Circumaortic duplicated left brachiocephalic vein in a patient with Tetralogy of Fallot - A rare venous ring.

IF 0.7 Q4 CARDIAC & CARDIOVASCULAR SYSTEMS
Annals of Pediatric Cardiology Pub Date : 2024-07-01 Epub Date: 2024-11-15 DOI:10.4103/apc.apc_50_24
Shantanu Jain, Debasree Gangopadhyay, Mahua Roy, Shubhajit Das, Sukanta Kumar Behera, Areeb Ahmed Khan
{"title":"Circumaortic duplicated left brachiocephalic vein in a patient with Tetralogy of Fallot - A rare venous ring.","authors":"Shantanu Jain, Debasree Gangopadhyay, Mahua Roy, Shubhajit Das, Sukanta Kumar Behera, Areeb Ahmed Khan","doi":"10.4103/apc.apc_50_24","DOIUrl":null,"url":null,"abstract":"<p><p>The left brachiocephalic vein (LBCV) usually passes superior and anterior to the aortic arch. In rare cases, this vein follows an anomalous course. We present a case of duplicated circumaortic LBCV in a 10-year-old child with Tetralogy of Fallot.</p>","PeriodicalId":8026,"journal":{"name":"Annals of Pediatric Cardiology","volume":"17 4","pages":"304-305"},"PeriodicalIF":0.7000,"publicationDate":"2024-07-01","publicationTypes":"Journal Article","fieldsOfStudy":null,"isOpenAccess":false,"openAccessPdf":"https://www.ncbi.nlm.nih.gov/pmc/articles/PMC11651404/pdf/","citationCount":"0","resultStr":null,"platform":"Semanticscholar","paperid":null,"PeriodicalName":"Annals of Pediatric Cardiology","FirstCategoryId":"1085","ListUrlMain":"https://doi.org/10.4103/apc.apc_50_24","RegionNum":0,"RegionCategory":null,"ArticlePicture":[],"TitleCN":null,"AbstractTextCN":null,"PMCID":null,"EPubDate":"2024/11/15 0:00:00","PubModel":"Epub","JCR":"Q4","JCRName":"CARDIAC & CARDIOVASCULAR SYSTEMS","Score":null,"Total":0}
引用次数: 0

Abstract

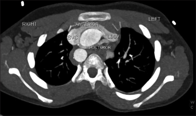
The left brachiocephalic vein (LBCV) usually passes superior and anterior to the aortic arch. In rare cases, this vein follows an anomalous course. We present a case of duplicated circumaortic LBCV in a 10-year-old child with Tetralogy of Fallot.

Abstract Image

Abstract Image

Abstract Image

法洛四联症患者主动脉周围重复左头臂静脉-一个罕见的静脉环。
左头臂静脉(LBCV)通常通过主动脉弓的上部和前部。在罕见的情况下,这条静脉遵循异常的路线。我们提出了一例重复的环主动脉LBCV在一个10岁的孩子与法洛四联症。
本文章由计算机程序翻译,如有差异,请以英文原文为准。
求助全文
约1分钟内获得全文 求助全文
来源期刊
Annals of Pediatric Cardiology
Annals of Pediatric Cardiology CARDIAC & CARDIOVASCULAR SYSTEMS-
CiteScore
1.40
自引率
14.30%
发文量
51
审稿时长
23 weeks
×
引用
GB/T 7714-2015
复制
MLA
复制
APA
复制
导出至
BibTeX EndNote RefMan NoteFirst NoteExpress
×
提示
您的信息不完整,为了账户安全,请先补充。
现在去补充
×
提示
您因"违规操作"
具体请查看互助需知
我知道了
×
提示
确定
请完成安全验证×
copy
已复制链接
快去分享给好友吧!
我知道了
右上角分享
点击右上角分享
0
联系我们:info@booksci.cn Book学术提供免费学术资源搜索服务,方便国内外学者检索中英文文献。致力于提供最便捷和优质的服务体验。 Copyright © 2023 布克学术 All rights reserved.
京ICP备2023020795号-1
ghs 京公网安备 11010802042870号
Book学术文献互助
Book学术文献互助群
群 号:604180095
Book学术官方微信