Addressing lung truncation in 99mTc-MAA SPECT/CT for 90Y microsphere radioembolization treatment planning.

IF 3.2 2区 医学 Q2 RADIOLOGY, NUCLEAR MEDICINE & MEDICAL IMAGING
M Allan Thomas, Richard Laforest, John Karageorgiou, Dan Giardina, Tyler J Fraum, Chris D Malone, Justin K Mikell
{"title":"Addressing lung truncation in <sup>99m</sup>Tc-MAA SPECT/CT for <sup>90</sup>Y microsphere radioembolization treatment planning.","authors":"M Allan Thomas, Richard Laforest, John Karageorgiou, Dan Giardina, Tyler J Fraum, Chris D Malone, Justin K Mikell","doi":"10.1186/s40658-024-00705-4","DOIUrl":null,"url":null,"abstract":"<p><strong>Background: </strong>Prior studies have established that macroaggregated albumin (MAA)-SPECT/CT offers more robust lung shunt fraction (LSF) and lung mean absorbed dose (LMD) estimates in <sup>90</sup>Y radioembolization in comparison to planar imaging. However, incomplete SPECT/CT coverage of the lungs is common due to clinical workflows, complicating its potential use for LSF and LMD calculations. In this work, lung truncation in MAA-SPECT/CT was addressed via correction strategies to improve <sup>90</sup>Y treatment planning.</p><p><strong>Methods: </strong>Lung truncation was simulated in 56 cases with adequate (> 90%, mean: 98%) lung coverage in MAA-SPECT/CT by removing slices in ~ 5 mm increments from the lung apices to the diaphragm. A wide range of lung coverages from 100% to < 1% in ~ 2% increments were created. LSF and LMD were calculated with four methods. (1) 2D planar imaging standard (not truncated), truncated lung SPECT/CT data was: (2) used with no corrections (SPECT<sub>Trunc</sub>), (3) uniformly extrapolated to full lung coverage (SPECT<sub>Uniform</sub>), (4) fit with an empirical model to predict lung counts at full lung coverage (SPECT<sub>Fit</sub>). To determine counts for LSF, full lung volumes, those modified at the lung/liver boundary (Lungs 2-cm), and those isolated to the left lung (Left Lung) were used. The correction methods were then applied to 31 independent cases without full lung coverage (< 90%, mean: 74%). The variations in LSF and LMD estimates from each correction method were analyzed.</p><p><strong>Results: </strong>Averaged across simulated lung coverages from 40 to 80%, percent errors relative to non-truncated data for SPECT<sub>Trunc</sub> were (mean ± σ) - 22% ± 15% for LSF and 34% ± 29% for LMD. SPECT<sub>Uniform</sub> had similar errors with 29% ± 26% for both LSF and LMD. SPECT<sub>Fit</sub> yielded the most accurate and precise estimates for LSF and LMD, with errors of 11% ± 20% for both. The Left Lung approach equalized LMD errors in all three correction methods, with percent errors of 3% ± 17% (SPECT<sub>Trunc</sub>), 2% ± 17% (SPECT<sub>Uniform</sub>), and 4% ± 13% (SPECT<sub>Fit</sub>). In the 31 cases without ground truth LSF or LMD, Left Lung produced highly comparable LMD estimates, with a mean (max) coefficient of variation across the three correction methods of 4% (20%).</p><p><strong>Conclusion: </strong>LSF and LMD can be estimated for <sup>90</sup>Y radioembolization using truncated lung coverage data in MAA-SPECT/CT. Empirical models to predict lung counts at full lung coverage produced LSF and LMD estimates with minimal bias and uncertainty. With lung/liver boundary adjustments, all SPECT/CT methods assessed in this work yielded LMD estimates comparable to ground truth, even down to 50% lung coverage.</p>","PeriodicalId":11559,"journal":{"name":"EJNMMI Physics","volume":"11 1","pages":"104"},"PeriodicalIF":3.2000,"publicationDate":"2024-12-18","publicationTypes":"Journal Article","fieldsOfStudy":null,"isOpenAccess":false,"openAccessPdf":"https://www.ncbi.nlm.nih.gov/pmc/articles/PMC11655778/pdf/","citationCount":"0","resultStr":null,"platform":"Semanticscholar","paperid":null,"PeriodicalName":"EJNMMI Physics","FirstCategoryId":"3","ListUrlMain":"https://doi.org/10.1186/s40658-024-00705-4","RegionNum":2,"RegionCategory":"医学","ArticlePicture":[],"TitleCN":null,"AbstractTextCN":null,"PMCID":null,"EPubDate":"","PubModel":"","JCR":"Q2","JCRName":"RADIOLOGY, NUCLEAR MEDICINE & MEDICAL IMAGING","Score":null,"Total":0}
引用次数: 0

Abstract

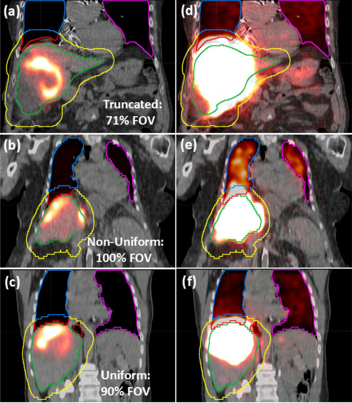
Background: Prior studies have established that macroaggregated albumin (MAA)-SPECT/CT offers more robust lung shunt fraction (LSF) and lung mean absorbed dose (LMD) estimates in 90Y radioembolization in comparison to planar imaging. However, incomplete SPECT/CT coverage of the lungs is common due to clinical workflows, complicating its potential use for LSF and LMD calculations. In this work, lung truncation in MAA-SPECT/CT was addressed via correction strategies to improve 90Y treatment planning.

Methods: Lung truncation was simulated in 56 cases with adequate (> 90%, mean: 98%) lung coverage in MAA-SPECT/CT by removing slices in ~ 5 mm increments from the lung apices to the diaphragm. A wide range of lung coverages from 100% to < 1% in ~ 2% increments were created. LSF and LMD were calculated with four methods. (1) 2D planar imaging standard (not truncated), truncated lung SPECT/CT data was: (2) used with no corrections (SPECTTrunc), (3) uniformly extrapolated to full lung coverage (SPECTUniform), (4) fit with an empirical model to predict lung counts at full lung coverage (SPECTFit). To determine counts for LSF, full lung volumes, those modified at the lung/liver boundary (Lungs 2-cm), and those isolated to the left lung (Left Lung) were used. The correction methods were then applied to 31 independent cases without full lung coverage (< 90%, mean: 74%). The variations in LSF and LMD estimates from each correction method were analyzed.

Results: Averaged across simulated lung coverages from 40 to 80%, percent errors relative to non-truncated data for SPECTTrunc were (mean ± σ) - 22% ± 15% for LSF and 34% ± 29% for LMD. SPECTUniform had similar errors with 29% ± 26% for both LSF and LMD. SPECTFit yielded the most accurate and precise estimates for LSF and LMD, with errors of 11% ± 20% for both. The Left Lung approach equalized LMD errors in all three correction methods, with percent errors of 3% ± 17% (SPECTTrunc), 2% ± 17% (SPECTUniform), and 4% ± 13% (SPECTFit). In the 31 cases without ground truth LSF or LMD, Left Lung produced highly comparable LMD estimates, with a mean (max) coefficient of variation across the three correction methods of 4% (20%).

Conclusion: LSF and LMD can be estimated for 90Y radioembolization using truncated lung coverage data in MAA-SPECT/CT. Empirical models to predict lung counts at full lung coverage produced LSF and LMD estimates with minimal bias and uncertainty. With lung/liver boundary adjustments, all SPECT/CT methods assessed in this work yielded LMD estimates comparable to ground truth, even down to 50% lung coverage.

Abstract Image

Abstract Image

Abstract Image

99mTc-MAA SPECT/CT定位肺截短为90Y微球放射栓塞治疗方案。
背景:先前的研究已经证实,与平面成像相比,大聚合白蛋白(MAA)-SPECT/CT 在 90Y 放射性栓塞中能提供更可靠的肺分流分数(LSF)和肺平均吸收剂量(LMD)估计值。然而,由于临床工作流程的原因,SPECT/CT 对肺部的覆盖不完整的情况很常见,这使其用于计算 LSF 和 LMD 的可能性变得复杂。在这项工作中,通过校正策略解决了 MAA-SPECT/CT 中的肺截断问题,以改善 90Y 治疗规划:方法:在 MAA-SPECT/CT 中对 56 个肺覆盖率足够(> 90%,平均:98%)的病例进行肺截断模拟,方法是从肺尖到膈肌以 ~ 5 mm 的增量移除切片。肺覆盖率范围很广,从 100% 到 Trunc),(3)统一推断为全肺覆盖(SPECTUniform),(4)用经验模型预测全肺覆盖时的肺计数(SPECTFit)。为了确定 LSF 的计数,使用了全肺容积、在肺/肝边界(肺 2 厘米)进行修正的容积以及隔离到左肺(左肺)的容积。然后将校正方法应用于 31 个没有全肺覆盖的独立病例(结果:模拟肺覆盖率从 40% 到 80% 的平均值,SPECTTrunc 相对于非截断数据的百分比误差为(平均值 ± σ):LSF 为 22% ± 15%,LMD 为 34% ± 29%。SPECTUniform 的误差类似,LSF 和 LMD 均为 29% ± 26%。SPECTFit 对 LSF 和 LMD 的估计最为准确和精确,误差均为 11% ± 20%。左肺方法使所有三种校正方法的 LMD 误差相等,误差百分比分别为 3% ± 17% (SPECTTrunc)、2% ± 17% (SPECTUniform) 和 4% ± 13% (SPECTFit)。在 31 个没有基本 LSF 或 LMD 的病例中,Left Lung 得出的 LMD 估计值具有很高的可比性,三种校正方法的平均(最大)变异系数为 4% (20%):结论:使用 MAA-SPECT/CT 中的截断肺覆盖数据可估算出 90Y 放射性栓塞的 LSF 和 LMD。通过经验模型预测全肺覆盖时的肺计数,可得出偏差和不确定性最小的LSF和LMD估计值。在对肺/肝边界进行调整后,这项研究中评估的所有 SPECT/CT 方法都能得出与地面实况相当的 LMD 估计值,即使肺覆盖率低至 50%。
本文章由计算机程序翻译,如有差异,请以英文原文为准。
求助全文
约1分钟内获得全文 求助全文
来源期刊
EJNMMI Physics
EJNMMI Physics Physics and Astronomy-Radiation
CiteScore
6.70
自引率
10.00%
发文量
78
审稿时长
13 weeks
期刊介绍: EJNMMI Physics is an international platform for scientists, users and adopters of nuclear medicine with a particular interest in physics matters. As a companion journal to the European Journal of Nuclear Medicine and Molecular Imaging, this journal has a multi-disciplinary approach and welcomes original materials and studies with a focus on applied physics and mathematics as well as imaging systems engineering and prototyping in nuclear medicine. This includes physics-driven approaches or algorithms supported by physics that foster early clinical adoption of nuclear medicine imaging and therapy.
×
引用
GB/T 7714-2015
复制
MLA
复制
APA
复制
导出至
BibTeX EndNote RefMan NoteFirst NoteExpress
×
提示
您的信息不完整,为了账户安全,请先补充。
现在去补充
×
提示
您因"违规操作"
具体请查看互助需知
我知道了
×
提示
确定
请完成安全验证×
copy
已复制链接
快去分享给好友吧!
我知道了
右上角分享
点击右上角分享
0
联系我们:info@booksci.cn Book学术提供免费学术资源搜索服务,方便国内外学者检索中英文文献。致力于提供最便捷和优质的服务体验。 Copyright © 2023 布克学术 All rights reserved.
京ICP备2023020795号-1
ghs 京公网安备 11010802042870号
Book学术文献互助
Book学术文献互助群
群 号:604180095
Book学术官方微信