Giant Cystic Pneumocytoma in a Young Male: Rare Diagnostic Conundrum with Clinicoradiological and Histopathological Features.

IF 1 Q4 RADIOLOGY, NUCLEAR MEDICINE & MEDICAL IMAGING
Indian Journal of Radiology and Imaging Pub Date : 2024-08-26 eCollection Date: 2025-01-01 DOI:10.1055/s-0044-1789244
Manphool Singhal, Nishita Yadav, Pavithra Subramanian, Harkant Singh, Amanjit Bal, Arun Sharma
{"title":"Giant Cystic Pneumocytoma in a Young Male: Rare Diagnostic Conundrum with Clinicoradiological and Histopathological Features.","authors":"Manphool Singhal, Nishita Yadav, Pavithra Subramanian, Harkant Singh, Amanjit Bal, Arun Sharma","doi":"10.1055/s-0044-1789244","DOIUrl":null,"url":null,"abstract":"<p><p>Pulmonary sclerosing pneumocytoma is a rare benign neoplasm typically seen in middle-aged women. The exact preoperative diagnosis is quite challenging considering its nonspecific clinical and radiologic features along with complex histology. Moreover, obtaining an exact histopathological diagnosis can be difficult especially with the small biopsy specimens. Most patients are generally asymptomatic with incidental detection of peripheral, homogenous, solitary pulmonary nodule. It is essential to differentiate it from other mimickers including malignant lesions as limited surgical resection is curative in these cases without adjuvant therapy. We present a rare giant cystic variant of pneumocytoma, in a young male, which was initially mimicking inflammatory myofibroblastic tumor even on preoperative histology.</p>","PeriodicalId":51597,"journal":{"name":"Indian Journal of Radiology and Imaging","volume":"35 1","pages":"192-195"},"PeriodicalIF":1.0000,"publicationDate":"2024-08-26","publicationTypes":"Journal Article","fieldsOfStudy":null,"isOpenAccess":false,"openAccessPdf":"https://www.ncbi.nlm.nih.gov/pmc/articles/PMC11651875/pdf/","citationCount":"0","resultStr":null,"platform":"Semanticscholar","paperid":null,"PeriodicalName":"Indian Journal of Radiology and Imaging","FirstCategoryId":"1085","ListUrlMain":"https://doi.org/10.1055/s-0044-1789244","RegionNum":0,"RegionCategory":null,"ArticlePicture":[],"TitleCN":null,"AbstractTextCN":null,"PMCID":null,"EPubDate":"2025/1/1 0:00:00","PubModel":"eCollection","JCR":"Q4","JCRName":"RADIOLOGY, NUCLEAR MEDICINE & MEDICAL IMAGING","Score":null,"Total":0}
引用次数: 0

Abstract

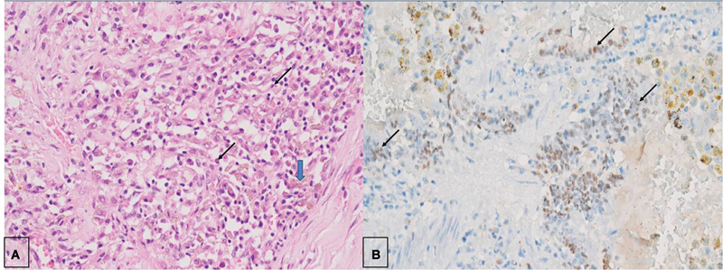
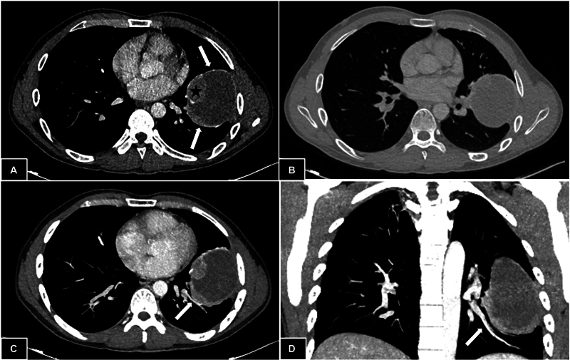
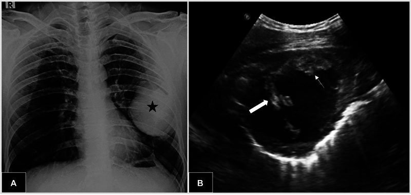
Pulmonary sclerosing pneumocytoma is a rare benign neoplasm typically seen in middle-aged women. The exact preoperative diagnosis is quite challenging considering its nonspecific clinical and radiologic features along with complex histology. Moreover, obtaining an exact histopathological diagnosis can be difficult especially with the small biopsy specimens. Most patients are generally asymptomatic with incidental detection of peripheral, homogenous, solitary pulmonary nodule. It is essential to differentiate it from other mimickers including malignant lesions as limited surgical resection is curative in these cases without adjuvant therapy. We present a rare giant cystic variant of pneumocytoma, in a young male, which was initially mimicking inflammatory myofibroblastic tumor even on preoperative histology.

Abstract Image

Abstract Image

Abstract Image

年轻男性巨囊性肺细胞瘤:罕见的诊断难题,具有临床放射学和组织病理学特征。
肺硬化性肺细胞瘤是一种罕见的良性肿瘤,多见于中年妇女。考虑到其非特异性的临床和放射学特征以及复杂的组织学,准确的术前诊断是非常有挑战性的。此外,获得准确的组织病理学诊断可能是困难的,特别是与小活检标本。大多数患者通常无症状,偶然发现周围,均匀,孤立的肺结节。必须将其与其他类似物(包括恶性病变)区分开来,因为在没有辅助治疗的情况下,有限的手术切除是可以治愈的。我们报告一个罕见的巨大囊性变型肺细胞瘤,在一个年轻的男性,它最初模仿炎性肌纤维母细胞瘤,甚至在术前组织学。
本文章由计算机程序翻译,如有差异,请以英文原文为准。
求助全文
约1分钟内获得全文 求助全文
来源期刊
Indian Journal of Radiology and Imaging
Indian Journal of Radiology and Imaging RADIOLOGY, NUCLEAR MEDICINE & MEDICAL IMAGING-
CiteScore
1.20
自引率
0.00%
发文量
115
审稿时长
45 weeks
期刊介绍: Information not localized
×
引用
GB/T 7714-2015
复制
MLA
复制
APA
复制
导出至
BibTeX EndNote RefMan NoteFirst NoteExpress
×
提示
您的信息不完整,为了账户安全,请先补充。
现在去补充
×
提示
您因"违规操作"
具体请查看互助需知
我知道了
×
提示
确定
请完成安全验证×
copy
已复制链接
快去分享给好友吧!
我知道了
右上角分享
点击右上角分享
0
联系我们:info@booksci.cn Book学术提供免费学术资源搜索服务,方便国内外学者检索中英文文献。致力于提供最便捷和优质的服务体验。 Copyright © 2023 布克学术 All rights reserved.
京ICP备2023020795号-1
ghs 京公网安备 11010802042870号
Book学术文献互助
Book学术文献互助群
群 号:604180095
Book学术官方微信