Thyroid metastasis from ovarian clear cell carcinoma.

IF 0.7 Q4 ENDOCRINOLOGY & METABOLISM
Rika Sasaki, Haruhiko Yamazaki, Eita Kumagai, Soji Toda, Aya Saito
{"title":"Thyroid metastasis from ovarian clear cell carcinoma.","authors":"Rika Sasaki, Haruhiko Yamazaki, Eita Kumagai, Soji Toda, Aya Saito","doi":"10.1530/EDM-24-0086","DOIUrl":null,"url":null,"abstract":"<p><strong>Summary: </strong>A 56-year-old woman with cervical pain with a history of ovarian clear cell carcinoma stage IIIC was admitted to a primary care doctor. Ultrasonography revealed a microhyperechoic nodule in the thyroid gland and cervical lymph node enlargement, and fine-needle aspiration was performed. The results showed malignancy, and she was admitted to our hospital. The differential diagnoses included primary thyroid neoplasms and thyroid metastases from ovarian clear cell carcinoma. A needle biopsy of the thyroid gland was performed. Immunohistochemistry revealed that the tumor cells were positive for cytokeratin AE1/AE3, hepatocyte nuclear factor-1-beta and PAX8 and negative for thyroglobulin and thyroid transcription factor-1. Therefore, we diagnosed the patient with thyroid metastasis from ovarian clear cell carcinoma. There were no compressive symptoms at the time of the visit to our hospital, and surgery was considered unnecessary. Systemic treatment for ovarian clear cell carcinoma was continued. Three months later, she died of a stroke due to Trousseau's syndrome.</p><p><strong>Learning points: </strong>Metastasis of ovarian carcinoma to the thyroid gland is extremely rare.Using histology and immunostaining, we were able to accurately diagnose thyroid metastasis of ovarian clear cell carcinoma.</p>","PeriodicalId":37467,"journal":{"name":"Endocrinology, Diabetes and Metabolism Case Reports","volume":"2024 4","pages":""},"PeriodicalIF":0.7000,"publicationDate":"2024-12-19","publicationTypes":"Journal Article","fieldsOfStudy":null,"isOpenAccess":false,"openAccessPdf":"https://www.ncbi.nlm.nih.gov/pmc/articles/PMC11737430/pdf/","citationCount":"0","resultStr":null,"platform":"Semanticscholar","paperid":null,"PeriodicalName":"Endocrinology, Diabetes and Metabolism Case Reports","FirstCategoryId":"1085","ListUrlMain":"https://doi.org/10.1530/EDM-24-0086","RegionNum":0,"RegionCategory":null,"ArticlePicture":[],"TitleCN":null,"AbstractTextCN":null,"PMCID":null,"EPubDate":"2024/10/1 0:00:00","PubModel":"Print","JCR":"Q4","JCRName":"ENDOCRINOLOGY & METABOLISM","Score":null,"Total":0}
引用次数: 0

Abstract

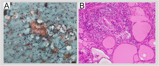
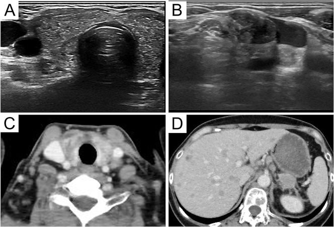
Summary: A 56-year-old woman with cervical pain with a history of ovarian clear cell carcinoma stage IIIC was admitted to a primary care doctor. Ultrasonography revealed a microhyperechoic nodule in the thyroid gland and cervical lymph node enlargement, and fine-needle aspiration was performed. The results showed malignancy, and she was admitted to our hospital. The differential diagnoses included primary thyroid neoplasms and thyroid metastases from ovarian clear cell carcinoma. A needle biopsy of the thyroid gland was performed. Immunohistochemistry revealed that the tumor cells were positive for cytokeratin AE1/AE3, hepatocyte nuclear factor-1-beta and PAX8 and negative for thyroglobulin and thyroid transcription factor-1. Therefore, we diagnosed the patient with thyroid metastasis from ovarian clear cell carcinoma. There were no compressive symptoms at the time of the visit to our hospital, and surgery was considered unnecessary. Systemic treatment for ovarian clear cell carcinoma was continued. Three months later, she died of a stroke due to Trousseau's syndrome.

Learning points: Metastasis of ovarian carcinoma to the thyroid gland is extremely rare.Using histology and immunostaining, we were able to accurately diagnose thyroid metastasis of ovarian clear cell carcinoma.

Abstract Image

Abstract Image

Abstract Image

卵巢透明细胞癌甲状腺转移。
摘要:一名 56 岁女性因宫颈疼痛就诊,主治医生诊断其为卵巢透明细胞癌 IIIC 期。超声检查发现甲状腺微回声结节和宫颈淋巴结肿大,于是进行了细针穿刺。结果显示为恶性肿瘤,于是她住进了我院。鉴别诊断包括原发性甲状腺肿瘤和卵巢透明细胞癌的甲状腺转移。我们对她的甲状腺进行了针刺活检。免疫组化显示,肿瘤细胞细胞角蛋白AE1/AE3、肝细胞核因子-1-β和PAX8阳性,甲状腺球蛋白和甲状腺转录因子-1阴性。因此,我们诊断患者为卵巢透明细胞癌甲状腺转移。患者来我院就诊时没有任何压迫症状,因此我们认为没有必要进行手术。患者继续接受卵巢透明细胞癌的全身治疗。三个月后,她因特鲁索综合征中风去世:学习要点:卵巢癌转移至甲状腺极为罕见。通过组织学和免疫染色法,我们能够准确诊断卵巢透明细胞癌的甲状腺转移。
本文章由计算机程序翻译,如有差异,请以英文原文为准。
求助全文
约1分钟内获得全文 求助全文
来源期刊
CiteScore
1.50
自引率
0.00%
发文量
142
审稿时长
9 weeks
期刊介绍: Endocrinology, Diabetes & Metabolism Case Reports publishes case reports on common and rare conditions in all areas of clinical endocrinology, diabetes and metabolism. Articles should include clear learning points which readers can use to inform medical education or clinical practice. The types of cases of interest to Endocrinology, Diabetes & Metabolism Case Reports include: -Insight into disease pathogenesis or mechanism of therapy - Novel diagnostic procedure - Novel treatment - Unique/unexpected symptoms or presentations of a disease - New disease or syndrome: presentations/diagnosis/management - Unusual effects of medical treatment - Error in diagnosis/pitfalls and caveats
×
引用
GB/T 7714-2015
复制
MLA
复制
APA
复制
导出至
BibTeX EndNote RefMan NoteFirst NoteExpress
×
提示
您的信息不完整,为了账户安全,请先补充。
现在去补充
×
提示
您因"违规操作"
具体请查看互助需知
我知道了
×
提示
确定
请完成安全验证×
copy
已复制链接
快去分享给好友吧!
我知道了
右上角分享
点击右上角分享
0
联系我们:info@booksci.cn Book学术提供免费学术资源搜索服务,方便国内外学者检索中英文文献。致力于提供最便捷和优质的服务体验。 Copyright © 2023 布克学术 All rights reserved.
京ICP备2023020795号-1
ghs 京公网安备 11010802042870号
Book学术文献互助
Book学术文献互助群
群 号:604180095
Book学术官方微信