Spatial Distribution Patterns of Pleural Dissemination in Patients With Thymoma and Survival Analysis.

IF 2.1 4区 医学 Q3 RESPIRATORY SYSTEM
Canadian respiratory journal Pub Date : 2024-12-09 eCollection Date: 2024-01-01 DOI:10.1155/carj/4792750
Hao Chang, Gaiyan Li, Dongjie He, Siying Zhu, Yong Jing, Honggang Liu, Junting Li, Peiwen Wu, Qiuju Shao
{"title":"Spatial Distribution Patterns of Pleural Dissemination in Patients With Thymoma and Survival Analysis.","authors":"Hao Chang, Gaiyan Li, Dongjie He, Siying Zhu, Yong Jing, Honggang Liu, Junting Li, Peiwen Wu, Qiuju Shao","doi":"10.1155/carj/4792750","DOIUrl":null,"url":null,"abstract":"<p><p><b>Background:</b> Thymoma is a common malignancy with low incidence, and pleural metastases are common pattern of recurrence. It is necessary that the spatial location of pleural metastatic lesions be analyzed. This study aimed to analyze the spatial distribution patterns of pleural dissemination in patients with thymoma and evaluate the variables that influence the survival of pleural metastasis in this population. <b>Methods:</b> This retrospective study investigated hospital admissions of patients diagnosed with pleural metastasis from thymoma. The spatial distribution pattern and visualization of the pleural metastases were analyzed after establishing a coordinate system. We further analyzed the survival and influencing factors in patients with pleural metastases from thymoma. <b>Results:</b> The analysis included 56 patients with a cumulative count of 365 pleural metastases, with 351 metastases from Zones 1-5 finally included in the analysis. The spatial distribution of the 285 initially diagnosed pleural metastases was significantly concentrated in Zones 3 and 4 near the lateral half of the spine (56.5%), followed by Zone 5 (17.5%). Collectively, these two components accounted for 74.0% (211/285) of all initial metastatic lesions. The survival rates at 5 years for those who underwent surgery versus nonsurgical treatment were 68.3% and 37.1%, respectively (<i>p</i>=0.015). Univariate Cox regression analysis showed that surgical intervention reduced the risk of death by 61%. <b>Conclusions:</b> The distribution of pleural metastatic lesions exhibited a nonuniform pattern, primarily concentrated on the spinal aspect below the aortic arch of the costal pleura and the spinal aspect of the diaphragmatic pleura.</p>","PeriodicalId":9416,"journal":{"name":"Canadian respiratory journal","volume":"2024 ","pages":"4792750"},"PeriodicalIF":2.1000,"publicationDate":"2024-12-09","publicationTypes":"Journal Article","fieldsOfStudy":null,"isOpenAccess":false,"openAccessPdf":"https://www.ncbi.nlm.nih.gov/pmc/articles/PMC11649353/pdf/","citationCount":"0","resultStr":null,"platform":"Semanticscholar","paperid":null,"PeriodicalName":"Canadian respiratory journal","FirstCategoryId":"3","ListUrlMain":"https://doi.org/10.1155/carj/4792750","RegionNum":4,"RegionCategory":"医学","ArticlePicture":[],"TitleCN":null,"AbstractTextCN":null,"PMCID":null,"EPubDate":"2024/1/1 0:00:00","PubModel":"eCollection","JCR":"Q3","JCRName":"RESPIRATORY SYSTEM","Score":null,"Total":0}
引用次数: 0

Abstract

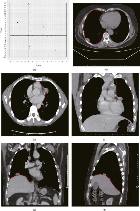
Background: Thymoma is a common malignancy with low incidence, and pleural metastases are common pattern of recurrence. It is necessary that the spatial location of pleural metastatic lesions be analyzed. This study aimed to analyze the spatial distribution patterns of pleural dissemination in patients with thymoma and evaluate the variables that influence the survival of pleural metastasis in this population. Methods: This retrospective study investigated hospital admissions of patients diagnosed with pleural metastasis from thymoma. The spatial distribution pattern and visualization of the pleural metastases were analyzed after establishing a coordinate system. We further analyzed the survival and influencing factors in patients with pleural metastases from thymoma. Results: The analysis included 56 patients with a cumulative count of 365 pleural metastases, with 351 metastases from Zones 1-5 finally included in the analysis. The spatial distribution of the 285 initially diagnosed pleural metastases was significantly concentrated in Zones 3 and 4 near the lateral half of the spine (56.5%), followed by Zone 5 (17.5%). Collectively, these two components accounted for 74.0% (211/285) of all initial metastatic lesions. The survival rates at 5 years for those who underwent surgery versus nonsurgical treatment were 68.3% and 37.1%, respectively (p=0.015). Univariate Cox regression analysis showed that surgical intervention reduced the risk of death by 61%. Conclusions: The distribution of pleural metastatic lesions exhibited a nonuniform pattern, primarily concentrated on the spinal aspect below the aortic arch of the costal pleura and the spinal aspect of the diaphragmatic pleura.

Abstract Image

Abstract Image

Abstract Image

胸腺瘤患者胸膜播散的空间分布规律及生存分析。
背景:胸腺瘤是一种发病率低的常见恶性肿瘤,胸膜转移是常见的复发类型。有必要分析胸膜转移灶的空间位置。本研究旨在分析胸腺瘤患者胸膜播散的空间分布模式,并评估影响该人群胸膜转移生存的变量。方法:回顾性研究诊断为胸腺瘤胸膜转移的住院患者。建立坐标系统,分析胸膜转移瘤的空间分布规律和可视化。我们进一步分析胸腺瘤胸膜转移患者的生存及影响因素。结果:本组共纳入56例患者,累计胸膜转移365例,其中351例转移于1-5区。285例初诊胸膜转移瘤的空间分布明显集中在靠近脊柱外侧半侧的3区和4区(56.5%),其次是5区(17.5%)。总的来说,这两种成分占所有初始转移灶的74.0%(211/285)。手术治疗组与非手术治疗组的5年生存率分别为68.3%和37.1% (p=0.015)。单因素Cox回归分析显示,手术干预可使死亡风险降低61%。结论:胸膜转移病变的分布不均匀,主要集中在肋胸膜主动脉弓下方的脊柱侧和膈胸膜的脊柱侧。
本文章由计算机程序翻译,如有差异,请以英文原文为准。
求助全文
约1分钟内获得全文 求助全文
来源期刊
Canadian respiratory journal
Canadian respiratory journal 医学-呼吸系统
CiteScore
4.20
自引率
0.00%
发文量
61
审稿时长
6-12 weeks
期刊介绍: Canadian Respiratory Journal is a peer-reviewed, Open Access journal that aims to provide a multidisciplinary forum for research in all areas of respiratory medicine. The journal publishes original research articles, review articles, and clinical studies related to asthma, allergy, COPD, non-invasive ventilation, therapeutic intervention, lung cancer, airway and lung infections, as well as any other respiratory diseases.
×
引用
GB/T 7714-2015
复制
MLA
复制
APA
复制
导出至
BibTeX EndNote RefMan NoteFirst NoteExpress
×
提示
您的信息不完整,为了账户安全,请先补充。
现在去补充
×
提示
您因"违规操作"
具体请查看互助需知
我知道了
×
提示
确定
请完成安全验证×
copy
已复制链接
快去分享给好友吧!
我知道了
右上角分享
点击右上角分享
0
联系我们:info@booksci.cn Book学术提供免费学术资源搜索服务,方便国内外学者检索中英文文献。致力于提供最便捷和优质的服务体验。 Copyright © 2023 布克学术 All rights reserved.
京ICP备2023020795号-1
ghs 京公网安备 11010802042870号
Book学术文献互助
Book学术文献互助群
群 号:604180095
Book学术官方微信