Multifocality in gallbladder cancer: An imaging-based study.

IF 1.7 Q3 GASTROENTEROLOGY & HEPATOLOGY
Clinical and Experimental Hepatology Pub Date : 2024-09-01 Epub Date: 2024-09-30 DOI:10.5114/ceh.2024.143058
A B Pooja, Daneshwari Kalage, Chandra Shekhar Singh Aswal, Thakur Deen Yadav, Lileswar Kaman, Santosh Irrinki, Parikshaa Gupta, Gaurav Prakash, Uma Nahar Saikia, Ritambhra Nada, Usha Dutta, Pankaj Gupta
{"title":"Multifocality in gallbladder cancer: An imaging-based study.","authors":"A B Pooja, Daneshwari Kalage, Chandra Shekhar Singh Aswal, Thakur Deen Yadav, Lileswar Kaman, Santosh Irrinki, Parikshaa Gupta, Gaurav Prakash, Uma Nahar Saikia, Ritambhra Nada, Usha Dutta, Pankaj Gupta","doi":"10.5114/ceh.2024.143058","DOIUrl":null,"url":null,"abstract":"<p><strong>Aim of the study: </strong>Gallbladder cancer (GBC) lesions are usually solitary. The presence of multifocal disease can alter resectability and management. There are no systematic imaging-based studies evaluating multifocality in GBC. Thus, we aimed to evaluate multifocality in GBC based on cross-sectional imaging studies.</p><p><strong>Material and methods: </strong>This retrospective study screened cross-sectional imaging (contrast-enhanced computed tomography [CT] or magnetic resonance imaging [MRI]) of consecutive patients with histopathological or cytological diagnoses of GBC. The CT/MRI images of patients with multifocal disease (defined as the presence of two or more foci of abnormal wall thickening, intraluminal polypoidal lesions or masses in the gallbladder, cystic duct, or the extrahepatic bile ducts with the intervening area of normal gallbladder/extrahepatic bile ducts) were evaluated by two radiologists independently for various imaging findings.</p><p><strong>Results: </strong>Of the 324 patients, 17 (5.2%; 13 females; mean age, 54 ±11 years) had multifocal disease with two sites of involvement in all cases. The most common sites of involvement were the gallbladder fundus and neck region (58.8% of cases), followed by the gallbladder fundus and common bile duct (29.4%). Wall thickening type of GBC was the most common morphological subtype (85.3%), followed by mass forming type (14.7%). The majority (70.6%) of cases showed the same morphology at both sites, while 29.4% showed different morphology. Most (70.6%) of the patients with multifocal GBC were unresectable at the time of diagnosis.</p><p><strong>Conclusions: </strong>Although rare, imaging-based diagnosis of multifocal GBC may allow appropriate management.</p>","PeriodicalId":10281,"journal":{"name":"Clinical and Experimental Hepatology","volume":"10 3","pages":"176-181"},"PeriodicalIF":1.7000,"publicationDate":"2024-09-01","publicationTypes":"Journal Article","fieldsOfStudy":null,"isOpenAccess":false,"openAccessPdf":"https://www.ncbi.nlm.nih.gov/pmc/articles/PMC11650812/pdf/","citationCount":"0","resultStr":null,"platform":"Semanticscholar","paperid":null,"PeriodicalName":"Clinical and Experimental Hepatology","FirstCategoryId":"1085","ListUrlMain":"https://doi.org/10.5114/ceh.2024.143058","RegionNum":0,"RegionCategory":null,"ArticlePicture":[],"TitleCN":null,"AbstractTextCN":null,"PMCID":null,"EPubDate":"2024/9/30 0:00:00","PubModel":"Epub","JCR":"Q3","JCRName":"GASTROENTEROLOGY & HEPATOLOGY","Score":null,"Total":0}
引用次数: 0

Abstract

Aim of the study: Gallbladder cancer (GBC) lesions are usually solitary. The presence of multifocal disease can alter resectability and management. There are no systematic imaging-based studies evaluating multifocality in GBC. Thus, we aimed to evaluate multifocality in GBC based on cross-sectional imaging studies.

Material and methods: This retrospective study screened cross-sectional imaging (contrast-enhanced computed tomography [CT] or magnetic resonance imaging [MRI]) of consecutive patients with histopathological or cytological diagnoses of GBC. The CT/MRI images of patients with multifocal disease (defined as the presence of two or more foci of abnormal wall thickening, intraluminal polypoidal lesions or masses in the gallbladder, cystic duct, or the extrahepatic bile ducts with the intervening area of normal gallbladder/extrahepatic bile ducts) were evaluated by two radiologists independently for various imaging findings.

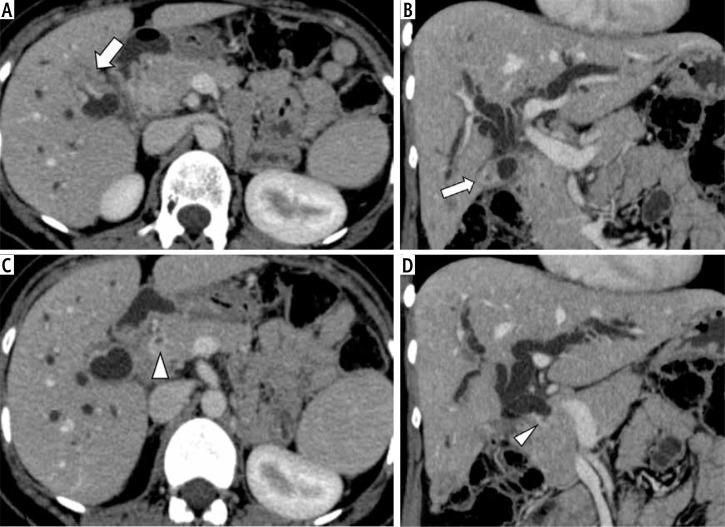
Results: Of the 324 patients, 17 (5.2%; 13 females; mean age, 54 ±11 years) had multifocal disease with two sites of involvement in all cases. The most common sites of involvement were the gallbladder fundus and neck region (58.8% of cases), followed by the gallbladder fundus and common bile duct (29.4%). Wall thickening type of GBC was the most common morphological subtype (85.3%), followed by mass forming type (14.7%). The majority (70.6%) of cases showed the same morphology at both sites, while 29.4% showed different morphology. Most (70.6%) of the patients with multifocal GBC were unresectable at the time of diagnosis.

Conclusions: Although rare, imaging-based diagnosis of multifocal GBC may allow appropriate management.

Abstract Image

胆囊癌的多灶性:一项基于影像学的研究。
研究目的:胆囊癌(GBC)病变通常是孤立的。多灶性疾病的存在会改变可切除性和治疗。目前尚无系统的影像学研究评估GBC的多灶性。因此,我们的目的是评估基于横断面成像研究的GBC的多灶性。材料和方法:本回顾性研究筛选连续的组织病理学或细胞学诊断为GBC的患者的横断面成像(对比增强计算机断层扫描[CT]或磁共振成像[MRI])。多灶性疾病(定义为存在两个或多个异常壁增厚灶,胆囊、胆囊管或肝外胆管内存在息肉样病变或肿块,中间有正常胆囊/肝外胆管)患者的CT/MRI图像由两名放射科医生独立评估各种影像学结果。结果:324例患者中,17例(5.2%;13个女性;平均年龄(54±11岁)为多灶性疾病,所有病例均有两个部位受累。最常见的受累部位为胆囊底及颈部(58.8%),其次为胆囊底及胆总管(29.4%)。GBC最常见的形态亚型为壁增厚型(85.3%),其次为团块形成型(14.7%)。绝大多数(70.6%)病例在两个部位形态相同,29.4%的病例形态不同。大多数(70.6%)多灶性GBC患者在诊断时无法切除。结论:虽然罕见,但基于影像学的多灶性GBC诊断可能允许适当的治疗。
本文章由计算机程序翻译,如有差异,请以英文原文为准。
求助全文
约1分钟内获得全文 求助全文
来源期刊
Clinical and Experimental Hepatology
Clinical and Experimental Hepatology GASTROENTEROLOGY & HEPATOLOGY-
CiteScore
2.80
自引率
0.00%
发文量
32
期刊介绍: Clinical and Experimental Hepatology – quarterly of the Polish Association for Study of Liver – is a scientific and educational, peer-reviewed journal publishing original and review papers describing clinical and basic investigations in the field of hepatology.
×
引用
GB/T 7714-2015
复制
MLA
复制
APA
复制
导出至
BibTeX EndNote RefMan NoteFirst NoteExpress
×
提示
您的信息不完整,为了账户安全,请先补充。
现在去补充
×
提示
您因"违规操作"
具体请查看互助需知
我知道了
×
提示
确定
请完成安全验证×
copy
已复制链接
快去分享给好友吧!
我知道了
右上角分享
点击右上角分享
0
联系我们:info@booksci.cn Book学术提供免费学术资源搜索服务,方便国内外学者检索中英文文献。致力于提供最便捷和优质的服务体验。 Copyright © 2023 布克学术 All rights reserved.
京ICP备2023020795号-1
ghs 京公网安备 11010802042870号
Book学术文献互助
Book学术文献互助群
群 号:604180095
Book学术官方微信