Leveraging pre-trained machine learning models for islet quantification in type 1 diabetes

Q2 Medicine
Sanghoon Kang , Jesus D. Penaloza Aponte , Omar Elashkar , Juan Francisco Morales , Nicholas Waddington , Damon G. Lamb , Huiwen Ju , Martha Campbell-Thompson , Sarah Kim
{"title":"Leveraging pre-trained machine learning models for islet quantification in type 1 diabetes","authors":"Sanghoon Kang ,&nbsp;Jesus D. Penaloza Aponte ,&nbsp;Omar Elashkar ,&nbsp;Juan Francisco Morales ,&nbsp;Nicholas Waddington ,&nbsp;Damon G. Lamb ,&nbsp;Huiwen Ju ,&nbsp;Martha Campbell-Thompson ,&nbsp;Sarah Kim","doi":"10.1016/j.jpi.2024.100406","DOIUrl":null,"url":null,"abstract":"<div><div>Human islets display a high degree of heterogeneity in terms of size, number, architecture, and endocrine cell-type compositions. An ever-increasing number of immunohistochemistry-stained whole slide images (WSIs) are available through the online pathology database of the Network for Pancreatic Organ donors with Diabetes (nPOD) program at the University of Florida (UF). We aimed to develop an enhanced machine learning-assisted WSI analysis workflow to utilize the nPOD resource for analysis of endocrine cell heterogeneity in the natural history of type 1 diabetes (T1D) in comparison to donors without diabetes. To maximize usability, the user-friendly open-source software QuPath was selected for the main interface. The WSI data were analyzed with two pre-trained machine learning models (i.e., Segment Anything Model (SAM) and QuPath's pixel classifier), using the UF high-performance-computing cluster, HiPerGator. SAM was used to define precise endocrine cell and cell grouping boundaries (with an average quality score of 0.91 per slide), and the artificial neural network-based pixel classifier was applied to segment areas of insulin- or glucagon-stained cytoplasmic regions within each endocrine cell. An additional script was developed to automatically count CD3+ cells inside and within 20 μm of each islet perimeter to quantify the number of islets with inflammation (i.e., CD3+ T-cell infiltration). Proof-of-concept analysis was performed to test the developed workflow in 12 subjects using 24 slides. This open-source machine learning-assisted workflow enables rapid and high throughput determinations of endocrine cells, whether as single cells or within groups, across hundreds of slides. It is expected that the use of this workflow will accelerate our understanding of endocrine cell and islet heterogeneity in the context of T1D endotypes and pathogenesis.</div></div>","PeriodicalId":37769,"journal":{"name":"Journal of Pathology Informatics","volume":"16 ","pages":"Article 100406"},"PeriodicalIF":0.0000,"publicationDate":"2025-01-01","publicationTypes":"Journal Article","fieldsOfStudy":null,"isOpenAccess":false,"openAccessPdf":"https://www.ncbi.nlm.nih.gov/pmc/articles/PMC11665367/pdf/","citationCount":"0","resultStr":null,"platform":"Semanticscholar","paperid":null,"PeriodicalName":"Journal of Pathology Informatics","FirstCategoryId":"1085","ListUrlMain":"https://www.sciencedirect.com/science/article/pii/S2153353924000452","RegionNum":0,"RegionCategory":null,"ArticlePicture":[],"TitleCN":null,"AbstractTextCN":null,"PMCID":null,"EPubDate":"","PubModel":"","JCR":"Q2","JCRName":"Medicine","Score":null,"Total":0}
引用次数: 0

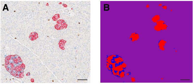
Abstract

Human islets display a high degree of heterogeneity in terms of size, number, architecture, and endocrine cell-type compositions. An ever-increasing number of immunohistochemistry-stained whole slide images (WSIs) are available through the online pathology database of the Network for Pancreatic Organ donors with Diabetes (nPOD) program at the University of Florida (UF). We aimed to develop an enhanced machine learning-assisted WSI analysis workflow to utilize the nPOD resource for analysis of endocrine cell heterogeneity in the natural history of type 1 diabetes (T1D) in comparison to donors without diabetes. To maximize usability, the user-friendly open-source software QuPath was selected for the main interface. The WSI data were analyzed with two pre-trained machine learning models (i.e., Segment Anything Model (SAM) and QuPath's pixel classifier), using the UF high-performance-computing cluster, HiPerGator. SAM was used to define precise endocrine cell and cell grouping boundaries (with an average quality score of 0.91 per slide), and the artificial neural network-based pixel classifier was applied to segment areas of insulin- or glucagon-stained cytoplasmic regions within each endocrine cell. An additional script was developed to automatically count CD3+ cells inside and within 20 μm of each islet perimeter to quantify the number of islets with inflammation (i.e., CD3+ T-cell infiltration). Proof-of-concept analysis was performed to test the developed workflow in 12 subjects using 24 slides. This open-source machine learning-assisted workflow enables rapid and high throughput determinations of endocrine cells, whether as single cells or within groups, across hundreds of slides. It is expected that the use of this workflow will accelerate our understanding of endocrine cell and islet heterogeneity in the context of T1D endotypes and pathogenesis.

Abstract Image

Abstract Image

Abstract Image

利用预训练的机器学习模型对1型糖尿病的胰岛进行量化。
人类胰岛在大小、数量、结构和内分泌细胞类型组成方面表现出高度的异质性。越来越多的免疫组织化学染色的全切片图像(WSIs)可以通过佛罗里达大学(UF)的胰腺器官供体网络(nPOD)项目的在线病理数据库获得。我们的目标是开发一种增强的机器学习辅助WSI分析工作流程,利用nPOD资源分析1型糖尿病(T1D)自然史中与非糖尿病供者相比的内分泌细胞异质性。为了最大限度地提高可用性,选择了用户友好的开源软件QuPath作为主界面。使用UF高性能计算集群HiPerGator,使用两个预训练的机器学习模型(即Segment Anything Model (SAM)和QuPath的像素分类器)分析WSI数据。使用SAM定义精确的内分泌细胞和细胞分组边界(每张幻灯片的平均质量分数为0.91),并将基于人工神经网络的像素分类器应用于每个内分泌细胞内胰岛素或胰高血糖素染色的细胞质区域的分割区域。另外还开发了一个脚本,用于自动计数每个胰岛周长20 μm内的CD3+细胞,以量化炎症(即CD3+ t细胞浸润)的胰岛数量。使用24张幻灯片对12名受试者进行了概念验证分析,以测试开发的工作流。这个开源的机器学习辅助工作流程能够快速和高通量地确定内分泌细胞,无论是单个细胞还是组内,跨越数百张幻灯片。预计该工作流程的使用将加速我们对T1D内型和发病机制背景下内分泌细胞和胰岛异质性的理解。
本文章由计算机程序翻译,如有差异,请以英文原文为准。
求助全文
约1分钟内获得全文 求助全文
来源期刊
Journal of Pathology Informatics
Journal of Pathology Informatics Medicine-Pathology and Forensic Medicine
CiteScore
3.70
自引率
0.00%
发文量
2
审稿时长
18 weeks
期刊介绍: The Journal of Pathology Informatics (JPI) is an open access peer-reviewed journal dedicated to the advancement of pathology informatics. This is the official journal of the Association for Pathology Informatics (API). The journal aims to publish broadly about pathology informatics and freely disseminate all articles worldwide. This journal is of interest to pathologists, informaticians, academics, researchers, health IT specialists, information officers, IT staff, vendors, and anyone with an interest in informatics. We encourage submissions from anyone with an interest in the field of pathology informatics. We publish all types of papers related to pathology informatics including original research articles, technical notes, reviews, viewpoints, commentaries, editorials, symposia, meeting abstracts, book reviews, and correspondence to the editors. All submissions are subject to rigorous peer review by the well-regarded editorial board and by expert referees in appropriate specialties.
×
引用
GB/T 7714-2015
复制
MLA
复制
APA
复制
导出至
BibTeX EndNote RefMan NoteFirst NoteExpress
×
提示
您的信息不完整,为了账户安全,请先补充。
现在去补充
×
提示
您因"违规操作"
具体请查看互助需知
我知道了
×
提示
确定
请完成安全验证×
copy
已复制链接
快去分享给好友吧!
我知道了
右上角分享
点击右上角分享
0
联系我们:info@booksci.cn Book学术提供免费学术资源搜索服务,方便国内外学者检索中英文文献。致力于提供最便捷和优质的服务体验。 Copyright © 2023 布克学术 All rights reserved.
京ICP备2023020795号-1
ghs 京公网安备 11010802042870号
Book学术文献互助
Book学术文献互助群
群 号:604180095
Book学术官方微信