Dual Chamber Aveir Retrievable Leadless Pacemaker Implant via the Right Internal Jugular Vein in a 13-Year-Old With Congenital Complete Heart Block.

IF 1.3 4区 医学 Q3 CARDIAC & CARDIOVASCULAR SYSTEMS
Pace-Pacing and Clinical Electrophysiology Pub Date : 2025-02-01 Epub Date: 2024-12-18 DOI:10.1111/pace.15129
Daniel Cortez
{"title":"Dual Chamber Aveir Retrievable Leadless Pacemaker Implant via the Right Internal Jugular Vein in a 13-Year-Old With Congenital Complete Heart Block.","authors":"Daniel Cortez","doi":"10.1111/pace.15129","DOIUrl":null,"url":null,"abstract":"<p><strong>Introduction: </strong>Congenital complete heart block is a condition where there is a risk of Stokes Adam's attacks and sudden death may occur. Once the escape rate is too low, or other high-risk factors occur, these patients ultimately need pacemakers placed. Epicardial or transvenous pacemakers have typically been in employed dependent on size of the patient and other circumstances. We describe the first case of an implant via internal jugular vein (right) of a dual chamber leadless pacemaker implant in a symptomatic pediatric patient with congenital complete heart block.</p><p><strong>Methods: </strong>The study was approved by the University of California and consent was waived due to retrospective nature of this case report.</p><p><strong>Case: </strong>A 13-year-old presented with presyncope at rest after years of being followed for her congenital complete heart block. Her average rate on Holter monitoring was below 50 bpm, which coincided with her recent symptoms. After discussion with family, and our own cardiology/surgical team, she had a dual chamber leadless pacemaker implanted. Stable 3-month atrial parameters included an impedance of 340 Ω, sensing of 3.2 mV, and threshold of 0.25 V at 0.2 ms, while ventricular parameters showed an impedance of 780 Ω, sensing of 14.2  mV, and threshold of 0.5 V at 0.2 ms.</p><p><strong>Conclusion: </strong>Dual chamber leadless pacemaker implant is feasible via right internal jugular vein access and in a pediatric patient.</p>","PeriodicalId":54653,"journal":{"name":"Pace-Pacing and Clinical Electrophysiology","volume":" ","pages":"224-226"},"PeriodicalIF":1.3000,"publicationDate":"2025-02-01","publicationTypes":"Journal Article","fieldsOfStudy":null,"isOpenAccess":false,"openAccessPdf":"https://www.ncbi.nlm.nih.gov/pmc/articles/PMC11822081/pdf/","citationCount":"0","resultStr":null,"platform":"Semanticscholar","paperid":null,"PeriodicalName":"Pace-Pacing and Clinical Electrophysiology","FirstCategoryId":"5","ListUrlMain":"https://doi.org/10.1111/pace.15129","RegionNum":4,"RegionCategory":"医学","ArticlePicture":[],"TitleCN":null,"AbstractTextCN":null,"PMCID":null,"EPubDate":"2024/12/18 0:00:00","PubModel":"Epub","JCR":"Q3","JCRName":"CARDIAC & CARDIOVASCULAR SYSTEMS","Score":null,"Total":0}
引用次数: 0

Abstract

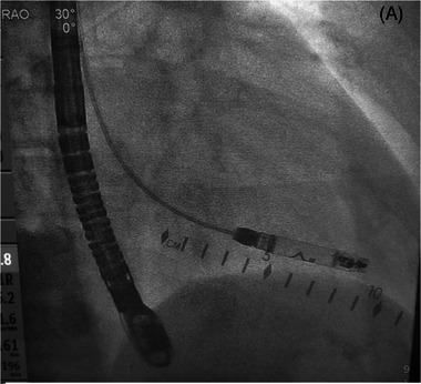
Introduction: Congenital complete heart block is a condition where there is a risk of Stokes Adam's attacks and sudden death may occur. Once the escape rate is too low, or other high-risk factors occur, these patients ultimately need pacemakers placed. Epicardial or transvenous pacemakers have typically been in employed dependent on size of the patient and other circumstances. We describe the first case of an implant via internal jugular vein (right) of a dual chamber leadless pacemaker implant in a symptomatic pediatric patient with congenital complete heart block.

Methods: The study was approved by the University of California and consent was waived due to retrospective nature of this case report.

Case: A 13-year-old presented with presyncope at rest after years of being followed for her congenital complete heart block. Her average rate on Holter monitoring was below 50 bpm, which coincided with her recent symptoms. After discussion with family, and our own cardiology/surgical team, she had a dual chamber leadless pacemaker implanted. Stable 3-month atrial parameters included an impedance of 340 Ω, sensing of 3.2 mV, and threshold of 0.25 V at 0.2 ms, while ventricular parameters showed an impedance of 780 Ω, sensing of 14.2  mV, and threshold of 0.5 V at 0.2 ms.

Conclusion: Dual chamber leadless pacemaker implant is feasible via right internal jugular vein access and in a pediatric patient.

Abstract Image

Abstract Image

Abstract Image

经右颈内静脉植入双腔Aveir可回收无铅起搏器治疗13岁先天性完全性心脏传导阻滞患者。
简介:先天性完全性心脏传导阻滞是一种存在斯托克斯亚当发作和猝死风险的疾病。一旦逃逸率过低,或出现其他高危因素,这些患者最终需要放置起搏器。心外膜起搏器或经静脉起搏器通常根据患者的大小和其他情况而使用。我们描述了第一例通过颈内静脉植入双腔无铅起搏器的病例(右),这是一例有症状的先天性完全性心脏传导阻滞的儿童患者。方法:该研究得到了加州大学的批准,由于该病例报告的回顾性性质而放弃了同意。病例:一名13岁儿童,因先天性完全性心脏传导阻滞接受多年随访后,在休息时出现晕厥前症。她的动态心电图平均心率低于每分钟50次,这与她最近的症状相吻合。在与家人和我们自己的心脏科/外科团队讨论后,她植入了一个双室无铅起搏器。稳定的3个月心房参数阻抗为340 Ω,感应3.2 mV, 0.2 ms时阈值为0.25 V;心室参数阻抗为780 Ω,感应14.2 mV, 0.2 ms时阈值为0.5 V。结论:双室无铅起搏器经右颈内静脉通路植入小儿患者是可行的。
本文章由计算机程序翻译,如有差异,请以英文原文为准。
求助全文
约1分钟内获得全文 求助全文
来源期刊
Pace-Pacing and Clinical Electrophysiology
Pace-Pacing and Clinical Electrophysiology 医学-工程:生物医学
CiteScore
2.70
自引率
5.60%
发文量
209
审稿时长
2-4 weeks
期刊介绍: Pacing and Clinical Electrophysiology (PACE) is the foremost peer-reviewed journal in the field of pacing and implantable cardioversion defibrillation, publishing over 50% of all English language articles in its field, featuring original, review, and didactic papers, and case reports related to daily practice. Articles also include editorials, book reviews, Musings on humane topics relevant to medical practice, electrophysiology (EP) rounds, device rounds, and information concerning the quality of devices used in the practice of the specialty.
×
引用
GB/T 7714-2015
复制
MLA
复制
APA
复制
导出至
BibTeX EndNote RefMan NoteFirst NoteExpress
×
提示
您的信息不完整,为了账户安全,请先补充。
现在去补充
×
提示
您因"违规操作"
具体请查看互助需知
我知道了
×
提示
确定
请完成安全验证×
copy
已复制链接
快去分享给好友吧!
我知道了
右上角分享
点击右上角分享
0
联系我们:info@booksci.cn Book学术提供免费学术资源搜索服务,方便国内外学者检索中英文文献。致力于提供最便捷和优质的服务体验。 Copyright © 2023 布克学术 All rights reserved.
京ICP备2023020795号-1
ghs 京公网安备 11010802042870号
Book学术文献互助
Book学术文献互助群
群 号:604180095
Book学术官方微信