Pediatric Blastic Plasmacytoid Dendritic Cell Neoplasm: A Case Report.

IF 1.9 Q3 PATHOLOGY
Clinical Pathology Pub Date : 2024-12-16 eCollection Date: 2024-01-01 DOI:10.1177/2632010X241304564
Jasper X Zheng, Elham Vali Betts, Denis M Dwyre, Jong H Chung, Ananya Datta Mitra
{"title":"Pediatric Blastic Plasmacytoid Dendritic Cell Neoplasm: A Case Report.","authors":"Jasper X Zheng, Elham Vali Betts, Denis M Dwyre, Jong H Chung, Ananya Datta Mitra","doi":"10.1177/2632010X241304564","DOIUrl":null,"url":null,"abstract":"<p><p>Blastic plasmacytoid dendritic cell neoplasm (BPDCN) is a rare and aggressive neoplastic process of precursor plasmacytoid dendritic cells. The diagnostic evaluation of this heterogenous entity is challenging, requiring a comprehensive approach of incorporating clinical, morphologic, immunohistochemical, and molecular/cytogenetic evaluations. Optimal management of BPDCN remains controversial, and clinical outcomes continues to be poor. Pediatric cases of BPDCN are rare and to our knowledge, this is the second case of BPDCN described in a Hispanic child, first one was described outside the US in Peru. Here, we report a case of a juvenile patient of Hispanic origin presenting with cutaneous and bone marrow involvement and initially misdiagnosed as a cutaneous infection that resulted in subsequent delaying of necessary chemotherapy for 2 months. Biopsy of the lesion showed diffuse infiltration of immature cells involving the dermis with classical sparring of epidermis. A huge panel of immunohistochemical stains were performed to reach the diagnosis of BPDCN. Staging bone marrow biopsy also revealed involvement by BPDCN. Treatment was not only delayed in this patient but also due to the rarity of BPDCN in pediatric population, the subsequent therapeutic decisions were challenging for the primary oncology team as it was based solely on published literature on adult population. Our case report will not only add one more case in the pediatric age group, but also will also emphasize that although BPDCN has a grave prognosis in the elderly, timely diagnosis with prompt treatment is the key to complete remission in pediatric BPDCN population.</p>","PeriodicalId":53204,"journal":{"name":"Clinical Pathology","volume":"17 ","pages":"2632010X241304564"},"PeriodicalIF":1.9000,"publicationDate":"2024-12-16","publicationTypes":"Journal Article","fieldsOfStudy":null,"isOpenAccess":false,"openAccessPdf":"https://www.ncbi.nlm.nih.gov/pmc/articles/PMC11648018/pdf/","citationCount":"0","resultStr":null,"platform":"Semanticscholar","paperid":null,"PeriodicalName":"Clinical Pathology","FirstCategoryId":"1085","ListUrlMain":"https://doi.org/10.1177/2632010X241304564","RegionNum":0,"RegionCategory":null,"ArticlePicture":[],"TitleCN":null,"AbstractTextCN":null,"PMCID":null,"EPubDate":"2024/1/1 0:00:00","PubModel":"eCollection","JCR":"Q3","JCRName":"PATHOLOGY","Score":null,"Total":0}
引用次数: 0

Abstract

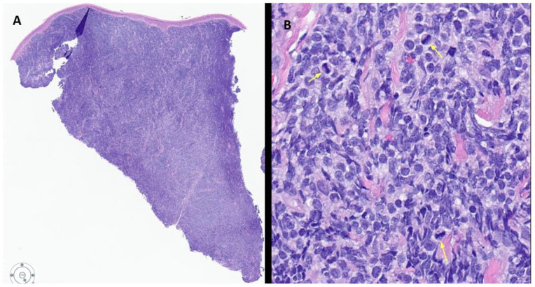
Blastic plasmacytoid dendritic cell neoplasm (BPDCN) is a rare and aggressive neoplastic process of precursor plasmacytoid dendritic cells. The diagnostic evaluation of this heterogenous entity is challenging, requiring a comprehensive approach of incorporating clinical, morphologic, immunohistochemical, and molecular/cytogenetic evaluations. Optimal management of BPDCN remains controversial, and clinical outcomes continues to be poor. Pediatric cases of BPDCN are rare and to our knowledge, this is the second case of BPDCN described in a Hispanic child, first one was described outside the US in Peru. Here, we report a case of a juvenile patient of Hispanic origin presenting with cutaneous and bone marrow involvement and initially misdiagnosed as a cutaneous infection that resulted in subsequent delaying of necessary chemotherapy for 2 months. Biopsy of the lesion showed diffuse infiltration of immature cells involving the dermis with classical sparring of epidermis. A huge panel of immunohistochemical stains were performed to reach the diagnosis of BPDCN. Staging bone marrow biopsy also revealed involvement by BPDCN. Treatment was not only delayed in this patient but also due to the rarity of BPDCN in pediatric population, the subsequent therapeutic decisions were challenging for the primary oncology team as it was based solely on published literature on adult population. Our case report will not only add one more case in the pediatric age group, but also will also emphasize that although BPDCN has a grave prognosis in the elderly, timely diagnosis with prompt treatment is the key to complete remission in pediatric BPDCN population.

Abstract Image

Abstract Image

Abstract Image

小儿成母浆细胞样树突状细胞肿瘤1例报告。
母浆细胞样树突状细胞肿瘤(BPDCN)是一种罕见且侵袭性的前体浆细胞样树突状细胞肿瘤。这种异质性实体的诊断评估具有挑战性,需要综合临床,形态学,免疫组织化学和分子/细胞遗传学评估的综合方法。BPDCN的最佳管理仍然存在争议,临床结果仍然很差。小儿BPDCN病例很少见,据我们所知,这是西班牙裔儿童中第二例BPDCN病例,第一例在美国以外的秘鲁被描述。在这里,我们报告一例西班牙裔的青少年患者,表现为皮肤和骨髓受累,最初误诊为皮肤感染,导致随后延迟2个月的必要化疗。病变活检显示未成熟细胞弥漫性浸润,累及真皮,伴有典型的表皮稀疏。采用大量免疫组化染色对BPDCN进行诊断。骨髓活检分期也显示BPDCN受累。该患者的治疗不仅延迟,而且由于BPDCN在儿科人群中的罕见性,后续的治疗决策对原发肿瘤团队来说是具有挑战性的,因为它完全基于成人人群的已发表文献。我们的病例报告不仅将在儿科年龄组中增加一例病例,而且还将强调,尽管BPDCN在老年人中预后严重,但及时诊断和及时治疗是儿科BPDCN人群完全缓解的关键。
本文章由计算机程序翻译,如有差异,请以英文原文为准。
求助全文
约1分钟内获得全文 求助全文
来源期刊
Clinical Pathology
Clinical Pathology PATHOLOGY-
CiteScore
2.20
自引率
7.70%
发文量
66
×
引用
GB/T 7714-2015
复制
MLA
复制
APA
复制
导出至
BibTeX EndNote RefMan NoteFirst NoteExpress
×
提示
您的信息不完整,为了账户安全,请先补充。
现在去补充
×
提示
您因"违规操作"
具体请查看互助需知
我知道了
×
提示
确定
请完成安全验证×
copy
已复制链接
快去分享给好友吧!
我知道了
右上角分享
点击右上角分享
0
联系我们:info@booksci.cn Book学术提供免费学术资源搜索服务,方便国内外学者检索中英文文献。致力于提供最便捷和优质的服务体验。 Copyright © 2023 布克学术 All rights reserved.
京ICP备2023020795号-1
ghs 京公网安备 11010802042870号
Book学术文献互助
Book学术文献互助群
群 号:604180095
Book学术官方微信