Neonatal death of siblings with Uhl's disease and KCNH2 mutation - A rare association.

IF 0.7 Q4 CARDIAC & CARDIOVASCULAR SYSTEMS
Annals of Pediatric Cardiology Pub Date : 2024-07-01 Epub Date: 2024-11-15 DOI:10.4103/apc.apc_122_24
Francesco Ventura, Rosario Barranco, Francesca Buffelli, Ezio Fulcheri, Domenico Coviello, Antonella Palmieri
{"title":"Neonatal death of siblings with Uhl's disease and KCNH2 mutation - A rare association.","authors":"Francesco Ventura, Rosario Barranco, Francesca Buffelli, Ezio Fulcheri, Domenico Coviello, Antonella Palmieri","doi":"10.4103/apc.apc_122_24","DOIUrl":null,"url":null,"abstract":"<p><p>Uhl's disease is a rare disorder secondary to the uncontrolled destruction of right ventricular myocytes during the perinatal period. We present here the case of a 1-month-old child who died suddenly of Uhl's disease, which was only diagnosed at autopsy and histological examination. From an anamnestic point of view, the child's sister had also died at about 1 month of age from the same pathology. In both cases, genetic tests showed a heterozygous mutation in the KCNH2 gene. The case that we presented is particularly significant as very few familial cases of Uhl disease have been described in the literature, and genetic analyses have been conducted in very few cases. It is possible that the observed mutation played a role in the onset of the disease process. However, further scientific studies with larger case series are needed to confirm our results.</p>","PeriodicalId":8026,"journal":{"name":"Annals of Pediatric Cardiology","volume":"17 4","pages":"292-294"},"PeriodicalIF":0.7000,"publicationDate":"2024-07-01","publicationTypes":"Journal Article","fieldsOfStudy":null,"isOpenAccess":false,"openAccessPdf":"https://www.ncbi.nlm.nih.gov/pmc/articles/PMC11651397/pdf/","citationCount":"0","resultStr":null,"platform":"Semanticscholar","paperid":null,"PeriodicalName":"Annals of Pediatric Cardiology","FirstCategoryId":"1085","ListUrlMain":"https://doi.org/10.4103/apc.apc_122_24","RegionNum":0,"RegionCategory":null,"ArticlePicture":[],"TitleCN":null,"AbstractTextCN":null,"PMCID":null,"EPubDate":"2024/11/15 0:00:00","PubModel":"Epub","JCR":"Q4","JCRName":"CARDIAC & CARDIOVASCULAR SYSTEMS","Score":null,"Total":0}
引用次数: 0

Abstract

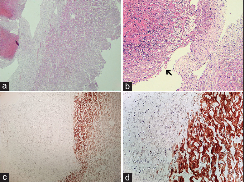
Uhl's disease is a rare disorder secondary to the uncontrolled destruction of right ventricular myocytes during the perinatal period. We present here the case of a 1-month-old child who died suddenly of Uhl's disease, which was only diagnosed at autopsy and histological examination. From an anamnestic point of view, the child's sister had also died at about 1 month of age from the same pathology. In both cases, genetic tests showed a heterozygous mutation in the KCNH2 gene. The case that we presented is particularly significant as very few familial cases of Uhl disease have been described in the literature, and genetic analyses have been conducted in very few cases. It is possible that the observed mutation played a role in the onset of the disease process. However, further scientific studies with larger case series are needed to confirm our results.

Abstract Image

Abstract Image

患有乌尔氏病和KCNH2突变的兄弟姐妹新生儿死亡-一种罕见的关联
乌尔氏病是一种罕见的疾病继发于不受控制的破坏右心室肌细胞在围产期。我们在这里提出一个1个月大的婴儿谁突然死于乌尔病,这是只有在尸检和组织学检查诊断。从失忆症的角度来看,孩子的妹妹也在大约1个月大时死于同样的病理。在这两种情况下,基因测试显示了KCNH2基因的杂合突变。我们提出的这个病例特别重要,因为文献中很少有乌尔病的家族性病例被描述,并且在很少的病例中进行了遗传分析。观察到的突变可能在疾病的发病过程中起了作用。然而,需要进一步的科学研究与更大的病例系列来证实我们的结果。
本文章由计算机程序翻译,如有差异,请以英文原文为准。
求助全文
约1分钟内获得全文 求助全文
来源期刊
Annals of Pediatric Cardiology
Annals of Pediatric Cardiology CARDIAC & CARDIOVASCULAR SYSTEMS-
CiteScore
1.40
自引率
14.30%
发文量
51
审稿时长
23 weeks
×
引用
GB/T 7714-2015
复制
MLA
复制
APA
复制
导出至
BibTeX EndNote RefMan NoteFirst NoteExpress
×
提示
您的信息不完整,为了账户安全,请先补充。
现在去补充
×
提示
您因"违规操作"
具体请查看互助需知
我知道了
×
提示
确定
请完成安全验证×
copy
已复制链接
快去分享给好友吧!
我知道了
右上角分享
点击右上角分享
0
联系我们:info@booksci.cn Book学术提供免费学术资源搜索服务,方便国内外学者检索中英文文献。致力于提供最便捷和优质的服务体验。 Copyright © 2023 布克学术 All rights reserved.
京ICP备2023020795号-1
ghs 京公网安备 11010802042870号
Book学术文献互助
Book学术文献互助群
群 号:604180095
Book学术官方微信