Alpha-fetoprotein combined with initial tumor shape irregularity in predicting the survival of patients with advanced hepatocellular carcinoma treated with immune-checkpoint inhibitors: a retrospective multi-center cohort study.

IF 5.5 2区 医学 Q1 GASTROENTEROLOGY & HEPATOLOGY
Journal of Gastroenterology Pub Date : 2025-04-01 Epub Date: 2024-12-23 DOI:10.1007/s00535-024-02202-y
Feng Zhang, Yong-Shuai Wang, Shao-Peng Li, Bin Zhao, Nan Huang, Rui-Peng Song, Fan-Zheng Meng, Zhi-Wen Feng, Shen-Yu Zhang, Hua-Chuan Song, Xiao-Peng Chen, Lian-Xin Liu, Ji-Zhou Wang
{"title":"Alpha-fetoprotein combined with initial tumor shape irregularity in predicting the survival of patients with advanced hepatocellular carcinoma treated with immune-checkpoint inhibitors: a retrospective multi-center cohort study.","authors":"Feng Zhang, Yong-Shuai Wang, Shao-Peng Li, Bin Zhao, Nan Huang, Rui-Peng Song, Fan-Zheng Meng, Zhi-Wen Feng, Shen-Yu Zhang, Hua-Chuan Song, Xiao-Peng Chen, Lian-Xin Liu, Ji-Zhou Wang","doi":"10.1007/s00535-024-02202-y","DOIUrl":null,"url":null,"abstract":"<p><strong>Background: </strong>Immune checkpoint inhibitors (ICIs) are playing a significant role in the treatment of hepatocellular carcinoma (HCC). This study aims to explore the prognostic value of alpha-fetoprotein (AFP) and initial tumor shape irregularity in patients treated with ICIs.</p><p><strong>Methods: </strong>In this retrospective, multi-center study, 296 HCC patients were randomly divided into the training set and the validation set in a 3:2 ratio. The training set was used to evaluate prognostic factors and to develop an easily applicable ATSI (AFP and Tumor Shape Irregularity) score, which was verified in the validation set.</p><p><strong>Results: </strong>The ATSI score was developed from two independent prognostic risk factors: baseline AFP ≥ 400 ng/ml (HR 1.73, 95% CI 1.01-2.96, P = 0.046) and initial tumor shape irregularity (HR 1.94, 95% CI 1.03-3.65, P = 0.041). The median overall survival (OS) was not reached (95% CI 28.20-NA) in patients who met no criteria (0 points), 25.8 months (95% CI 14.17-NA) in patients who met one criterion (1 point), and 17.03 months (95% CI 11.73-23.83) in patients who met two criteria (2 points) (P = 0.001). The median progression-free survival (PFS) was 10.83 months (95% CI 9.27-14.33) for 0 points, 8.03 months (95% CI 6.77-10.57) for 1 point, and 5.03 months (95% CI 3.83-9.67) for 2 points (P < 0.001). The validation set effectively verified these results (median OS, 37.43/24.27/14.03 months for 0/1/2 points, P = 0.028; median PFS, 13.93/8.30/4.90 months for 0/1/2 points, P < 0.001).</p><p><strong>Conclusions: </strong>The ATSI score can effectively predict prognosis in HCC patients receiving ICIs.</p>","PeriodicalId":16059,"journal":{"name":"Journal of Gastroenterology","volume":" ","pages":"442-455"},"PeriodicalIF":5.5000,"publicationDate":"2025-04-01","publicationTypes":"Journal Article","fieldsOfStudy":null,"isOpenAccess":false,"openAccessPdf":"https://www.ncbi.nlm.nih.gov/pmc/articles/PMC11922967/pdf/","citationCount":"0","resultStr":null,"platform":"Semanticscholar","paperid":null,"PeriodicalName":"Journal of Gastroenterology","FirstCategoryId":"3","ListUrlMain":"https://doi.org/10.1007/s00535-024-02202-y","RegionNum":2,"RegionCategory":"医学","ArticlePicture":[],"TitleCN":null,"AbstractTextCN":null,"PMCID":null,"EPubDate":"2024/12/23 0:00:00","PubModel":"Epub","JCR":"Q1","JCRName":"GASTROENTEROLOGY & HEPATOLOGY","Score":null,"Total":0}
引用次数: 0

Abstract

Background: Immune checkpoint inhibitors (ICIs) are playing a significant role in the treatment of hepatocellular carcinoma (HCC). This study aims to explore the prognostic value of alpha-fetoprotein (AFP) and initial tumor shape irregularity in patients treated with ICIs.

Methods: In this retrospective, multi-center study, 296 HCC patients were randomly divided into the training set and the validation set in a 3:2 ratio. The training set was used to evaluate prognostic factors and to develop an easily applicable ATSI (AFP and Tumor Shape Irregularity) score, which was verified in the validation set.

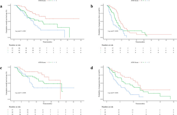
Results: The ATSI score was developed from two independent prognostic risk factors: baseline AFP ≥ 400 ng/ml (HR 1.73, 95% CI 1.01-2.96, P = 0.046) and initial tumor shape irregularity (HR 1.94, 95% CI 1.03-3.65, P = 0.041). The median overall survival (OS) was not reached (95% CI 28.20-NA) in patients who met no criteria (0 points), 25.8 months (95% CI 14.17-NA) in patients who met one criterion (1 point), and 17.03 months (95% CI 11.73-23.83) in patients who met two criteria (2 points) (P = 0.001). The median progression-free survival (PFS) was 10.83 months (95% CI 9.27-14.33) for 0 points, 8.03 months (95% CI 6.77-10.57) for 1 point, and 5.03 months (95% CI 3.83-9.67) for 2 points (P < 0.001). The validation set effectively verified these results (median OS, 37.43/24.27/14.03 months for 0/1/2 points, P = 0.028; median PFS, 13.93/8.30/4.90 months for 0/1/2 points, P < 0.001).

Conclusions: The ATSI score can effectively predict prognosis in HCC patients receiving ICIs.

Abstract Image

Abstract Image

Abstract Image

甲胎蛋白结合初始肿瘤形状不规则预测晚期肝癌患者免疫检查点抑制剂治疗的生存:一项回顾性多中心队列研究
背景:免疫检查点抑制剂(ICIs)在肝细胞癌(HCC)的治疗中发挥着重要作用。本研究旨在探讨甲胎蛋白(AFP)和初始肿瘤形状不规则在脑内注射(ICIs)患者中的预后价值。方法:采用回顾性、多中心研究,将296例HCC患者按3:2的比例随机分为训练组和验证组。该训练集用于评估预后因素,并制定易于应用的ATSI (AFP和肿瘤形状不规则性)评分,并在验证集中进行验证。结果:ATSI评分由两个独立的预后危险因素确定:基线AFP≥400 ng/ml (HR 1.73, 95% CI 1.01-2.96, P = 0.046)和初始肿瘤形状不规则(HR 1.94, 95% CI 1.03-3.65, P = 0.041)。不符合标准(0分)的患者的中位总生存期(OS)未达到(95% CI 28.20-NA),满足一个标准(1分)的患者的中位总生存期(OS)为25.8个月(95% CI 14.17-NA),满足两个标准(2分)的患者的中位总生存期(OS)为17.03个月(95% CI 11.73-23.83) (P = 0.001)。0分的中位无进展生存期(PFS)为10.83个月(95% CI 9.27 ~ 14.33), 1分的中位无进展生存期为8.03个月(95% CI 6.77 ~ 10.57), 2分的中位无进展生存期为5.03个月(95% CI 3.83 ~ 9.67)。(P)结论:ATSI评分可有效预测肝细胞癌接受ICIs患者的预后。
本文章由计算机程序翻译,如有差异,请以英文原文为准。
求助全文
约1分钟内获得全文 求助全文
来源期刊
Journal of Gastroenterology
Journal of Gastroenterology 医学-胃肠肝病学
CiteScore
12.20
自引率
1.60%
发文量
99
审稿时长
4-8 weeks
期刊介绍: The Journal of Gastroenterology, which is the official publication of the Japanese Society of Gastroenterology, publishes Original Articles (Alimentary Tract/Liver, Pancreas, and Biliary Tract), Review Articles, Letters to the Editors and other articles on all aspects of the field of gastroenterology. Significant contributions relating to basic research, theory, and practice are welcomed. These publications are designed to disseminate knowledge in this field to a worldwide audience, and accordingly, its editorial board has an international membership.
×
引用
GB/T 7714-2015
复制
MLA
复制
APA
复制
导出至
BibTeX EndNote RefMan NoteFirst NoteExpress
×
提示
您的信息不完整,为了账户安全,请先补充。
现在去补充
×
提示
您因"违规操作"
具体请查看互助需知
我知道了
×
提示
确定
请完成安全验证×
copy
已复制链接
快去分享给好友吧!
我知道了
右上角分享
点击右上角分享
0
联系我们:info@booksci.cn Book学术提供免费学术资源搜索服务,方便国内外学者检索中英文文献。致力于提供最便捷和优质的服务体验。 Copyright © 2023 布克学术 All rights reserved.
京ICP备2023020795号-1
ghs 京公网安备 11010802042870号
Book学术文献互助
Book学术文献互助群
群 号:604180095
Book学术官方微信