Postoperative femoral head cartilage injury after hip arthroscopic treatment for femoroacetabular impingement syndrome and labral tear.

IF 3.7 2区 医学 Q1 ORTHOPEDICS
Guanying Gao, Yichuan Zhu, Siqi Zhang, Yingfang Ao, Jianquan Wang, Yan Xu
{"title":"Postoperative femoral head cartilage injury after hip arthroscopic treatment for femoroacetabular impingement syndrome and labral tear.","authors":"Guanying Gao, Yichuan Zhu, Siqi Zhang, Yingfang Ao, Jianquan Wang, Yan Xu","doi":"10.1186/s10195-024-00811-0","DOIUrl":null,"url":null,"abstract":"<p><strong>Background: </strong>Postoperative femoral head cartilage injury (FHCI) is a rare condition that can be observed in a certain proportion of patients undergoing hip arthroscopy. However, the prevalence and associated factors of FHCI, and the effect of this condition on clinical outcomes still remain unknown.</p><p><strong>Patients and methods: </strong>Consecutive patients who were diagnosed with femoroacetabular impingement syndrome (FAIS) and labral tear and underwent hip arthroscopic treatment in our institute between July 2020 and July 2021 were retrospectively evaluated. Supine anteroposterior hip radiographs, cross-table lateral radiographs, magnetic resonance imaging (MRI), and computed tomography (CT) were obtained preoperatively. Postoperative MRI, at least 6 months after arthroscopy, was performed. Postoperative FHCI was evaluated by two surgeons through MRI. Preoperative patient-reported outcomes (PROs) including visual analog scale (VAS) for pain, and modified Harris Hip Score (mHHS) before surgery and at final followup were obtained.</p><p><strong>Results: </strong>A total of 196 patients were included. Postoperative FHCI was identified in 21 (10.7%) patients. The intraobserver reliability of the observer A and B for detecting postoperative FHCI using 3.0-T MRI was high (k = 0.929, and k = 0.947, respectively). The interobserver reliability between the two observers for detecting FHCI using 3.0-T MRI was high (k = 0.919). There was no significant difference in preoperative and postoperative mHHS, VAS, and percentage of patients who surpassed minimal clinically important difference (MCID) and achieved patient acceptable symptom state (PASS) between patients with and without postoperative FHCI (P > 0.05).</p><p><strong>Conclusion: </strong>Although postoperative FHCI was observed in 10.7% of patients, which was associated with larger labrum, this condition did not result in inferior clinical outcomes. Level of evidence IV, retrospective case series. Trial registration The Chinese Clinical Trial Registry approved the registration (ChiCTR2200061166). The date of registration is 2022-06-15.</p>","PeriodicalId":48603,"journal":{"name":"Journal of Orthopaedics and Traumatology","volume":"25 1","pages":"64"},"PeriodicalIF":3.7000,"publicationDate":"2024-12-18","publicationTypes":"Journal Article","fieldsOfStudy":null,"isOpenAccess":false,"openAccessPdf":"https://www.ncbi.nlm.nih.gov/pmc/articles/PMC11655738/pdf/","citationCount":"0","resultStr":null,"platform":"Semanticscholar","paperid":null,"PeriodicalName":"Journal of Orthopaedics and Traumatology","FirstCategoryId":"3","ListUrlMain":"https://doi.org/10.1186/s10195-024-00811-0","RegionNum":2,"RegionCategory":"医学","ArticlePicture":[],"TitleCN":null,"AbstractTextCN":null,"PMCID":null,"EPubDate":"","PubModel":"","JCR":"Q1","JCRName":"ORTHOPEDICS","Score":null,"Total":0}
引用次数: 0

Abstract

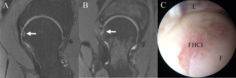
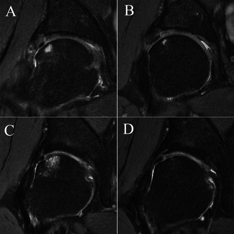
Background: Postoperative femoral head cartilage injury (FHCI) is a rare condition that can be observed in a certain proportion of patients undergoing hip arthroscopy. However, the prevalence and associated factors of FHCI, and the effect of this condition on clinical outcomes still remain unknown.

Patients and methods: Consecutive patients who were diagnosed with femoroacetabular impingement syndrome (FAIS) and labral tear and underwent hip arthroscopic treatment in our institute between July 2020 and July 2021 were retrospectively evaluated. Supine anteroposterior hip radiographs, cross-table lateral radiographs, magnetic resonance imaging (MRI), and computed tomography (CT) were obtained preoperatively. Postoperative MRI, at least 6 months after arthroscopy, was performed. Postoperative FHCI was evaluated by two surgeons through MRI. Preoperative patient-reported outcomes (PROs) including visual analog scale (VAS) for pain, and modified Harris Hip Score (mHHS) before surgery and at final followup were obtained.

Results: A total of 196 patients were included. Postoperative FHCI was identified in 21 (10.7%) patients. The intraobserver reliability of the observer A and B for detecting postoperative FHCI using 3.0-T MRI was high (k = 0.929, and k = 0.947, respectively). The interobserver reliability between the two observers for detecting FHCI using 3.0-T MRI was high (k = 0.919). There was no significant difference in preoperative and postoperative mHHS, VAS, and percentage of patients who surpassed minimal clinically important difference (MCID) and achieved patient acceptable symptom state (PASS) between patients with and without postoperative FHCI (P > 0.05).

Conclusion: Although postoperative FHCI was observed in 10.7% of patients, which was associated with larger labrum, this condition did not result in inferior clinical outcomes. Level of evidence IV, retrospective case series. Trial registration The Chinese Clinical Trial Registry approved the registration (ChiCTR2200061166). The date of registration is 2022-06-15.

Abstract Image

Abstract Image

Abstract Image

髋关节镜治疗股髋臼撞击综合征并发唇裂术后股骨头软骨损伤。
背景:术后股骨头软骨损伤(FHCI)是一种罕见的情况,在一定比例的髋关节镜患者中可以观察到。然而,FHCI的患病率和相关因素,以及这种情况对临床结果的影响仍然未知。患者和方法:回顾性评估2020年7月至2021年7月在我院连续诊断为股髋臼撞击综合征(FAIS)和唇部撕裂并接受髋关节镜治疗的患者。术前进行仰卧位髋关节正位片、跨台侧位片、磁共振成像(MRI)和计算机断层扫描(CT)。术后至少在关节镜检查后6个月进行MRI。术后FHCI由两名外科医生通过MRI评估。术前患者报告的结果(PROs)包括术前和最终随访时疼痛的视觉模拟评分(VAS)和改良Harris髋关节评分(mHHS)。结果:共纳入196例患者。术后21例(10.7%)患者发现FHCI。3.0 t MRI检测术后FHCI时,观察者A和观察者B的观察者内信度较高(k = 0.929, k = 0.947)。3.0 t MRI检测FHCI的观察者间信度较高(k = 0.919)。术后无FHCI患者术前术后mHHS、VAS、超过最小临床重要差异(MCID)及达到患者可接受症状状态(PASS)的患者比例差异无统计学意义(P < 0.05)。结论:虽然10.7%的患者术后出现FHCI,且伴有较大的阴唇,但这种情况并不会导致较差的临床结果。证据水平IV,回顾性病例系列。中国临床试验注册中心批准注册(ChiCTR2200061166)。注册日期为2022-06-15。
本文章由计算机程序翻译,如有差异,请以英文原文为准。
求助全文
约1分钟内获得全文 求助全文
来源期刊
Journal of Orthopaedics and Traumatology
Journal of Orthopaedics and Traumatology Medicine-Orthopedics and Sports Medicine
CiteScore
4.30
自引率
0.00%
发文量
56
审稿时长
13 weeks
期刊介绍: The Journal of Orthopaedics and Traumatology, the official open access peer-reviewed journal of the Italian Society of Orthopaedics and Traumatology, publishes original papers reporting basic or clinical research in the field of orthopaedic and traumatologic surgery, as well as systematic reviews, brief communications, case reports and letters to the Editor. Narrative instructional reviews and commentaries to original articles may be commissioned by Editors from eminent colleagues. The Journal of Orthopaedics and Traumatology aims to be an international forum for the communication and exchange of ideas concerning the various aspects of orthopaedics and musculoskeletal trauma.
×
引用
GB/T 7714-2015
复制
MLA
复制
APA
复制
导出至
BibTeX EndNote RefMan NoteFirst NoteExpress
×
提示
您的信息不完整,为了账户安全,请先补充。
现在去补充
×
提示
您因"违规操作"
具体请查看互助需知
我知道了
×
提示
确定
请完成安全验证×
copy
已复制链接
快去分享给好友吧!
我知道了
右上角分享
点击右上角分享
0
联系我们:info@booksci.cn Book学术提供免费学术资源搜索服务,方便国内外学者检索中英文文献。致力于提供最便捷和优质的服务体验。 Copyright © 2023 布克学术 All rights reserved.
京ICP备2023020795号-1
ghs 京公网安备 11010802042870号
Book学术文献互助
Book学术文献互助群
群 号:604180095
Book学术官方微信