Congenital unicuspid aortic valve in adults: Minireview and case series.

IF 0.7 Q4 CARDIAC & CARDIOVASCULAR SYSTEMS
Annals of Pediatric Cardiology Pub Date : 2024-07-01 Epub Date: 2024-11-15 DOI:10.4103/apc.apc_153_24
Ashraf Mohammed Anwar, Hattan H Alshawkani, Ibrahim Albakri, Saleh J Almatrafi
{"title":"Congenital unicuspid aortic valve in adults: Minireview and case series.","authors":"Ashraf Mohammed Anwar, Hattan H Alshawkani, Ibrahim Albakri, Saleh J Almatrafi","doi":"10.4103/apc.apc_153_24","DOIUrl":null,"url":null,"abstract":"<p><p>A unicuspid aortic valve (UAV) in adults is a very rare form of aortic valve (AV) malformation. UAV has two distinct subtypes, acommissural UAV and unicommissural, and can be differentiated by anatomical features, imaging modalities, and clinical presentation. With the development of significant AV lesion (s), surgical or transcatheter intervention will be required. The first part is a summarized review of UAV (anatomical features, clinical presentation, diagnostic modalities, and management). In the second part, we present a series of four patients diagnosed with UAV (3 unicommissural and 1 acommissural). The first case underwent balloon aortic valvuloplasty during childhood and surgical AV replacement later, with the progression to severe aortic stenosis (AS). The second case underwent a Ross procedure. The third and fourth cases were asymptomatic with moderate AS and mild-to-moderate AR and were kept on follow-up. In all the cases, transesophageal echocardiography confirmed the diagnosis of UAV with detailed morphological and functional assessment of AV.</p>","PeriodicalId":8026,"journal":{"name":"Annals of Pediatric Cardiology","volume":"17 4","pages":"243-249"},"PeriodicalIF":0.7000,"publicationDate":"2024-07-01","publicationTypes":"Journal Article","fieldsOfStudy":null,"isOpenAccess":false,"openAccessPdf":"https://www.ncbi.nlm.nih.gov/pmc/articles/PMC11651412/pdf/","citationCount":"0","resultStr":null,"platform":"Semanticscholar","paperid":null,"PeriodicalName":"Annals of Pediatric Cardiology","FirstCategoryId":"1085","ListUrlMain":"https://doi.org/10.4103/apc.apc_153_24","RegionNum":0,"RegionCategory":null,"ArticlePicture":[],"TitleCN":null,"AbstractTextCN":null,"PMCID":null,"EPubDate":"2024/11/15 0:00:00","PubModel":"Epub","JCR":"Q4","JCRName":"CARDIAC & CARDIOVASCULAR SYSTEMS","Score":null,"Total":0}
引用次数: 0

Abstract

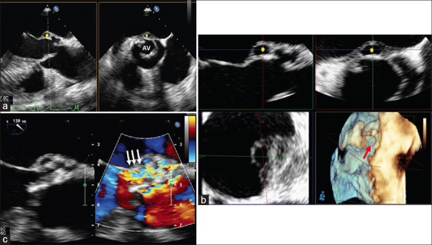
A unicuspid aortic valve (UAV) in adults is a very rare form of aortic valve (AV) malformation. UAV has two distinct subtypes, acommissural UAV and unicommissural, and can be differentiated by anatomical features, imaging modalities, and clinical presentation. With the development of significant AV lesion (s), surgical or transcatheter intervention will be required. The first part is a summarized review of UAV (anatomical features, clinical presentation, diagnostic modalities, and management). In the second part, we present a series of four patients diagnosed with UAV (3 unicommissural and 1 acommissural). The first case underwent balloon aortic valvuloplasty during childhood and surgical AV replacement later, with the progression to severe aortic stenosis (AS). The second case underwent a Ross procedure. The third and fourth cases were asymptomatic with moderate AS and mild-to-moderate AR and were kept on follow-up. In all the cases, transesophageal echocardiography confirmed the diagnosis of UAV with detailed morphological and functional assessment of AV.

Abstract Image

Abstract Image

Abstract Image

成人先天性单尖瓣主动脉瓣:小型回顾和病例系列。
成人单尖瓣主动脉瓣(UAV)是一种非常罕见的主动脉瓣畸形。无人机有两种不同的亚型,无功能无人机和单功能无人机,可以通过解剖特征、成像方式和临床表现来区分。随着重要的房室病变的发展,将需要手术或经导管介入治疗。第一部分是对无人机的综述(解剖特征、临床表现、诊断方式和管理)。在第二部分中,我们介绍了4例被诊断为UAV的患者(3例单纯性和1例兼有性)。第一个病例在儿童时期接受了球囊主动脉瓣成形术,后来手术进行了房室置换术,进展为严重的主动脉瓣狭窄(AS)。第二个病例接受了罗斯手术。第3例和第4例无症状,分别为中度AS和轻至中度AR,并继续随访。经食管超声心动图对所有病例进行了详细的AV形态和功能评估,证实了UAV的诊断。
本文章由计算机程序翻译,如有差异,请以英文原文为准。
求助全文
约1分钟内获得全文 求助全文
来源期刊
Annals of Pediatric Cardiology
Annals of Pediatric Cardiology CARDIAC & CARDIOVASCULAR SYSTEMS-
CiteScore
1.40
自引率
14.30%
发文量
51
审稿时长
23 weeks
×
引用
GB/T 7714-2015
复制
MLA
复制
APA
复制
导出至
BibTeX EndNote RefMan NoteFirst NoteExpress
×
提示
您的信息不完整,为了账户安全,请先补充。
现在去补充
×
提示
您因"违规操作"
具体请查看互助需知
我知道了
×
提示
确定
请完成安全验证×
copy
已复制链接
快去分享给好友吧!
我知道了
右上角分享
点击右上角分享
0
联系我们:info@booksci.cn Book学术提供免费学术资源搜索服务,方便国内外学者检索中英文文献。致力于提供最便捷和优质的服务体验。 Copyright © 2023 布克学术 All rights reserved.
京ICP备2023020795号-1
ghs 京公网安备 11010802042870号
Book学术文献互助
Book学术文献互助群
群 号:604180095
Book学术官方微信