Prognostic impact of tumor‑associated stroma in triple-negative breast cancer.

IF 2.9 3区 医学 Q1 OBSTETRICS & GYNECOLOGY
Breast Cancer Pub Date : 2025-03-01 Epub Date: 2024-12-18 DOI:10.1007/s12282-024-01661-8
Akinari Kakumoto, Tsengelmaa Jamiyan, Ai Koyanagi, Hajime Kuroda, Rin Yamaguchi, Hitoshi Tsuda, Akira Hirano, Shunichi Shiozawa
{"title":"Prognostic impact of tumor‑associated stroma in triple-negative breast cancer.","authors":"Akinari Kakumoto, Tsengelmaa Jamiyan, Ai Koyanagi, Hajime Kuroda, Rin Yamaguchi, Hitoshi Tsuda, Akira Hirano, Shunichi Shiozawa","doi":"10.1007/s12282-024-01661-8","DOIUrl":null,"url":null,"abstract":"<p><strong>Aim: </strong>To establish the histological categorization of tumor‑associated stroma (TAS) that reflects the biological behavior of triple-negative breast cancer (TNBC).</p><p><strong>Methods and results: </strong>One-hundred-and-twenty surgically resected cases of TNBC were examined. We histologically categorized the TAS in the invasive frontal region into two groups: mature stroma (MS) and immature stroma (IS). The designation of IS was applied for tumors in which the largest myxoid stroma filled a high-power magnification field. When there were no myxoid stroma that meet the criteria for IS, TAS was categorized as MS. The tumors with type MS were observed in 103 (85.8%) of patients, whereas 17 (14.2%) of patients had tumors with IS. In total, 72 out of 120 patients with TNBC exhibited high tumor-infiltrating lymphocytes (TILs) representing 60% of the cohort. The incidences of high TILs were 66% (68 out of 103) in the MS group but only 23.5% (4 of 17) in the IS group (p = 0.001). Progression-free survival (PFS) and overall survival (OS) curves were different between IS and MS groups (p < 0.001 each), and Cox multivariate regression analysis revealed that IS was an independent indicator for lower PFS and OS rates (p < 0.001; p = 0.008).</p><p><strong>Conclusion: </strong>Our findings suggest that TAS characteristics, particularly the distinction between IS and MS, play a significant role in the prognosis of TNBC. The presence of IS, associated with poor prognosis and low TILs, contrasts with the favorable outcomes observed in cases with MS. Understanding these TAS dynamics could aid in identifying patients with varying prognostic outcomes in TNBC, necessitating further research into the mechanisms behind these observations.</p>","PeriodicalId":56083,"journal":{"name":"Breast Cancer","volume":" ","pages":"347-356"},"PeriodicalIF":2.9000,"publicationDate":"2025-03-01","publicationTypes":"Journal Article","fieldsOfStudy":null,"isOpenAccess":false,"openAccessPdf":"https://www.ncbi.nlm.nih.gov/pmc/articles/PMC11842419/pdf/","citationCount":"0","resultStr":null,"platform":"Semanticscholar","paperid":null,"PeriodicalName":"Breast Cancer","FirstCategoryId":"3","ListUrlMain":"https://doi.org/10.1007/s12282-024-01661-8","RegionNum":3,"RegionCategory":"医学","ArticlePicture":[],"TitleCN":null,"AbstractTextCN":null,"PMCID":null,"EPubDate":"2024/12/18 0:00:00","PubModel":"Epub","JCR":"Q1","JCRName":"OBSTETRICS & GYNECOLOGY","Score":null,"Total":0}
引用次数: 0

Abstract

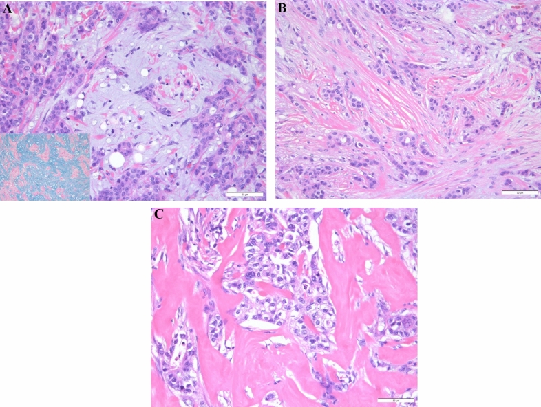
Aim: To establish the histological categorization of tumor‑associated stroma (TAS) that reflects the biological behavior of triple-negative breast cancer (TNBC).

Methods and results: One-hundred-and-twenty surgically resected cases of TNBC were examined. We histologically categorized the TAS in the invasive frontal region into two groups: mature stroma (MS) and immature stroma (IS). The designation of IS was applied for tumors in which the largest myxoid stroma filled a high-power magnification field. When there were no myxoid stroma that meet the criteria for IS, TAS was categorized as MS. The tumors with type MS were observed in 103 (85.8%) of patients, whereas 17 (14.2%) of patients had tumors with IS. In total, 72 out of 120 patients with TNBC exhibited high tumor-infiltrating lymphocytes (TILs) representing 60% of the cohort. The incidences of high TILs were 66% (68 out of 103) in the MS group but only 23.5% (4 of 17) in the IS group (p = 0.001). Progression-free survival (PFS) and overall survival (OS) curves were different between IS and MS groups (p < 0.001 each), and Cox multivariate regression analysis revealed that IS was an independent indicator for lower PFS and OS rates (p < 0.001; p = 0.008).

Conclusion: Our findings suggest that TAS characteristics, particularly the distinction between IS and MS, play a significant role in the prognosis of TNBC. The presence of IS, associated with poor prognosis and low TILs, contrasts with the favorable outcomes observed in cases with MS. Understanding these TAS dynamics could aid in identifying patients with varying prognostic outcomes in TNBC, necessitating further research into the mechanisms behind these observations.

Abstract Image

Abstract Image

Abstract Image

肿瘤相关基质对三阴性乳腺癌预后的影响。
目的:建立反映三阴性乳腺癌(TNBC)生物学行为的肿瘤相关基质(tumor - associated stroma, TAS)组织学分类。方法与结果:对120例手术切除的TNBC进行了回顾性分析。我们在组织学上将侵袭性额叶区的TAS分为两组:成熟基质(MS)和未成熟基质(IS)。IS的命名适用于肿瘤中最大的黏液样基质填充了高倍放大视野。当无符合IS标准的黏液样间质时,TAS被归类为MS。MS型肿瘤103例(85.8%),IS型肿瘤17例(14.2%)。总共,120例TNBC患者中有72例表现出高肿瘤浸润淋巴细胞(til),占队列的60%。MS组高TILs发生率为66%(68 / 103),而IS组仅为23.5% (4 / 17)(p = 0.001)。无进展生存期(PFS)和总生存期(OS)曲线在IS组和MS组之间存在差异(p)。结论:我们的研究结果表明,TAS特征,特别是IS和MS之间的差异,在TNBC的预后中起着重要作用。IS的存在与预后差和低TILs相关,与ms患者的良好预后形成鲜明对比。了解这些TAS动态有助于识别TNBC患者不同的预后结果,需要进一步研究这些观察结果背后的机制。
本文章由计算机程序翻译,如有差异,请以英文原文为准。
求助全文
约1分钟内获得全文 求助全文
来源期刊
Breast Cancer
Breast Cancer ONCOLOGY-OBSTETRICS & GYNECOLOGY
CiteScore
6.70
自引率
2.50%
发文量
105
审稿时长
6-12 weeks
期刊介绍: Breast Cancer, the official journal of the Japanese Breast Cancer Society, publishes articles that contribute to progress in the field, in basic or translational research and also in clinical research, seeking to develop a new focus and new perspectives for all who are concerned with breast cancer. The journal welcomes all original articles describing clinical and epidemiological studies and laboratory investigations regarding breast cancer and related diseases. The journal will consider five types of articles: editorials, review articles, original articles, case reports, and rapid communications. Although editorials and review articles will principally be solicited by the editors, they can also be submitted for peer review, as in the case of original articles. The journal provides the best of up-to-date information on breast cancer, presenting readers with high-impact, original work focusing on pivotal issues.
×
引用
GB/T 7714-2015
复制
MLA
复制
APA
复制
导出至
BibTeX EndNote RefMan NoteFirst NoteExpress
×
提示
您的信息不完整,为了账户安全,请先补充。
现在去补充
×
提示
您因"违规操作"
具体请查看互助需知
我知道了
×
提示
确定
请完成安全验证×
copy
已复制链接
快去分享给好友吧!
我知道了
右上角分享
点击右上角分享
0
联系我们:info@booksci.cn Book学术提供免费学术资源搜索服务,方便国内外学者检索中英文文献。致力于提供最便捷和优质的服务体验。 Copyright © 2023 布克学术 All rights reserved.
京ICP备2023020795号-1
ghs 京公网安备 11010802042870号
Book学术文献互助
Book学术文献互助群
群 号:604180095
Book学术官方微信