Polysplenia Syndrome and the Development of Heart Failure due to Associated Congenital Heart Defect.

IF 1.3 4区 医学 Q4 RADIOLOGY, NUCLEAR MEDICINE & MEDICAL IMAGING
Journal of the Belgian Society of Radiology Pub Date : 2024-12-13 eCollection Date: 2024-01-01 DOI:10.5334/jbsr.3770
Valerie Van Ballaer, Pieter Meersman, Nico Hustings
{"title":"Polysplenia Syndrome and the Development of Heart Failure due to Associated Congenital Heart Defect.","authors":"Valerie Van Ballaer, Pieter Meersman, Nico Hustings","doi":"10.5334/jbsr.3770","DOIUrl":null,"url":null,"abstract":"<p><p><i>Key message:</i> Patients with polysplenia syndrome can develop pulmonary hypertension and heart failure due to underlying congenital heart disease, underscoring the need for early recognition and intervention to prevent further progression of the condition.</p>","PeriodicalId":55987,"journal":{"name":"Journal of the Belgian Society of Radiology","volume":"108 1","pages":"112"},"PeriodicalIF":1.3000,"publicationDate":"2024-12-13","publicationTypes":"Journal Article","fieldsOfStudy":null,"isOpenAccess":false,"openAccessPdf":"https://www.ncbi.nlm.nih.gov/pmc/articles/PMC11639703/pdf/","citationCount":"0","resultStr":null,"platform":"Semanticscholar","paperid":null,"PeriodicalName":"Journal of the Belgian Society of Radiology","FirstCategoryId":"3","ListUrlMain":"https://doi.org/10.5334/jbsr.3770","RegionNum":4,"RegionCategory":"医学","ArticlePicture":[],"TitleCN":null,"AbstractTextCN":null,"PMCID":null,"EPubDate":"2024/1/1 0:00:00","PubModel":"eCollection","JCR":"Q4","JCRName":"RADIOLOGY, NUCLEAR MEDICINE & MEDICAL IMAGING","Score":null,"Total":0}
引用次数: 0

Abstract

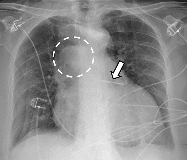
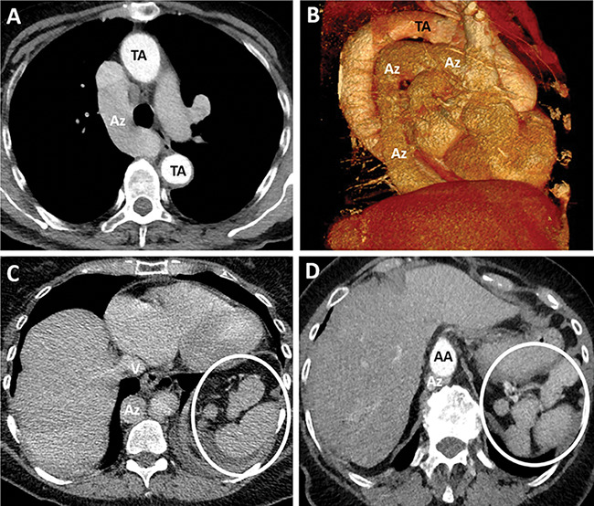
Key message: Patients with polysplenia syndrome can develop pulmonary hypertension and heart failure due to underlying congenital heart disease, underscoring the need for early recognition and intervention to prevent further progression of the condition.

Abstract Image

Abstract Image

Abstract Image

多脾畸形综合征与伴有先天性心脏缺陷导致的心力衰竭的发展。
关键信息:多脾畸形综合征患者会因潜在的先天性心脏病而出现肺动脉高压和心力衰竭,因此需要及早识别和干预,以防止病情进一步恶化。
本文章由计算机程序翻译,如有差异,请以英文原文为准。
求助全文
约1分钟内获得全文 求助全文
来源期刊
Journal of the Belgian Society of Radiology
Journal of the Belgian Society of Radiology Medicine-Radiology, Nuclear Medicine and Imaging
CiteScore
0.70
自引率
5.00%
发文量
96
期刊介绍: The purpose of the Journal of the Belgian Society of Radiology is the publication of articles dealing with diagnostic and interventional radiology, related imaging techniques, allied sciences, and continuing education.
×
引用
GB/T 7714-2015
复制
MLA
复制
APA
复制
导出至
BibTeX EndNote RefMan NoteFirst NoteExpress
×
提示
您的信息不完整,为了账户安全,请先补充。
现在去补充
×
提示
您因"违规操作"
具体请查看互助需知
我知道了
×
提示
确定
请完成安全验证×
copy
已复制链接
快去分享给好友吧!
我知道了
右上角分享
点击右上角分享
0
联系我们:info@booksci.cn Book学术提供免费学术资源搜索服务,方便国内外学者检索中英文文献。致力于提供最便捷和优质的服务体验。 Copyright © 2023 布克学术 All rights reserved.
京ICP备2023020795号-1
ghs 京公网安备 11010802042870号
Book学术文献互助
Book学术文献互助群
群 号:604180095
Book学术官方微信