Comparison of MRI Osteoarthritis Knee Score with Clinico-Radiological Grading.

IF 1 Q4 RADIOLOGY, NUCLEAR MEDICINE & MEDICAL IMAGING
Indian Journal of Radiology and Imaging Pub Date : 2024-08-26 eCollection Date: 2025-01-01 DOI:10.1055/s-0044-1789230
Amul M Halmandge, Rajesh Malik, Radha Sarawagi, Jitendra Sharma
{"title":"Comparison of MRI Osteoarthritis Knee Score with Clinico-Radiological Grading.","authors":"Amul M Halmandge, Rajesh Malik, Radha Sarawagi, Jitendra Sharma","doi":"10.1055/s-0044-1789230","DOIUrl":null,"url":null,"abstract":"<p><p><b>Background</b>  Knee joint osteoarthritis (OA) is among the most prevalent degenerative diseases of the joints in the body. Various scoring system exists for grading OA, such as (1) magnetic resonance imaging (MRI) Osteoarthritis Knee Score (MOAKS), (2) clinical grading by Western Ontario and McMaster Universities Arthritis Index (WOMAC), and (3) X-ray grading of the Kellgren-Lawrence grading system (K-L). <b>Objectives</b>  To study MRI findings and MOAKS scoring of knee OA and correlation with WOMAC and K-L scoring. <b>Setting and Design</b>  Cross-sectional study in hospital population. <b>Materials and Methods</b>  A total 40 knee OA cases underwent an MRI of the knee. MOAKS scoring was done and compared with K-L grading and WOMAC scores. <b>Statistical Analysis</b>  Collected data were compiled systematically and interpreted using IBM SPSS statistics software 25.0. A <i>p</i> -value of less than 0.05 was considered significant. <b>Results</b>  The mean total WOMAC score was 9. K-L grade 2 was the most prevalent X-ray grade. Bone marrow lesion (BML) and cartilage loss in MOAKS score were greater in the medial femorotibial region. A moderate positive correlation was noted between the WOMAC score and K-L grade; full-thickness articular cartilage loss score at the medial femorotibial joint (MFTJ) and WOMAC score; partial-thickness articular cartilage loss score at lateral femorotibial joint (LFTJ) and WOMAC total pain score. No correlation was found between BML and pain severity score. <b>Conclusion</b> Higher WOMAC scores were associated with higher grades of K-L scoring and score of cartilage loss (partial and full thickness) of the MOAKS scoring system. The rest of the features of the MOAKS score (BML score, osteophyte, and synovitis) had no significant association with pain severity and K-L grading.</p>","PeriodicalId":51597,"journal":{"name":"Indian Journal of Radiology and Imaging","volume":"35 1","pages":"73-80"},"PeriodicalIF":1.0000,"publicationDate":"2024-08-26","publicationTypes":"Journal Article","fieldsOfStudy":null,"isOpenAccess":false,"openAccessPdf":"https://www.ncbi.nlm.nih.gov/pmc/articles/PMC11651822/pdf/","citationCount":"0","resultStr":null,"platform":"Semanticscholar","paperid":null,"PeriodicalName":"Indian Journal of Radiology and Imaging","FirstCategoryId":"1085","ListUrlMain":"https://doi.org/10.1055/s-0044-1789230","RegionNum":0,"RegionCategory":null,"ArticlePicture":[],"TitleCN":null,"AbstractTextCN":null,"PMCID":null,"EPubDate":"2025/1/1 0:00:00","PubModel":"eCollection","JCR":"Q4","JCRName":"RADIOLOGY, NUCLEAR MEDICINE & MEDICAL IMAGING","Score":null,"Total":0}
引用次数: 0

Abstract

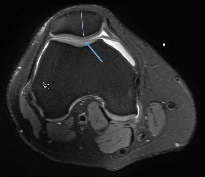
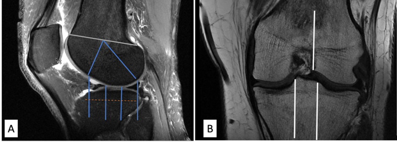
Background  Knee joint osteoarthritis (OA) is among the most prevalent degenerative diseases of the joints in the body. Various scoring system exists for grading OA, such as (1) magnetic resonance imaging (MRI) Osteoarthritis Knee Score (MOAKS), (2) clinical grading by Western Ontario and McMaster Universities Arthritis Index (WOMAC), and (3) X-ray grading of the Kellgren-Lawrence grading system (K-L). Objectives  To study MRI findings and MOAKS scoring of knee OA and correlation with WOMAC and K-L scoring. Setting and Design  Cross-sectional study in hospital population. Materials and Methods  A total 40 knee OA cases underwent an MRI of the knee. MOAKS scoring was done and compared with K-L grading and WOMAC scores. Statistical Analysis  Collected data were compiled systematically and interpreted using IBM SPSS statistics software 25.0. A p -value of less than 0.05 was considered significant. Results  The mean total WOMAC score was 9. K-L grade 2 was the most prevalent X-ray grade. Bone marrow lesion (BML) and cartilage loss in MOAKS score were greater in the medial femorotibial region. A moderate positive correlation was noted between the WOMAC score and K-L grade; full-thickness articular cartilage loss score at the medial femorotibial joint (MFTJ) and WOMAC score; partial-thickness articular cartilage loss score at lateral femorotibial joint (LFTJ) and WOMAC total pain score. No correlation was found between BML and pain severity score. Conclusion Higher WOMAC scores were associated with higher grades of K-L scoring and score of cartilage loss (partial and full thickness) of the MOAKS scoring system. The rest of the features of the MOAKS score (BML score, osteophyte, and synovitis) had no significant association with pain severity and K-L grading.

Abstract Image

Abstract Image

Abstract Image

MRI骨关节炎膝关节评分与临床放射学分级的比较。
膝关节骨性关节炎(OA)是体内最常见的关节退行性疾病之一。骨性关节炎分级存在多种评分系统,如(1)磁共振成像(MRI)骨关节炎膝关节评分(MOAKS),(2)西安大略和麦克马斯特大学关节炎指数(WOMAC)的临床分级,(3)kell格林-劳伦斯分级系统(K-L)的x线分级。目的探讨膝关节骨性关节炎的MRI表现、MOAKS评分及其与WOMAC和K-L评分的相关性。背景与设计:医院人群横断面研究。材料与方法对40例膝关节OA患者进行了膝关节MRI检查。进行MOAKS评分,并将K-L评分与WOMAC评分进行比较。采用IBM SPSS统计软件25.0对收集到的数据进行系统整理和解释。p值小于0.05被认为是显著的。结果平均总WOMAC评分为9分。K-L 2级是最常见的x线分级。MOAKS评分中骨髓病变(BML)和软骨损失在股胫内侧区更大。WOMAC评分与K-L分级呈中度正相关;内侧股胫关节全层关节软骨损失评分(MFTJ)和WOMAC评分;股胫外侧关节软骨部分厚度损失评分及WOMAC总疼痛评分。BML与疼痛严重程度评分无相关性。结论WOMAC评分越高,MOAKS评分系统的K-L评分和软骨损失(部分和全厚度)评分越高。MOAKS评分的其他特征(BML评分、骨赘和滑膜炎)与疼痛严重程度和K-L分级无显著相关性。
本文章由计算机程序翻译,如有差异,请以英文原文为准。
求助全文
约1分钟内获得全文 求助全文
来源期刊
Indian Journal of Radiology and Imaging
Indian Journal of Radiology and Imaging RADIOLOGY, NUCLEAR MEDICINE & MEDICAL IMAGING-
CiteScore
1.20
自引率
0.00%
发文量
115
审稿时长
45 weeks
期刊介绍: Information not localized
×
引用
GB/T 7714-2015
复制
MLA
复制
APA
复制
导出至
BibTeX EndNote RefMan NoteFirst NoteExpress
×
提示
您的信息不完整,为了账户安全,请先补充。
现在去补充
×
提示
您因"违规操作"
具体请查看互助需知
我知道了
×
提示
确定
请完成安全验证×
copy
已复制链接
快去分享给好友吧!
我知道了
右上角分享
点击右上角分享
0
联系我们:info@booksci.cn Book学术提供免费学术资源搜索服务,方便国内外学者检索中英文文献。致力于提供最便捷和优质的服务体验。 Copyright © 2023 布克学术 All rights reserved.
京ICP备2023020795号-1
ghs 京公网安备 11010802042870号
Book学术文献互助
Book学术文献互助群
群 号:604180095
Book学术官方微信