Primary hyperparathyroidism due to a giant parathyroid adenoma presenting with pathological fractures and multiple brown tumors.

IF 0.7 Q4 ENDOCRINOLOGY & METABOLISM
Jassy Meng, Wedyan M Aboznadah, Marc Pusztaszeri, Vincent Larouche
{"title":"Primary hyperparathyroidism due to a giant parathyroid adenoma presenting with pathological fractures and multiple brown tumors.","authors":"Jassy Meng, Wedyan M Aboznadah, Marc Pusztaszeri, Vincent Larouche","doi":"10.1530/EDM-24-0054","DOIUrl":null,"url":null,"abstract":"<p><strong>Summary: </strong>Primary hyperparathyroidism (PHPT) is a disorder in which excessive parathyroid hormone (PTH) is secreted from the parathyroid glands. The cause of PHPT is most commonly parathyroid lesions such as parathyroid adenoma. The clinical manifestations of PHPT include hypercalcemia, nephrolithiasis, bone disease and rarely pathological fractures and brown tumors, which arise within the foci of osteitis fibrosa. Brown tumors are benign intraosseous tumors that occur because of excessive osteoclast activity. Because of advances in medical care, early diagnosis and treatment have meant that diagnosing PHPT in the setting of multiple brown tumors is particularly rare. Here, we present a case of a young man with prolonged PHPT from a giant parathyroid adenoma with multiple brown tumors causing pathological fractures. Definitive treatment of PHPT is parathyroidectomy with particular attention to the risks for hungry bone syndrome (HBS) postoperatively.</p><p><strong>Learning points: </strong>Pathological fractures from brown tumors are a rare but significant concern in prolonged PHPT, and a multidisciplinary approach is required including orthopedic surgery, otolaryngology and endocrinology.It is important to assess PTH and calcium in the context of hypercalcemia with bone lesions to avoid potential diagnostic delays.Postoperative parathyroidectomy patients with large parathyroid adenomas, elevated alkaline phosphatase, elevated PTH and the presence of brown tumors are at particularly high risk for HBS.Very high levels of PTH, calcium, alkaline phosphatase and multiple brown tumors should raise concern for a potential case of parathyroid carcinoma.Indications for genetic testing for inheritable parathyroid disease include patients younger than 30 years old, those with multigland disease, those with a family history of hypercalcemia or syndromic disease and those with atypical parathyroid adenoma and parathyroid carcinoma.</p>","PeriodicalId":37467,"journal":{"name":"Endocrinology, Diabetes and Metabolism Case Reports","volume":"2024 4","pages":""},"PeriodicalIF":0.7000,"publicationDate":"2024-12-19","publicationTypes":"Journal Article","fieldsOfStudy":null,"isOpenAccess":false,"openAccessPdf":"https://www.ncbi.nlm.nih.gov/pmc/articles/PMC11737434/pdf/","citationCount":"0","resultStr":null,"platform":"Semanticscholar","paperid":null,"PeriodicalName":"Endocrinology, Diabetes and Metabolism Case Reports","FirstCategoryId":"1085","ListUrlMain":"https://doi.org/10.1530/EDM-24-0054","RegionNum":0,"RegionCategory":null,"ArticlePicture":[],"TitleCN":null,"AbstractTextCN":null,"PMCID":null,"EPubDate":"2024/10/1 0:00:00","PubModel":"Print","JCR":"Q4","JCRName":"ENDOCRINOLOGY & METABOLISM","Score":null,"Total":0}
引用次数: 0

Abstract

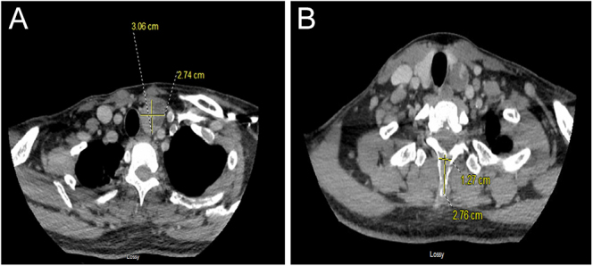
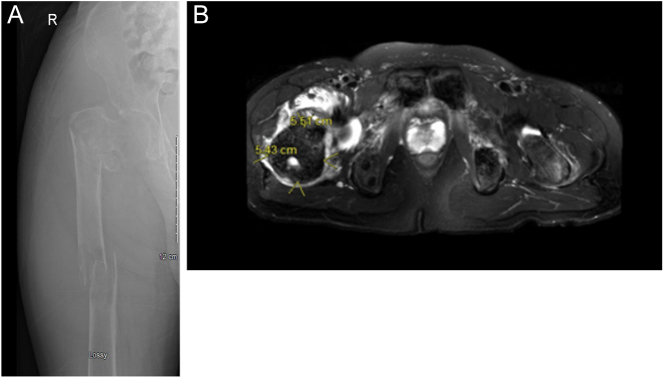
Summary: Primary hyperparathyroidism (PHPT) is a disorder in which excessive parathyroid hormone (PTH) is secreted from the parathyroid glands. The cause of PHPT is most commonly parathyroid lesions such as parathyroid adenoma. The clinical manifestations of PHPT include hypercalcemia, nephrolithiasis, bone disease and rarely pathological fractures and brown tumors, which arise within the foci of osteitis fibrosa. Brown tumors are benign intraosseous tumors that occur because of excessive osteoclast activity. Because of advances in medical care, early diagnosis and treatment have meant that diagnosing PHPT in the setting of multiple brown tumors is particularly rare. Here, we present a case of a young man with prolonged PHPT from a giant parathyroid adenoma with multiple brown tumors causing pathological fractures. Definitive treatment of PHPT is parathyroidectomy with particular attention to the risks for hungry bone syndrome (HBS) postoperatively.

Learning points: Pathological fractures from brown tumors are a rare but significant concern in prolonged PHPT, and a multidisciplinary approach is required including orthopedic surgery, otolaryngology and endocrinology.It is important to assess PTH and calcium in the context of hypercalcemia with bone lesions to avoid potential diagnostic delays.Postoperative parathyroidectomy patients with large parathyroid adenomas, elevated alkaline phosphatase, elevated PTH and the presence of brown tumors are at particularly high risk for HBS.Very high levels of PTH, calcium, alkaline phosphatase and multiple brown tumors should raise concern for a potential case of parathyroid carcinoma.Indications for genetic testing for inheritable parathyroid disease include patients younger than 30 years old, those with multigland disease, those with a family history of hypercalcemia or syndromic disease and those with atypical parathyroid adenoma and parathyroid carcinoma.

Abstract Image

Abstract Image

Abstract Image

巨大甲状旁腺腺瘤引起的原发性甲状旁腺功能亢进症,伴有病理性骨折和多发性棕色肿瘤。
摘要:原发性甲状旁腺功能亢进(PHPT)是一种甲状旁腺分泌过多甲状旁腺激素(PTH)的疾病。PHPT最常见的病因是甲状旁腺病变,如甲状旁腺瘤。PHPT的临床表现包括高钙血症、肾结石、骨病,罕见的病理性骨折和棕色肿瘤发生在纤维性骨炎的病灶内。褐色肿瘤是一种良性骨内肿瘤,因破骨细胞过度活跃而发生。由于医疗保健的进步,早期诊断和治疗意味着在多发棕色肿瘤的情况下诊断PHPT是特别罕见的。在此,我们报告一位年轻男性,由于巨大甲状旁腺瘤合并多个棕色肿瘤导致病理性骨折,导致PHPT延长。PHPT的最终治疗是甲状旁腺切除术,特别注意术后饥饿骨综合征(HBS)的风险。学习要点:棕色肿瘤引起的病理性骨折在长期PHPT中是一种罕见但重要的问题,需要包括骨科、耳鼻喉科和内分泌科在内的多学科方法。评估甲状旁腺激素和钙在高钙血症伴骨病变的情况下是很重要的,以避免潜在的诊断延误。甲状旁腺切除术后伴有较大甲状旁腺瘤、碱性磷酸酶升高、甲状旁腺素升高以及存在棕色肿瘤的患者发生HBS的风险特别高。甲状旁腺激素、钙、碱性磷酸酶和多个棕色肿瘤的高水平应该引起对甲状旁腺癌潜在病例的关注。遗传性甲状旁腺疾病的基因检测适应症包括年龄小于30岁的患者、患有多腺疾病的患者、有高钙血症或综合征性疾病家族史的患者以及患有非典型甲状旁腺瘤和甲状旁腺癌的患者。
本文章由计算机程序翻译,如有差异,请以英文原文为准。
求助全文
约1分钟内获得全文 求助全文
来源期刊
CiteScore
1.50
自引率
0.00%
发文量
142
审稿时长
9 weeks
期刊介绍: Endocrinology, Diabetes & Metabolism Case Reports publishes case reports on common and rare conditions in all areas of clinical endocrinology, diabetes and metabolism. Articles should include clear learning points which readers can use to inform medical education or clinical practice. The types of cases of interest to Endocrinology, Diabetes & Metabolism Case Reports include: -Insight into disease pathogenesis or mechanism of therapy - Novel diagnostic procedure - Novel treatment - Unique/unexpected symptoms or presentations of a disease - New disease or syndrome: presentations/diagnosis/management - Unusual effects of medical treatment - Error in diagnosis/pitfalls and caveats
×
引用
GB/T 7714-2015
复制
MLA
复制
APA
复制
导出至
BibTeX EndNote RefMan NoteFirst NoteExpress
×
提示
您的信息不完整,为了账户安全,请先补充。
现在去补充
×
提示
您因"违规操作"
具体请查看互助需知
我知道了
×
提示
确定
请完成安全验证×
copy
已复制链接
快去分享给好友吧!
我知道了
右上角分享
点击右上角分享
0
联系我们:info@booksci.cn Book学术提供免费学术资源搜索服务,方便国内外学者检索中英文文献。致力于提供最便捷和优质的服务体验。 Copyright © 2023 布克学术 All rights reserved.
京ICP备2023020795号-1
ghs 京公网安备 11010802042870号
Book学术文献互助
Book学术文献互助群
群 号:604180095
Book学术官方微信