Hypoparathyroidism, sensorineural deafness and renal disease (HDR) syndrome due to a novel GATA3 mutation p.Ala287Asp.

IF 0.7 Q4 ENDOCRINOLOGY & METABOLISM
Luke Vroegindewey, John Kim, Dennis J Joseph
{"title":"Hypoparathyroidism, sensorineural deafness and renal disease (HDR) syndrome due to a novel GATA3 mutation p.Ala287Asp.","authors":"Luke Vroegindewey, John Kim, Dennis J Joseph","doi":"10.1530/EDM-24-0020","DOIUrl":null,"url":null,"abstract":"<p><strong>Summary: </strong>HDR is a rare autosomal dominant genetic disorder characterized by the triad of hypoparathyroidism, sensorineural deafness and renal anomalies caused by haploinsufficiency loss of function of the GATA-binding protein 3 (GATA3) gene. We present a case of a 56-year-old male diagnosed with hypoparathyroidism, sensorineural deafness, renal hypoplasia and epilepsy. Genetic testing revealed a novel GATA3 heterozygous mutation c.860C>A with a predicted amino acid substitution p.Ala287Asp. This hitherto unreported missense GATA mutation was characterized by a relatively late-onset and milder phenotype of the HDR triad.</p><p><strong>Learning points: </strong>GATA3 gene mutations located on chromosome 10p cause haploinsufficiency of the GATA3 protein affecting fetal development of the parathyroid glands, inner ear and renal anomalies, resulting in HDR syndrome with an autosomal dominant inheritance pattern.Also known as Barakat syndrome, it has been reported in less than 200 cases with an identified mutation, each having a varied phenotypic presentation without consistent genotypic correlation.We present a patient with HDR syndrome who tested positive for a novel mutation c.860C>A, resulting in a missense substitution of amino acids p.Ala287Asp in the GATA3 gene.Clinicians who identify this rare triad of hypoparathyroidism, sensorineural deafness and renal anomalies should further investigate with genetic testing for GATA3 mutations.</p>","PeriodicalId":37467,"journal":{"name":"Endocrinology, Diabetes and Metabolism Case Reports","volume":"2024 4","pages":""},"PeriodicalIF":0.7000,"publicationDate":"2024-12-19","publicationTypes":"Journal Article","fieldsOfStudy":null,"isOpenAccess":false,"openAccessPdf":"https://www.ncbi.nlm.nih.gov/pmc/articles/PMC11737508/pdf/","citationCount":"0","resultStr":null,"platform":"Semanticscholar","paperid":null,"PeriodicalName":"Endocrinology, Diabetes and Metabolism Case Reports","FirstCategoryId":"1085","ListUrlMain":"https://doi.org/10.1530/EDM-24-0020","RegionNum":0,"RegionCategory":null,"ArticlePicture":[],"TitleCN":null,"AbstractTextCN":null,"PMCID":null,"EPubDate":"2024/10/1 0:00:00","PubModel":"Print","JCR":"Q4","JCRName":"ENDOCRINOLOGY & METABOLISM","Score":null,"Total":0}
引用次数: 0

Abstract

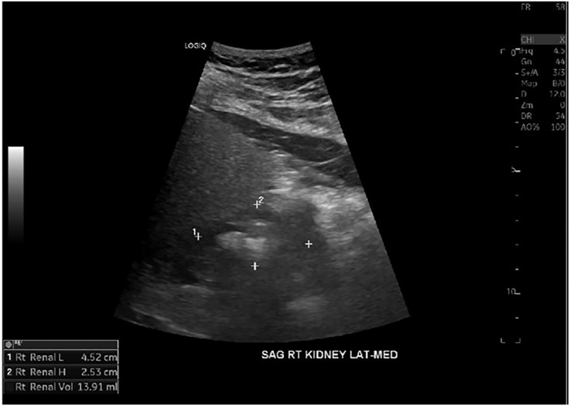
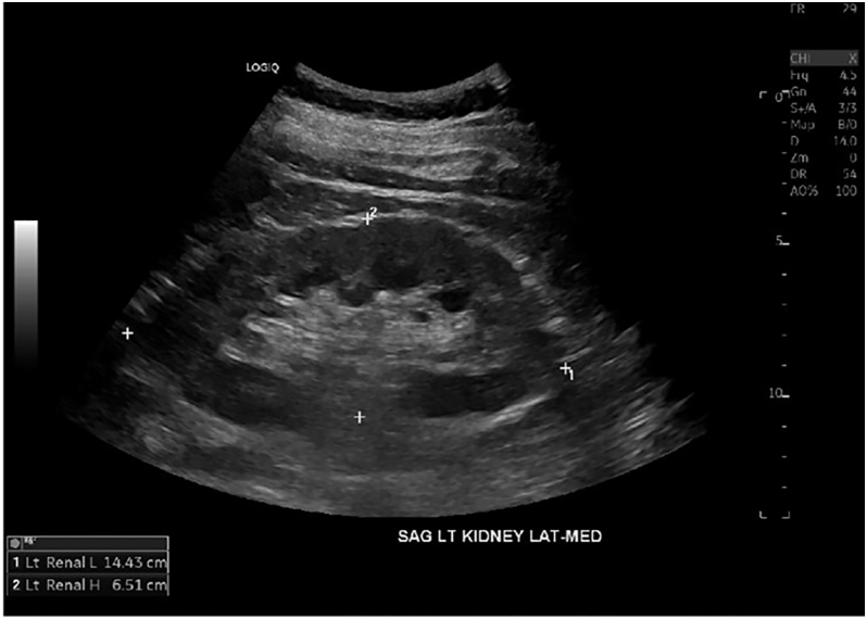
Summary: HDR is a rare autosomal dominant genetic disorder characterized by the triad of hypoparathyroidism, sensorineural deafness and renal anomalies caused by haploinsufficiency loss of function of the GATA-binding protein 3 (GATA3) gene. We present a case of a 56-year-old male diagnosed with hypoparathyroidism, sensorineural deafness, renal hypoplasia and epilepsy. Genetic testing revealed a novel GATA3 heterozygous mutation c.860C>A with a predicted amino acid substitution p.Ala287Asp. This hitherto unreported missense GATA mutation was characterized by a relatively late-onset and milder phenotype of the HDR triad.

Learning points: GATA3 gene mutations located on chromosome 10p cause haploinsufficiency of the GATA3 protein affecting fetal development of the parathyroid glands, inner ear and renal anomalies, resulting in HDR syndrome with an autosomal dominant inheritance pattern.Also known as Barakat syndrome, it has been reported in less than 200 cases with an identified mutation, each having a varied phenotypic presentation without consistent genotypic correlation.We present a patient with HDR syndrome who tested positive for a novel mutation c.860C>A, resulting in a missense substitution of amino acids p.Ala287Asp in the GATA3 gene.Clinicians who identify this rare triad of hypoparathyroidism, sensorineural deafness and renal anomalies should further investigate with genetic testing for GATA3 mutations.

Abstract Image

Abstract Image

Abstract Image

新型GATA3突变p.a ala287asp引起的甲状旁腺功能减退、感音神经性耳聋和肾脏疾病(HDR)综合征
摘要:HDR是一种罕见的常染色体显性遗传病,以甲状旁腺功能低下、感音神经性耳聋和肾异常三联征为特征,由gata结合蛋白3 (GATA3)基因单倍体功能不全引起。我们报告一位56岁男性,诊断为甲状旁腺功能减退、感音神经性耳聋、肾发育不全及癫痫。基因检测发现一个新的GATA3杂合突变c.860C . > a,预测氨基酸取代p.Ala287Asp。这种迄今未报道的错义GATA突变的特点是发病相对较晚,HDR三联症的表型较轻。学习要点:位于10p染色体上的GATA3基因突变导致GATA3蛋白单倍性不足,影响胎儿甲状旁腺、内耳和肾脏异常发育,导致HDR综合征常染色体显性遗传模式。也被称为Barakat综合征,据报道,在不到200例已确定的突变中,每个突变都有不同的表型表现,没有一致的基因型相关性。我们报告了一位HDR综合征患者,他检测出一种新的突变c.860C> a呈阳性,导致氨基酸p.Ala287Asp在GATA3基因中错义替换。发现甲状旁腺功能减退、感音神经性耳聋和肾脏异常的罕见三联征的临床医生应进一步研究GATA3突变的基因检测。
本文章由计算机程序翻译,如有差异,请以英文原文为准。
求助全文
约1分钟内获得全文 求助全文
来源期刊
CiteScore
1.50
自引率
0.00%
发文量
142
审稿时长
9 weeks
期刊介绍: Endocrinology, Diabetes & Metabolism Case Reports publishes case reports on common and rare conditions in all areas of clinical endocrinology, diabetes and metabolism. Articles should include clear learning points which readers can use to inform medical education or clinical practice. The types of cases of interest to Endocrinology, Diabetes & Metabolism Case Reports include: -Insight into disease pathogenesis or mechanism of therapy - Novel diagnostic procedure - Novel treatment - Unique/unexpected symptoms or presentations of a disease - New disease or syndrome: presentations/diagnosis/management - Unusual effects of medical treatment - Error in diagnosis/pitfalls and caveats
×
引用
GB/T 7714-2015
复制
MLA
复制
APA
复制
导出至
BibTeX EndNote RefMan NoteFirst NoteExpress
×
提示
您的信息不完整,为了账户安全,请先补充。
现在去补充
×
提示
您因"违规操作"
具体请查看互助需知
我知道了
×
提示
确定
请完成安全验证×
copy
已复制链接
快去分享给好友吧!
我知道了
右上角分享
点击右上角分享
0
联系我们:info@booksci.cn Book学术提供免费学术资源搜索服务,方便国内外学者检索中英文文献。致力于提供最便捷和优质的服务体验。 Copyright © 2023 布克学术 All rights reserved.
京ICP备2023020795号-1
ghs 京公网安备 11010802042870号
Book学术文献互助
Book学术文献互助群
群 号:604180095
Book学术官方微信