A Rare Case of Functional Metastatic Follicular Thyroid Carcinoma With Concomitant Thyrotoxicosis.

IF 0.9 Q4 ENDOCRINOLOGY & METABOLISM
Case Reports in Endocrinology Pub Date : 2024-12-12 eCollection Date: 2024-01-01 DOI:10.1155/crie/1398125
Yun Ann Chin, Zaheer Sumbul, Yi Lin Teh, Chiaw Ling Chng
{"title":"A Rare Case of Functional Metastatic Follicular Thyroid Carcinoma With Concomitant Thyrotoxicosis.","authors":"Yun Ann Chin, Zaheer Sumbul, Yi Lin Teh, Chiaw Ling Chng","doi":"10.1155/crie/1398125","DOIUrl":null,"url":null,"abstract":"<p><p>We report a case of a 60-year-old lady with metastatic follicular thyroid carcinoma (FTC) who was presented with thyrotoxicosis and heart failure symptoms after total thyroidectomy. Clinical features and investigations led to the diagnosis of functional metastatic FTC with concomitant thyrotoxicosis. Levothyroxine therapy was stopped, and she was treated with propylthiouracil (PTU) followed by serial radioiodine treatments (RAITs) with good control of thyrotoxicosis and metastases. Despite having a very high disease burden with metastatic FTC, she has been able to maintain her functional status thus far, 4.5 years after initial diagnosis.</p>","PeriodicalId":9621,"journal":{"name":"Case Reports in Endocrinology","volume":"2024 ","pages":"1398125"},"PeriodicalIF":0.9000,"publicationDate":"2024-12-12","publicationTypes":"Journal Article","fieldsOfStudy":null,"isOpenAccess":false,"openAccessPdf":"https://www.ncbi.nlm.nih.gov/pmc/articles/PMC11658849/pdf/","citationCount":"0","resultStr":null,"platform":"Semanticscholar","paperid":null,"PeriodicalName":"Case Reports in Endocrinology","FirstCategoryId":"1085","ListUrlMain":"https://doi.org/10.1155/crie/1398125","RegionNum":0,"RegionCategory":null,"ArticlePicture":[],"TitleCN":null,"AbstractTextCN":null,"PMCID":null,"EPubDate":"2024/1/1 0:00:00","PubModel":"eCollection","JCR":"Q4","JCRName":"ENDOCRINOLOGY & METABOLISM","Score":null,"Total":0}
引用次数: 0

Abstract

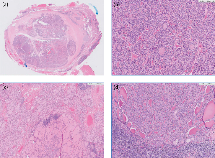
We report a case of a 60-year-old lady with metastatic follicular thyroid carcinoma (FTC) who was presented with thyrotoxicosis and heart failure symptoms after total thyroidectomy. Clinical features and investigations led to the diagnosis of functional metastatic FTC with concomitant thyrotoxicosis. Levothyroxine therapy was stopped, and she was treated with propylthiouracil (PTU) followed by serial radioiodine treatments (RAITs) with good control of thyrotoxicosis and metastases. Despite having a very high disease burden with metastatic FTC, she has been able to maintain her functional status thus far, 4.5 years after initial diagnosis.

Abstract Image

Abstract Image

Abstract Image

功能性转移性滤泡性甲状腺癌并发甲亢的罕见病例
我们报告一例60岁的转移性滤泡性甲状腺癌(FTC)的妇女,在甲状腺全切除术后出现甲状腺毒症和心力衰竭症状。临床特征和调查导致功能性转移性FTC合并甲状腺毒症的诊断。停止左旋甲状腺素治疗,给予丙硫脲嘧啶(PTU)治疗,随后连续放射性碘治疗(RAITs),甲状腺毒症和转移控制良好。尽管患有转移性FTC的疾病负担非常高,但在最初诊断后的4.5年里,她一直能够维持其功能状态。
本文章由计算机程序翻译,如有差异,请以英文原文为准。
求助全文
约1分钟内获得全文 求助全文
来源期刊
Case Reports in Endocrinology
Case Reports in Endocrinology ENDOCRINOLOGY & METABOLISM-
CiteScore
2.10
自引率
0.00%
发文量
45
审稿时长
13 weeks
×
引用
GB/T 7714-2015
复制
MLA
复制
APA
复制
导出至
BibTeX EndNote RefMan NoteFirst NoteExpress
×
提示
您的信息不完整,为了账户安全,请先补充。
现在去补充
×
提示
您因"违规操作"
具体请查看互助需知
我知道了
×
提示
确定
请完成安全验证×
copy
已复制链接
快去分享给好友吧!
我知道了
右上角分享
点击右上角分享
0
联系我们:info@booksci.cn Book学术提供免费学术资源搜索服务,方便国内外学者检索中英文文献。致力于提供最便捷和优质的服务体验。 Copyright © 2023 布克学术 All rights reserved.
京ICP备2023020795号-1
ghs 京公网安备 11010802042870号
Book学术文献互助
Book学术文献互助群
群 号:604180095
Book学术官方微信