Complete surgical correction of tetralogy of Fallot with Ebstein's anomaly.

IF 0.7 Q4 CARDIAC & CARDIOVASCULAR SYSTEMS
Annals of Pediatric Cardiology Pub Date : 2024-07-01 Epub Date: 2024-11-15 DOI:10.4103/apc.apc_90_24
Zarin S Rangwala, Kaushik Ramachandran, Sunil Sagar, Subin Sukesan, Baiju S Dharan
{"title":"Complete surgical correction of tetralogy of Fallot with Ebstein's anomaly.","authors":"Zarin S Rangwala, Kaushik Ramachandran, Sunil Sagar, Subin Sukesan, Baiju S Dharan","doi":"10.4103/apc.apc_90_24","DOIUrl":null,"url":null,"abstract":"<p><p>Association of Ebstein's anomaly of tricuspid valve (TV) with tetralogy of Fallot (TOF) is extremely rare. Their coexistence is unique as they modify each other's physiology. We report a case of a girl child having this rare combination along with Diamond-Blackfan syndrome awaiting a bone marrow transplant. She underwent intracardiac repair for TOF along with cone reconstruction of the TV, as tricuspid regurgitation of Ebstein's anomaly would worsen with TOF correction alone. Through this surgery, we aimed to achieve a competent pulmonary valve using a transannular patch with a monocusp and adequate relief of the right ventricular tract obstruction, thus preserving the right ventricular function, as both can affect the repaired TV function in the long term. The child had an uneventful postoperative course and is asymptomatic on follow-up.</p>","PeriodicalId":8026,"journal":{"name":"Annals of Pediatric Cardiology","volume":"17 4","pages":"285-287"},"PeriodicalIF":0.7000,"publicationDate":"2024-07-01","publicationTypes":"Journal Article","fieldsOfStudy":null,"isOpenAccess":false,"openAccessPdf":"https://www.ncbi.nlm.nih.gov/pmc/articles/PMC11651403/pdf/","citationCount":"0","resultStr":null,"platform":"Semanticscholar","paperid":null,"PeriodicalName":"Annals of Pediatric Cardiology","FirstCategoryId":"1085","ListUrlMain":"https://doi.org/10.4103/apc.apc_90_24","RegionNum":0,"RegionCategory":null,"ArticlePicture":[],"TitleCN":null,"AbstractTextCN":null,"PMCID":null,"EPubDate":"2024/11/15 0:00:00","PubModel":"Epub","JCR":"Q4","JCRName":"CARDIAC & CARDIOVASCULAR SYSTEMS","Score":null,"Total":0}
引用次数: 0

Abstract

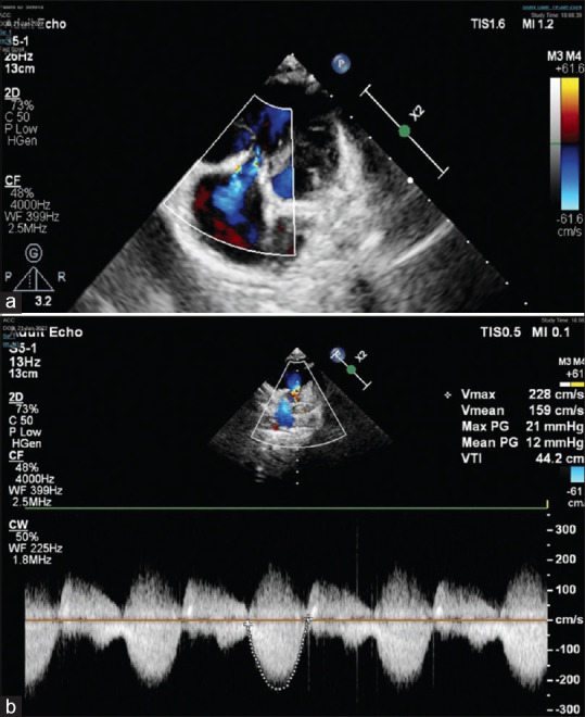
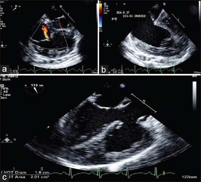
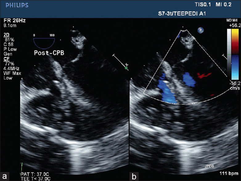
Association of Ebstein's anomaly of tricuspid valve (TV) with tetralogy of Fallot (TOF) is extremely rare. Their coexistence is unique as they modify each other's physiology. We report a case of a girl child having this rare combination along with Diamond-Blackfan syndrome awaiting a bone marrow transplant. She underwent intracardiac repair for TOF along with cone reconstruction of the TV, as tricuspid regurgitation of Ebstein's anomaly would worsen with TOF correction alone. Through this surgery, we aimed to achieve a competent pulmonary valve using a transannular patch with a monocusp and adequate relief of the right ventricular tract obstruction, thus preserving the right ventricular function, as both can affect the repaired TV function in the long term. The child had an uneventful postoperative course and is asymptomatic on follow-up.

Abstract Image

Abstract Image

Abstract Image

法洛四联症合并Ebstein异常的完全手术矫正。
三尖瓣Ebstein异常(TV)与法洛四联症(TOF)的关联是非常罕见的。它们的共存是独特的,因为它们改变了彼此的生理机能。我们报告一个病例的一个女孩有这种罕见的结合连同钻石-布莱克凡综合征等待骨髓移植。由于单纯的TOF矫正会加重Ebstein畸形的三尖瓣反流,她接受了TOF的心内修复术和电视锥体重建术。通过该手术,我们的目标是使用单瓣的经环补片获得一个合格的肺动脉瓣,并充分缓解右心室束阻塞,从而保留右心室功能,因为这两者都会长期影响修复后的TV功能。患儿术后过程平稳,随访无症状。
本文章由计算机程序翻译,如有差异,请以英文原文为准。
求助全文
约1分钟内获得全文 求助全文
来源期刊
Annals of Pediatric Cardiology
Annals of Pediatric Cardiology CARDIAC & CARDIOVASCULAR SYSTEMS-
CiteScore
1.40
自引率
14.30%
发文量
51
审稿时长
23 weeks
×
引用
GB/T 7714-2015
复制
MLA
复制
APA
复制
导出至
BibTeX EndNote RefMan NoteFirst NoteExpress
×
提示
您的信息不完整,为了账户安全,请先补充。
现在去补充
×
提示
您因"违规操作"
具体请查看互助需知
我知道了
×
提示
确定
请完成安全验证×
copy
已复制链接
快去分享给好友吧!
我知道了
右上角分享
点击右上角分享
0
联系我们:info@booksci.cn Book学术提供免费学术资源搜索服务,方便国内外学者检索中英文文献。致力于提供最便捷和优质的服务体验。 Copyright © 2023 布克学术 All rights reserved.
京ICP备2023020795号-1
ghs 京公网安备 11010802042870号
Book学术文献互助
Book学术文献互助群
群 号:604180095
Book学术官方微信