Transcatheter pulmonary valve implantation with custom-made 35-mm Myval™ transcatheter heart valve.

IF 0.7 Q4 CARDIAC & CARDIOVASCULAR SYSTEMS
Annals of Pediatric Cardiology Pub Date : 2024-07-01 Epub Date: 2024-11-15 DOI:10.4103/apc.apc_166_24
Sivasubramanian Ramakrishnan, Nabeel Valappil Faisal, Lamk Kadiyani, Saurabh Kumar Gupta, Muthukumaran Chinnasamy Sivaprakasam
{"title":"Transcatheter pulmonary valve implantation with custom-made 35-mm Myval™ transcatheter heart valve.","authors":"Sivasubramanian Ramakrishnan, Nabeel Valappil Faisal, Lamk Kadiyani, Saurabh Kumar Gupta, Muthukumaran Chinnasamy Sivaprakasam","doi":"10.4103/apc.apc_166_24","DOIUrl":null,"url":null,"abstract":"<p><p>Transcatheter pulmonary valve implantation (TPVI) is the standard of care in patients with repaired tetralogy of Fallot (rTOF) presenting with right ventricular outflow tract (RVOT) dysfunction. However, the feasibility of TPVI is limited by the high cost and nonavailability of larger-sized valves for dilated native RVOT of rTOF patients. We report the first successful TPVI with a custom-made 35 mm balloon-expandable valve (Myval™) in a 30-year-old rTOF patient with severe pulmonary regurgitation and RV dysfunction.</p>","PeriodicalId":8026,"journal":{"name":"Annals of Pediatric Cardiology","volume":"17 4","pages":"281-284"},"PeriodicalIF":0.7000,"publicationDate":"2024-07-01","publicationTypes":"Journal Article","fieldsOfStudy":null,"isOpenAccess":false,"openAccessPdf":"https://www.ncbi.nlm.nih.gov/pmc/articles/PMC11651396/pdf/","citationCount":"0","resultStr":null,"platform":"Semanticscholar","paperid":null,"PeriodicalName":"Annals of Pediatric Cardiology","FirstCategoryId":"1085","ListUrlMain":"https://doi.org/10.4103/apc.apc_166_24","RegionNum":0,"RegionCategory":null,"ArticlePicture":[],"TitleCN":null,"AbstractTextCN":null,"PMCID":null,"EPubDate":"2024/11/15 0:00:00","PubModel":"Epub","JCR":"Q4","JCRName":"CARDIAC & CARDIOVASCULAR SYSTEMS","Score":null,"Total":0}
引用次数: 0

Abstract

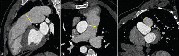
Transcatheter pulmonary valve implantation (TPVI) is the standard of care in patients with repaired tetralogy of Fallot (rTOF) presenting with right ventricular outflow tract (RVOT) dysfunction. However, the feasibility of TPVI is limited by the high cost and nonavailability of larger-sized valves for dilated native RVOT of rTOF patients. We report the first successful TPVI with a custom-made 35 mm balloon-expandable valve (Myval™) in a 30-year-old rTOF patient with severe pulmonary regurgitation and RV dysfunction.

Abstract Image

Abstract Image

Abstract Image

经导管肺动脉瓣植入定制的35毫米Myval™经导管心脏瓣膜。
经导管肺动脉瓣植入术(TPVI)是修复法洛四联症(rTOF)患者出现右心室流出道(RVOT)功能障碍的标准护理。然而,TPVI的可行性受到高成本和无法获得更大尺寸的瓣膜用于扩大的rTOF患者的原生RVOT的限制。我们报道首例使用定制的35mm球囊可膨胀瓣膜(Myval™)成功的TPVI治疗了一位30岁的伴有严重肺反流和右心室功能障碍的rTOF患者。
本文章由计算机程序翻译,如有差异,请以英文原文为准。
求助全文
约1分钟内获得全文 求助全文
来源期刊
Annals of Pediatric Cardiology
Annals of Pediatric Cardiology CARDIAC & CARDIOVASCULAR SYSTEMS-
CiteScore
1.40
自引率
14.30%
发文量
51
审稿时长
23 weeks
×
引用
GB/T 7714-2015
复制
MLA
复制
APA
复制
导出至
BibTeX EndNote RefMan NoteFirst NoteExpress
×
提示
您的信息不完整,为了账户安全,请先补充。
现在去补充
×
提示
您因"违规操作"
具体请查看互助需知
我知道了
×
提示
确定
请完成安全验证×
copy
已复制链接
快去分享给好友吧!
我知道了
右上角分享
点击右上角分享
0
联系我们:info@booksci.cn Book学术提供免费学术资源搜索服务,方便国内外学者检索中英文文献。致力于提供最便捷和优质的服务体验。 Copyright © 2023 布克学术 All rights reserved.
京ICP备2023020795号-1
ghs 京公网安备 11010802042870号
Book学术文献互助
Book学术文献互助群
群 号:604180095
Book学术官方微信