range, 31-84.3 Gy) in TB. Median rectal D2cc was 69.2 Gy (range, 23.5-82.6 Gy) in MUPIT, and 66.3 Gy (range, 16.4-75 Gy) in TB. Median bladder D2cc was 71.5 Gy (range, 23.6-90.8 Gy) in MUPIT, and 66.9 Gy (range, 18.2-78.3 Gy) in TB. Median follow-up was 36.5 months (range, 4-188 months). Local control was 95% at 3 and 5 years. Overall survival was 77% at 3 years, and 66% at 5 years. Disease-specific survival was 81% at 3 years, and 75% at 5 years. Chronic grade 1-2 proctitis presented in 10 patients (24%; 8 treated with MUPIT and 2 treated with TB; p = 0.01). Grade 3 toxicity was documented in 4 patients (9.6%).

Conclusions: MRI-based planning is superior to CT-based planning in P-ISBT. It allows for better definition of CTV, resulting in smaller and more selective treatment volumes. Our results show a tendency towards higher D90 CTV dose and lower rectal/bladder D2cc dose, leading to less events of late rectal toxicity.

Abstract Image

基于mri的计划对经会阴间质近距离治疗累及阴道肿瘤的影响。
目的:本研究的目的是分析经会阴间质近距离放疗(P-ISBT)治疗的累及阴道的妇科肿瘤复发和原发阴道肿瘤患者。对这些患者进行剂量学、临床和毒性分析,并结合MRI进行体积定义和剂量-体积剂量测定。材料与方法:对42例患者进行回顾性分析。他们接受根治性或辅助性治疗(在子宫切除术后复发的高危患者中)。18例(42.9%)患者采用MUPIT(基于ct的计划),24例(57.1%)患者采用贝尼多姆模板(基于mri的计划)进行P-ISBT。结果:中位年龄59岁(范围39-78岁)。MUPIT患者的中位临床靶体积(CTV)为81.4 cc(范围为33.8-286.2 cc),结核病治疗患者的中位临床靶体积(CTV)为47.5 cc(范围为10-156.4 cc) (p = 0.01)。EBRT和近距离治疗D90 CTV的中位EQD2在MUPIT中为69.2 Gy(范围,27.9-88.8 Gy),在TB中为77.2 Gy(范围,31-84.3 Gy)。MUPIT患者直肠正中D2cc为69.2 Gy(范围23.5-82.6 Gy), TB患者为66.3 Gy(范围16.4-75 Gy)。MUPIT患者膀胱D2cc中位数为71.5 Gy(范围23.6-90.8 Gy), TB患者为66.9 Gy(范围18.2-78.3 Gy)。中位随访36.5个月(范围4-188个月)。3年和5年的局部控制率为95%。3年生存率为77%,5年生存率为66%。3年的疾病特异性生存率为81%,5年为75%。慢性1-2级直肠炎10例(24%;8例用MUPIT治疗,2例用TB治疗;P = 0.01)。3级毒性4例(9.6%)。结论:在P-ISBT中,mri规划优于ct规划。它允许更好地定义CTV,导致更小和更有选择性的治疗量。我们的研究结果显示,较高的D90 CTV剂量和较低的直肠/膀胱D2cc剂量倾向于导致较少的晚期直肠毒性事件。
本文章由计算机程序翻译,如有差异,请以英文原文为准。
求助全文
约1分钟内获得全文 求助全文
来源期刊
Journal of Contemporary Brachytherapy
Journal of Contemporary Brachytherapy ONCOLOGY-RADIOLOGY, NUCLEAR MEDICINE & MEDICAL IMAGING
CiteScore
2.40
自引率
14.30%
发文量
54
审稿时长
16 weeks
期刊介绍: The “Journal of Contemporary Brachytherapy” is an international and multidisciplinary journal that will publish papers of original research as well as reviews of articles. Main subjects of the journal include: clinical brachytherapy, combined modality treatment, advances in radiobiology, hyperthermia and tumour biology, as well as physical aspects relevant to brachytherapy, particularly in the field of imaging, dosimetry and radiation therapy planning. Original contributions will include experimental studies of combined modality treatment, tumor sensitization and normal tissue protection, molecular radiation biology, and clinical investigations of cancer treatment in brachytherapy. Another field of interest will be the educational part of the journal.
×
引用
GB/T 7714-2015
复制
MLA
复制
APA
复制
导出至
BibTeX EndNote RefMan NoteFirst NoteExpress
×
提示
您的信息不完整,为了账户安全,请先补充。
现在去补充
×
提示
您因"违规操作"
具体请查看互助需知
我知道了
×
提示
确定
请完成安全验证×
copy
已复制链接
快去分享给好友吧!
我知道了
右上角分享
点击右上角分享
0
联系我们:info@booksci.cn Book学术提供免费学术资源搜索服务,方便国内外学者检索中英文文献。致力于提供最便捷和优质的服务体验。 Copyright © 2023 布克学术 All rights reserved.
京ICP备2023020795号-1
ghs 京公网安备 11010802042870号
Book学术文献互助
Book学术文献互助群
群 号:604180095
Book学术官方微信