Expression and purification of SARS-CoV-2 receptor binding domain in Escherichia coli for diagnostic and therapeutic purposes.

IF 2.1 Q3 CHEMISTRY, MEDICINAL
Research in Pharmaceutical Sciences Pub Date : 2024-10-22 eCollection Date: 2024-10-01 DOI:10.4103/RPS.RPS_93_23
Hajarossadat Ghaderi, Alireza Shoari, Shima Salehi, Ayda Hassanzadeh Eskafi, Mahdi Habibi-Anbouhi, Reza Ahangari Cohan, Reza Moazzami, Mahdi Behdani
{"title":"Expression and purification of SARS-CoV-2 receptor binding domain in <i>Escherichia coli</i> for diagnostic and therapeutic purposes.","authors":"Hajarossadat Ghaderi, Alireza Shoari, Shima Salehi, Ayda Hassanzadeh Eskafi, Mahdi Habibi-Anbouhi, Reza Ahangari Cohan, Reza Moazzami, Mahdi Behdani","doi":"10.4103/RPS.RPS_93_23","DOIUrl":null,"url":null,"abstract":"<p><strong>Background and purpose: </strong>SARS-CoV-2 causes a severe respiratory disease known as COVID-19 and is responsible for a global viral pandemic. The SARS-CoV-2 receptor binding domain (RBD) is located on the spike protein, which identifies and binds to the angiotensin-converting enzyme 2 (ACE2) receptor. The RBD is an important target for developing virus-neutralizing antibodies, vaccines, and inhibitors.</p><p><strong>Experimental approach: </strong>In this study, recombinant SARS-CoV-2 RBD was expressed in <i>E. coli BL21 (DE3)</i> and purified and its binding activity was determined. Purification was conducted using the Ni-NTA column. ELISA. flow cytometry assays were set to evaluate the binding ability of recombinant RBD to different anti-RBD antibodies and native ACE2 receptors on HEK293A cells, respectively.</p><p><strong>Findings/results: </strong>The SDS-PAGE analysis revealed the corresponding band at 27 kDa in the culture after induction with 0.7 mM IPTG, while the corresponding band was not observed in the culture without IPTG induction. ELISA results showed that antibodies produced in the human sera could bind to the recombinant RBD protein and the commercial anti-RBD antibody. Also, flow cytometry analysis revealed that the recombinant RBD could bind to human ACE2 on the surface of HEK293A cells.</p><p><strong>Conclusion and implication: </strong>Our outcomes displayed that the recombinant RBD expressed in the <i>E. coli</i> strain has biological activity and can be used as an antigen for the development of diagnosis kits and vaccines as well as a tool for screening drugs against SASR-CoV-2.</p>","PeriodicalId":21075,"journal":{"name":"Research in Pharmaceutical Sciences","volume":"19 5","pages":"500-508"},"PeriodicalIF":2.1000,"publicationDate":"2024-10-22","publicationTypes":"Journal Article","fieldsOfStudy":null,"isOpenAccess":false,"openAccessPdf":"https://www.ncbi.nlm.nih.gov/pmc/articles/PMC11648345/pdf/","citationCount":"0","resultStr":null,"platform":"Semanticscholar","paperid":null,"PeriodicalName":"Research in Pharmaceutical Sciences","FirstCategoryId":"1085","ListUrlMain":"https://doi.org/10.4103/RPS.RPS_93_23","RegionNum":0,"RegionCategory":null,"ArticlePicture":[],"TitleCN":null,"AbstractTextCN":null,"PMCID":null,"EPubDate":"2024/10/1 0:00:00","PubModel":"eCollection","JCR":"Q3","JCRName":"CHEMISTRY, MEDICINAL","Score":null,"Total":0}
引用次数: 0

Abstract

Background and purpose: SARS-CoV-2 causes a severe respiratory disease known as COVID-19 and is responsible for a global viral pandemic. The SARS-CoV-2 receptor binding domain (RBD) is located on the spike protein, which identifies and binds to the angiotensin-converting enzyme 2 (ACE2) receptor. The RBD is an important target for developing virus-neutralizing antibodies, vaccines, and inhibitors.

Experimental approach: In this study, recombinant SARS-CoV-2 RBD was expressed in E. coli BL21 (DE3) and purified and its binding activity was determined. Purification was conducted using the Ni-NTA column. ELISA. flow cytometry assays were set to evaluate the binding ability of recombinant RBD to different anti-RBD antibodies and native ACE2 receptors on HEK293A cells, respectively.

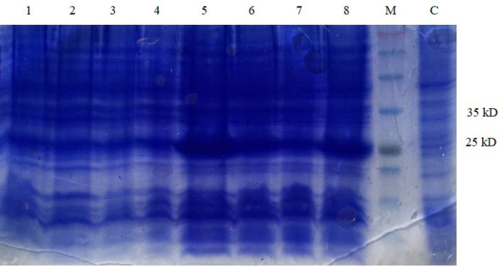
Findings/results: The SDS-PAGE analysis revealed the corresponding band at 27 kDa in the culture after induction with 0.7 mM IPTG, while the corresponding band was not observed in the culture without IPTG induction. ELISA results showed that antibodies produced in the human sera could bind to the recombinant RBD protein and the commercial anti-RBD antibody. Also, flow cytometry analysis revealed that the recombinant RBD could bind to human ACE2 on the surface of HEK293A cells.

Conclusion and implication: Our outcomes displayed that the recombinant RBD expressed in the E. coli strain has biological activity and can be used as an antigen for the development of diagnosis kits and vaccines as well as a tool for screening drugs against SASR-CoV-2.

Abstract Image

Abstract Image

Abstract Image

用于诊断和治疗目的的SARS-CoV-2受体结合域在大肠杆菌中的表达和纯化
背景和目的:SARS-CoV-2引起一种称为COVID-19的严重呼吸道疾病,并导致全球病毒大流行。SARS-CoV-2受体结合域(RBD)位于刺突蛋白上,识别并结合血管紧张素转换酶2 (ACE2)受体。RBD是开发病毒中和抗体、疫苗和抑制剂的重要靶点。实验方法:在大肠杆菌BL21 (DE3)中表达重组SARS-CoV-2 RBD,纯化并测定其结合活性。采用Ni-NTA柱进行纯化。ELISA。采用流式细胞术分别评价重组RBD与HEK293A细胞上不同抗RBD抗体和天然ACE2受体的结合能力。发现/结果:SDS-PAGE分析显示,0.7 mM IPTG诱导后的培养物在27 kDa处有相应的条带,而未诱导IPTG的培养物没有相应的条带。ELISA结果显示,人血清中产生的抗体能与重组RBD蛋白和市售抗RBD抗体结合。流式细胞术分析显示,重组RBD可与HEK293A细胞表面的人ACE2结合。结论与意义:大肠杆菌中表达的重组RBD具有生物活性,可作为SASR-CoV-2诊断试剂盒和疫苗的抗原,也可作为SASR-CoV-2药物筛选的工具。
本文章由计算机程序翻译,如有差异,请以英文原文为准。
求助全文
约1分钟内获得全文 求助全文
来源期刊
Research in Pharmaceutical Sciences
Research in Pharmaceutical Sciences CHEMISTRY, MEDICINAL-
CiteScore
3.60
自引率
19.00%
发文量
50
审稿时长
34 weeks
期刊介绍: Research in Pharmaceutical Sciences (RPS) is included in Thomson Reuters ESCI Web of Science (searchable at WoS master journal list), indexed with PubMed and PubMed Central and abstracted in the Elsevier Bibliographic Databases. Databases include Scopus, EMBASE, EMCare, EMBiology and Elsevier BIOBASE. It is also indexed in several specialized databases including Scientific Information Database (SID), Google Scholar, Iran Medex, Magiran, Index Copernicus (IC) and Islamic World Science Citation Center (ISC).
×
引用
GB/T 7714-2015
复制
MLA
复制
APA
复制
导出至
BibTeX EndNote RefMan NoteFirst NoteExpress
×
提示
您的信息不完整,为了账户安全,请先补充。
现在去补充
×
提示
您因"违规操作"
具体请查看互助需知
我知道了
×
提示
确定
请完成安全验证×
copy
已复制链接
快去分享给好友吧!
我知道了
右上角分享
点击右上角分享
0
联系我们:info@booksci.cn Book学术提供免费学术资源搜索服务,方便国内外学者检索中英文文献。致力于提供最便捷和优质的服务体验。 Copyright © 2023 布克学术 All rights reserved.
京ICP备2023020795号-1
ghs 京公网安备 11010802042870号
Book学术文献互助
Book学术文献互助群
群 号:604180095
Book学术官方微信