Deep sedation in lateral position for preterm infants during cerebral magnetic resonance imaging: a pilot study.

IF 3.1
Fabio Sbaraglia, Simona Gaudino, Eloisa Tiberi, Federica Maiellare, Giorgia Spinazzola, Rossella Garra, Filomena Della Sala, Daniela Maria Micci, Rosellina Russo, Francesca Riitano, Giuseppe Ferrara, Giovanni Vento, Marco Rossi
{"title":"Deep sedation in lateral position for preterm infants during cerebral magnetic resonance imaging: a pilot study.","authors":"Fabio Sbaraglia, Simona Gaudino, Eloisa Tiberi, Federica Maiellare, Giorgia Spinazzola, Rossella Garra, Filomena Della Sala, Daniela Maria Micci, Rosellina Russo, Francesca Riitano, Giuseppe Ferrara, Giovanni Vento, Marco Rossi","doi":"10.1186/s44158-024-00216-9","DOIUrl":null,"url":null,"abstract":"<p><strong>Introduction: </strong>Respiratory adverse events are common during the sedation of preterm babies, often needing active airway support. During magnetic resonance imaging, this occurrence could extend the acquisition time, with a negative impact on the thermic and metabolic homeostasis. The aim of the study is to verify if lying in a lateral position instead of supine could improve the safe quality of sedation, without worsening the quality of imaging.</p><p><strong>Methods: </strong>This study was performed as a single-center, prospective study at a university-affiliated tertiary care center. A consultant provided deep sedation with sevoflurane 3-4% delivered by an external mask, in the lateral decubitus position. All patients were evaluated for the incidence of apnea and desaturation, quality of imaging obtained, the timing of imaging acquisition, and thermic and metabolic homeostasis.</p><p><strong>Results: </strong>We enrolled 23 consecutive preterm babies born < 37 weeks gestational age, candidates for sedation for elective brain magnetic resonance imaging. All patients completed the radiological procedure in 30 min (SD ± 6.39 min) without complications requiring exam interruption. Only one patient (4%) experienced a transient desaturation, while 2 neonates (9%) showed apnea lasting > 20 s. On average, there was a 1 °C decrease in body temperature and full enteral feeding was resumed within 1.5 h. Neuroradiologists rated the quality of the images obtained as high.</p><p><strong>Conclusions: </strong>Lateral lying seems to be a viable option for sedated preterm babies during magnetic resonance imaging with a low risk of intervention for apnea and a reduced impact on thermic and metabolic homeostasis. Quality of imaging would be preserved maintaining correct scheduling of standard care.</p><p><strong>Trial registration: </strong>The study was registered at www.</p><p><strong>Clinicaltrials: </strong>gov before enrollment (NCT05776238 on December, 21th 2023).</p>","PeriodicalId":73597,"journal":{"name":"Journal of Anesthesia, Analgesia and Critical Care (Online)","volume":"4 1","pages":"80"},"PeriodicalIF":3.1000,"publicationDate":"2024-12-18","publicationTypes":"Journal Article","fieldsOfStudy":null,"isOpenAccess":false,"openAccessPdf":"https://www.ncbi.nlm.nih.gov/pmc/articles/PMC11654365/pdf/","citationCount":"0","resultStr":null,"platform":"Semanticscholar","paperid":null,"PeriodicalName":"Journal of Anesthesia, Analgesia and Critical Care (Online)","FirstCategoryId":"1085","ListUrlMain":"https://doi.org/10.1186/s44158-024-00216-9","RegionNum":0,"RegionCategory":null,"ArticlePicture":[],"TitleCN":null,"AbstractTextCN":null,"PMCID":null,"EPubDate":"","PubModel":"","JCR":"","JCRName":"","Score":null,"Total":0}
引用次数: 0

Abstract

Introduction: Respiratory adverse events are common during the sedation of preterm babies, often needing active airway support. During magnetic resonance imaging, this occurrence could extend the acquisition time, with a negative impact on the thermic and metabolic homeostasis. The aim of the study is to verify if lying in a lateral position instead of supine could improve the safe quality of sedation, without worsening the quality of imaging.

Methods: This study was performed as a single-center, prospective study at a university-affiliated tertiary care center. A consultant provided deep sedation with sevoflurane 3-4% delivered by an external mask, in the lateral decubitus position. All patients were evaluated for the incidence of apnea and desaturation, quality of imaging obtained, the timing of imaging acquisition, and thermic and metabolic homeostasis.

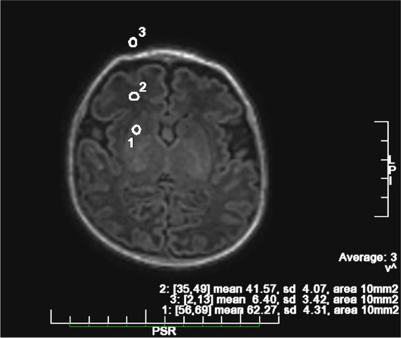
Results: We enrolled 23 consecutive preterm babies born < 37 weeks gestational age, candidates for sedation for elective brain magnetic resonance imaging. All patients completed the radiological procedure in 30 min (SD ± 6.39 min) without complications requiring exam interruption. Only one patient (4%) experienced a transient desaturation, while 2 neonates (9%) showed apnea lasting > 20 s. On average, there was a 1 °C decrease in body temperature and full enteral feeding was resumed within 1.5 h. Neuroradiologists rated the quality of the images obtained as high.

Conclusions: Lateral lying seems to be a viable option for sedated preterm babies during magnetic resonance imaging with a low risk of intervention for apnea and a reduced impact on thermic and metabolic homeostasis. Quality of imaging would be preserved maintaining correct scheduling of standard care.

Trial registration: The study was registered at www.

Clinicaltrials: gov before enrollment (NCT05776238 on December, 21th 2023).

Abstract Image

Abstract Image

Abstract Image

脑磁共振成像期间早产儿侧位深度镇静:一项试点研究。
简介:呼吸不良事件是常见的镇静早产儿,往往需要主动气道支持。在磁共振成像时,这种情况会延长采集时间,对热代谢稳态产生负面影响。该研究的目的是验证侧卧位而不是仰卧位是否可以提高镇静的安全质量,而不会恶化成像质量。方法:本研究是在一所大学附属三级医疗中心进行的单中心前瞻性研究。一名会诊医生在侧卧位上,通过外面罩给予3-4%七氟烷深度镇静。评估所有患者的呼吸暂停和去饱和发生率、获得的成像质量、成像获取时间以及热代谢稳态。结果:我们连续招募了23名20岁出生的早产儿。平均而言,体温下降1°C,并在1.5小时内恢复完全肠内喂养。神经放射学家认为获得的图像质量高。结论:在磁共振成像中,侧卧似乎是镇静早产儿的可行选择,干预呼吸暂停的风险较低,对热代谢稳态的影响较小。成像质量将得到保证,并维持标准护理的正确安排。试验注册:入组前在www.Clinicaltrials: gov注册(NCT05776238, 2023年12月21日)。
本文章由计算机程序翻译,如有差异,请以英文原文为准。
求助全文
约1分钟内获得全文 求助全文
来源期刊
CiteScore
1.40
自引率
0.00%
发文量
0
×
引用
GB/T 7714-2015
复制
MLA
复制
APA
复制
导出至
BibTeX EndNote RefMan NoteFirst NoteExpress
×
提示
您的信息不完整,为了账户安全,请先补充。
现在去补充
×
提示
您因"违规操作"
具体请查看互助需知
我知道了
×
提示
确定
请完成安全验证×
copy
已复制链接
快去分享给好友吧!
我知道了
右上角分享
点击右上角分享
0
联系我们:info@booksci.cn Book学术提供免费学术资源搜索服务,方便国内外学者检索中英文文献。致力于提供最便捷和优质的服务体验。 Copyright © 2023 布克学术 All rights reserved.
京ICP备2023020795号-1
ghs 京公网安备 11010802042870号
Book学术文献互助
Book学术文献互助群
群 号:604180095
Book学术官方微信