A Rare and Intriguing Case of Papillary Thyroid Carcinoma with Tumor Thrombus Extending into the Right Ventricle: Documentation with 131 I-NaI-SPECT/CT, MRI, and 18 F-FDG-PET/CT.

IF 0.9 Q4 RADIOLOGY, NUCLEAR MEDICINE & MEDICAL IMAGING
World Journal of Nuclear Medicine Pub Date : 2024-08-05 eCollection Date: 2024-12-01 DOI:10.1055/s-0044-1788737
Parth Baberwal, Ramesh Asopa, Sandip Basu
{"title":"A Rare and Intriguing Case of Papillary Thyroid Carcinoma with Tumor Thrombus Extending into the Right Ventricle: Documentation with <sup>131</sup> I-NaI-SPECT/CT, MRI, and <sup>18</sup> F-FDG-PET/CT.","authors":"Parth Baberwal, Ramesh Asopa, Sandip Basu","doi":"10.1055/s-0044-1788737","DOIUrl":null,"url":null,"abstract":"<p><p>A unique case of papillary carcinoma of the thyroid with an extensive tumor thrombus extending into the right ventricle is presented. The patient was a known case of solid variant of papillary carcinoma of thyroid, post three cycles of radioiodine therapy, had reported for a diagnostic <sup>131</sup> I-NaI scintigraphy as a part of the workup for planning the next <sup>131</sup> I therapy. Clinically, the patient was asymptomatic. <sup>131</sup> I-NaI scintigraphy showed an arcuate pattern concentration of tracer in the upper mediastinum, which descended up to the lower mediastinum. A <sup>131</sup> I-NaI single photon emission computed tomography/computed tomography (SPECT/CT) showed a tracer avid tumor with an extensive tumor thrombus extending from the left brachiocephalic vein to the right ventricle. <sup>18</sup> F-fluorodeoxyglucose positron emission tomography/computed tomography ( <sup>18</sup> F-FDG-PET/CT) and magnetic resonance imaging (MRI) demonstrated similar findings. The patient was decided to be managed with tyrosine kinase inhibitors as surgical intervention was not deemed possible due to the involvement of major vessels and the high risk of bleeding.</p>","PeriodicalId":23742,"journal":{"name":"World Journal of Nuclear Medicine","volume":"23 4","pages":"295-298"},"PeriodicalIF":0.9000,"publicationDate":"2024-08-05","publicationTypes":"Journal Article","fieldsOfStudy":null,"isOpenAccess":false,"openAccessPdf":"https://www.ncbi.nlm.nih.gov/pmc/articles/PMC11637636/pdf/","citationCount":"0","resultStr":null,"platform":"Semanticscholar","paperid":null,"PeriodicalName":"World Journal of Nuclear Medicine","FirstCategoryId":"1085","ListUrlMain":"https://doi.org/10.1055/s-0044-1788737","RegionNum":0,"RegionCategory":null,"ArticlePicture":[],"TitleCN":null,"AbstractTextCN":null,"PMCID":null,"EPubDate":"2024/12/1 0:00:00","PubModel":"eCollection","JCR":"Q4","JCRName":"RADIOLOGY, NUCLEAR MEDICINE & MEDICAL IMAGING","Score":null,"Total":0}
引用次数: 0

Abstract

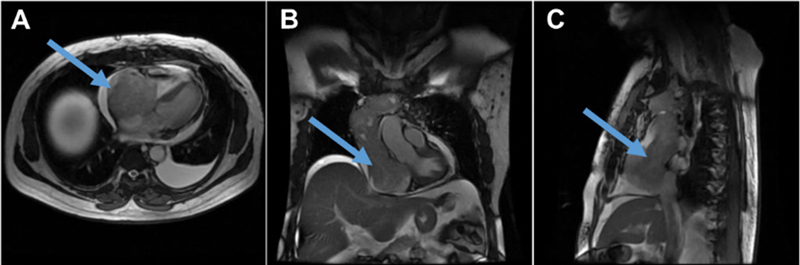
A unique case of papillary carcinoma of the thyroid with an extensive tumor thrombus extending into the right ventricle is presented. The patient was a known case of solid variant of papillary carcinoma of thyroid, post three cycles of radioiodine therapy, had reported for a diagnostic 131 I-NaI scintigraphy as a part of the workup for planning the next 131 I therapy. Clinically, the patient was asymptomatic. 131 I-NaI scintigraphy showed an arcuate pattern concentration of tracer in the upper mediastinum, which descended up to the lower mediastinum. A 131 I-NaI single photon emission computed tomography/computed tomography (SPECT/CT) showed a tracer avid tumor with an extensive tumor thrombus extending from the left brachiocephalic vein to the right ventricle. 18 F-fluorodeoxyglucose positron emission tomography/computed tomography ( 18 F-FDG-PET/CT) and magnetic resonance imaging (MRI) demonstrated similar findings. The patient was decided to be managed with tyrosine kinase inhibitors as surgical intervention was not deemed possible due to the involvement of major vessels and the high risk of bleeding.

Abstract Image

Abstract Image

Abstract Image

一例罕见而有趣的甲状腺乳头状癌伴肿瘤血栓延伸至右心室:131 I-NaI-SPECT/CT、MRI和18 F-FDG-PET/CT的记录。
一个独特的病例乳头状癌的甲状腺与广泛的肿瘤血栓延伸到右心室提出。该患者为甲状腺乳头状癌实性变异型病例,经过三个周期的放射性碘治疗后,曾报告131 - I- nai显像诊断,作为计划下一个131 - I治疗的一部分。临床表现为无症状。131 I-NaI显像示踪剂在上纵隔呈弓形分布,并向下纵隔下降。131 I-NaI单光子发射计算机断层扫描/计算机断层扫描(SPECT/CT)显示示色肿瘤伴广泛的肿瘤血栓,从左头臂静脉延伸至右心室。18f -氟脱氧葡萄糖正电子发射断层扫描/计算机断层扫描(18f - fdg - pet /CT)和磁共振成像(MRI)也显示了类似的结果。由于涉及大血管和出血的高风险,手术干预不可能,因此决定对患者进行酪氨酸激酶抑制剂治疗。
本文章由计算机程序翻译,如有差异,请以英文原文为准。
求助全文
约1分钟内获得全文 求助全文
来源期刊
World Journal of Nuclear Medicine
World Journal of Nuclear Medicine RADIOLOGY, NUCLEAR MEDICINE & MEDICAL IMAGING-
自引率
16.70%
发文量
118
审稿时长
48 weeks
×
引用
GB/T 7714-2015
复制
MLA
复制
APA
复制
导出至
BibTeX EndNote RefMan NoteFirst NoteExpress
×
提示
您的信息不完整,为了账户安全,请先补充。
现在去补充
×
提示
您因"违规操作"
具体请查看互助需知
我知道了
×
提示
确定
请完成安全验证×
copy
已复制链接
快去分享给好友吧!
我知道了
右上角分享
点击右上角分享
0
联系我们:info@booksci.cn Book学术提供免费学术资源搜索服务,方便国内外学者检索中英文文献。致力于提供最便捷和优质的服务体验。 Copyright © 2023 布克学术 All rights reserved.
京ICP备2023020795号-1
ghs 京公网安备 11010802042870号
Book学术文献互助
Book学术文献互助群
群 号:604180095
Book学术官方微信