Gastric remnant volvulus following gastric sleeve conversion to Roux-en-Y gastric bypass: a case report.

Caroline E Roberts, Meghan R Mansour, Emmanuel M Nageeb, Kevin R Krause
{"title":"Gastric remnant volvulus following gastric sleeve conversion to Roux-en-Y gastric bypass: a case report.","authors":"Caroline E Roberts, Meghan R Mansour, Emmanuel M Nageeb, Kevin R Krause","doi":"10.7602/jmis.2024.27.4.217","DOIUrl":null,"url":null,"abstract":"<p><p>Gastric remnant volvulus following Roux-en-Y gastric bypass (RYGB) surgery is rare, with only two previously reported cases. Herein, we present the first case of gastric remnant volvulus following gastric sleeve conversion to RYGB in a 32-year-old female. Management for gastric remnant volvulus has not been clearly described in the literature due to the rarity of cases; however, previously documented cases of gastric remnant volvulus following RYGB were managed with gastropexy or resection of the gastric remnant. Due to anatomical limitations, gastropexy was not an option for our patient, and the remnant stomach was resected. Although management options are still evolving, surgical intervention is likely indicated for gastric remnant volvulus that develops following RYGB. To improve patient outcomes and establish more comprehensive guidelines for this uncommon condition, further studies on the management of post-RYGB gastric remnant volvulus are warranted since gastric sleeve conversion to RYGB is becoming more prominent.</p>","PeriodicalId":73832,"journal":{"name":"Journal of minimally invasive surgery","volume":"27 4","pages":"217-220"},"PeriodicalIF":0.0000,"publicationDate":"2024-12-15","publicationTypes":"Journal Article","fieldsOfStudy":null,"isOpenAccess":false,"openAccessPdf":"https://www.ncbi.nlm.nih.gov/pmc/articles/PMC11651912/pdf/","citationCount":"0","resultStr":null,"platform":"Semanticscholar","paperid":null,"PeriodicalName":"Journal of minimally invasive surgery","FirstCategoryId":"1085","ListUrlMain":"https://doi.org/10.7602/jmis.2024.27.4.217","RegionNum":0,"RegionCategory":null,"ArticlePicture":[],"TitleCN":null,"AbstractTextCN":null,"PMCID":null,"EPubDate":"","PubModel":"","JCR":"","JCRName":"","Score":null,"Total":0}
引用次数: 0

Abstract

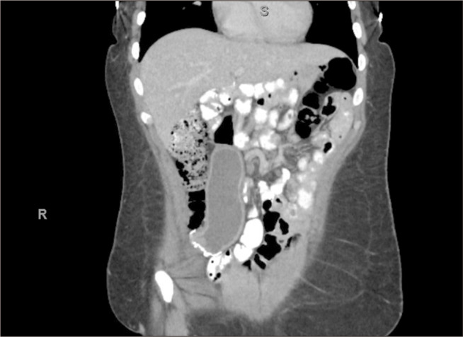
Gastric remnant volvulus following Roux-en-Y gastric bypass (RYGB) surgery is rare, with only two previously reported cases. Herein, we present the first case of gastric remnant volvulus following gastric sleeve conversion to RYGB in a 32-year-old female. Management for gastric remnant volvulus has not been clearly described in the literature due to the rarity of cases; however, previously documented cases of gastric remnant volvulus following RYGB were managed with gastropexy or resection of the gastric remnant. Due to anatomical limitations, gastropexy was not an option for our patient, and the remnant stomach was resected. Although management options are still evolving, surgical intervention is likely indicated for gastric remnant volvulus that develops following RYGB. To improve patient outcomes and establish more comprehensive guidelines for this uncommon condition, further studies on the management of post-RYGB gastric remnant volvulus are warranted since gastric sleeve conversion to RYGB is becoming more prominent.

Abstract Image

胃套管转Roux-en-Y胃旁路术后胃残余扭转1例。
Roux-en-Y胃旁路(RYGB)手术后残胃卷曲非常罕见,此前仅有两例报道。在此,我们介绍了首例胃袖状手术转为 RYGB 术后残胃卷曲的病例,患者是一名 32 岁的女性。由于病例的罕见性,文献中对残胃卷曲的处理方法还没有明确的描述;然而,之前记录的 RYGB 术后残胃卷曲病例均采用胃切除术或残胃切除术进行处理。由于解剖上的限制,我们的患者无法选择胃切除术,只能切除残胃。尽管治疗方案仍在不断发展,但手术治疗很可能适用于 RYGB 后出现的胃残卷。为了改善患者的预后并为这种不常见的情况制定更全面的指南,有必要对 RYGB 术后残胃卷曲的处理进行进一步研究,因为胃袖状切除术转为 RYGB 的情况越来越多。
本文章由计算机程序翻译,如有差异,请以英文原文为准。
求助全文
约1分钟内获得全文 求助全文
来源期刊
自引率
0.00%
发文量
0
×
引用
GB/T 7714-2015
复制
MLA
复制
APA
复制
导出至
BibTeX EndNote RefMan NoteFirst NoteExpress
×
提示
您的信息不完整,为了账户安全,请先补充。
现在去补充
×
提示
您因"违规操作"
具体请查看互助需知
我知道了
×
提示
确定
请完成安全验证×
copy
已复制链接
快去分享给好友吧!
我知道了
右上角分享
点击右上角分享
0
联系我们:info@booksci.cn Book学术提供免费学术资源搜索服务,方便国内外学者检索中英文文献。致力于提供最便捷和优质的服务体验。 Copyright © 2023 布克学术 All rights reserved.
京ICP备2023020795号-1
ghs 京公网安备 11010802042870号
Book学术文献互助
Book学术文献互助群
群 号:604180095
Book学术官方微信