Torticollis in incomplete Kawasaki disease: a case of atlantoaxial rotatory fixation.

IF 0.5 Q4 RADIOLOGY, NUCLEAR MEDICINE & MEDICAL IMAGING
BJR Case Reports Pub Date : 2024-11-22 eCollection Date: 2024-11-01 DOI:10.1093/bjrcr/uaae044
Keisho Ryu
{"title":"Torticollis in incomplete Kawasaki disease: a case of atlantoaxial rotatory fixation.","authors":"Keisho Ryu","doi":"10.1093/bjrcr/uaae044","DOIUrl":null,"url":null,"abstract":"<p><p>Various respiratory, musculoskeletal, gastrointestinal, neurological, and urinary complications have been reported in Kawasaki disease. Here, we describe a rare case of atlantoaxial rotatory fixation (AARF) associated with incomplete Kawasaki disease. The case is of a healthy 4-year-old Japanese boy who had a high-grade fever, lymphadenopathy, and torticollis diagnosed with incomplete Kawasaki disease. Intravenous high-dose immunoglobulin and oral aspirin quickly resolved his fever and improved his lymphadenopathy, but torticollis remained. On orthopaedic examination, torticollis was observed with a marked restriction of rotation, and an open-mouth anteroposterior cervical radiograph and a CT scan confirmed rotational dislocation at the dens axis (AARF). Cervical collar fixation was immediately started, and the torticollis gradually normalized within a week. AARF is defined as torticollis due to dislocation or subluxation of the atlantoaxial joint. The diagnosis of AARF is difficult with routine plain cervical radiographs in 2 directions alone, and an additional cervical open-mouth anteroposterior radiograph and a CT scan aid the diagnosis. AARF associated with Kawasaki disease is uncommon, and only 24 cases have been reported in the literature. AARF may occur in Kawasaki disease patients with cervical lymphadenopathy. Still, torticollis is often transient and may not be recognized or ignored by family doctors and paediatricians. Reduction of the atlantoaxial joint can often be achieved spontaneously or with conservative treatment such as a collar or neck traction, but treatment is difficult if the diagnosis is delayed. Therefore, family doctors and paediatricians need to suspect the onset of AARF if torticollis is observed during treatment for Kawasaki disease, perform plain cervical radiographs including open-mouth anteroposterior view and a CT scan of the cervical spine, and have orthopaedists immediately intervene to avoid invasive surgery.</p>","PeriodicalId":45216,"journal":{"name":"BJR Case Reports","volume":"10 6","pages":"uaae044"},"PeriodicalIF":0.5000,"publicationDate":"2024-11-22","publicationTypes":"Journal Article","fieldsOfStudy":null,"isOpenAccess":false,"openAccessPdf":"https://www.ncbi.nlm.nih.gov/pmc/articles/PMC11645455/pdf/","citationCount":"0","resultStr":null,"platform":"Semanticscholar","paperid":null,"PeriodicalName":"BJR Case Reports","FirstCategoryId":"1085","ListUrlMain":"https://doi.org/10.1093/bjrcr/uaae044","RegionNum":0,"RegionCategory":null,"ArticlePicture":[],"TitleCN":null,"AbstractTextCN":null,"PMCID":null,"EPubDate":"2024/11/1 0:00:00","PubModel":"eCollection","JCR":"Q4","JCRName":"RADIOLOGY, NUCLEAR MEDICINE & MEDICAL IMAGING","Score":null,"Total":0}
引用次数: 0

Abstract

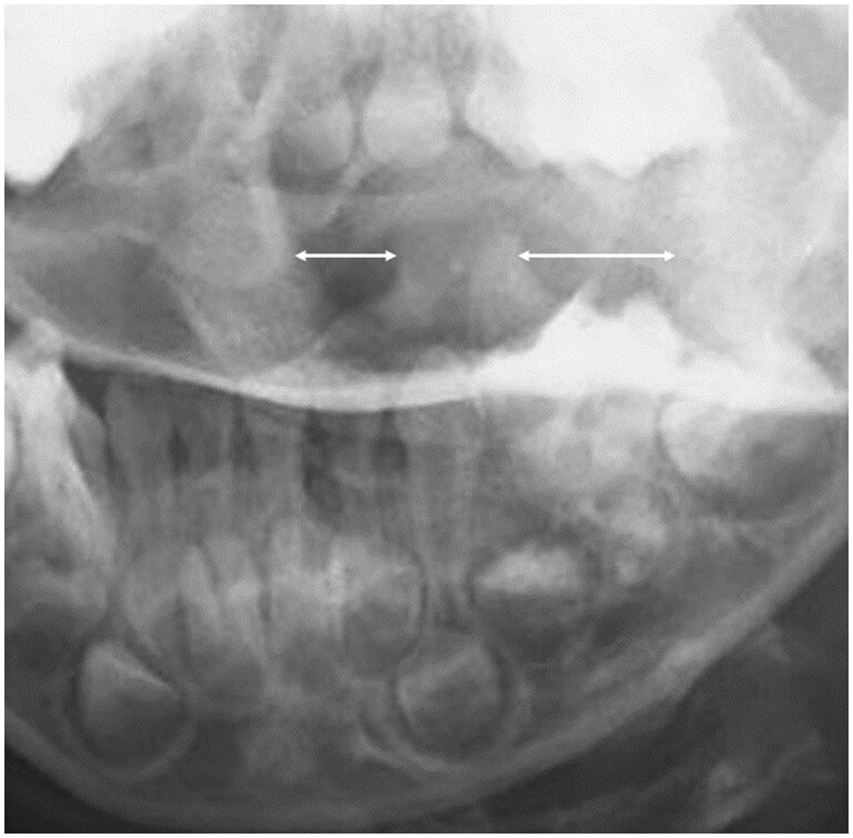
Various respiratory, musculoskeletal, gastrointestinal, neurological, and urinary complications have been reported in Kawasaki disease. Here, we describe a rare case of atlantoaxial rotatory fixation (AARF) associated with incomplete Kawasaki disease. The case is of a healthy 4-year-old Japanese boy who had a high-grade fever, lymphadenopathy, and torticollis diagnosed with incomplete Kawasaki disease. Intravenous high-dose immunoglobulin and oral aspirin quickly resolved his fever and improved his lymphadenopathy, but torticollis remained. On orthopaedic examination, torticollis was observed with a marked restriction of rotation, and an open-mouth anteroposterior cervical radiograph and a CT scan confirmed rotational dislocation at the dens axis (AARF). Cervical collar fixation was immediately started, and the torticollis gradually normalized within a week. AARF is defined as torticollis due to dislocation or subluxation of the atlantoaxial joint. The diagnosis of AARF is difficult with routine plain cervical radiographs in 2 directions alone, and an additional cervical open-mouth anteroposterior radiograph and a CT scan aid the diagnosis. AARF associated with Kawasaki disease is uncommon, and only 24 cases have been reported in the literature. AARF may occur in Kawasaki disease patients with cervical lymphadenopathy. Still, torticollis is often transient and may not be recognized or ignored by family doctors and paediatricians. Reduction of the atlantoaxial joint can often be achieved spontaneously or with conservative treatment such as a collar or neck traction, but treatment is difficult if the diagnosis is delayed. Therefore, family doctors and paediatricians need to suspect the onset of AARF if torticollis is observed during treatment for Kawasaki disease, perform plain cervical radiographs including open-mouth anteroposterior view and a CT scan of the cervical spine, and have orthopaedists immediately intervene to avoid invasive surgery.

Abstract Image

Abstract Image

Abstract Image

不完全川崎病所致斜颈:寰枢椎旋转固定一例。
川崎病有各种呼吸道、肌肉骨骼、胃肠、神经和泌尿系统并发症的报道。在此,我们报告一例罕见的寰枢旋转固定(AARF)合并不完全川崎病。该病例为一名健康的4岁日本男孩,他有高烧、淋巴结病和斜颈,诊断为不完全川崎病。静脉注射大剂量免疫球蛋白和口服阿斯匹林迅速解决了他的发烧和改善他的淋巴结病,但斜颈仍然存在。在骨科检查中,观察到斜颈伴明显的旋转受限,张口颈椎正位片和CT扫描证实齿轴旋转脱位(AARF)。立即开始颈套固定,一周内斜颈逐渐恢复正常。AARF被定义为由于寰枢关节脱位或半脱位引起的斜颈。仅靠常规的两个方向的颈椎平片诊断AARF是困难的,额外的颈椎开口正位x线片和CT扫描有助于诊断。AARF合并川崎病并不常见,文献中仅报道了24例。川崎病合并颈淋巴肿大的患者可能发生AARF。然而,斜颈往往是短暂的,可能不会被家庭医生和儿科医生发现或忽视。寰枢关节复位通常可以自发或通过保守治疗如衣领或颈部牵引来实现,但如果诊断延迟则治疗困难。因此,家庭医生和儿科医生在川崎病治疗过程中如发现斜颈,应怀疑是否为AARF,应进行颈椎平片(包括开口正位片和颈椎CT扫描)检查,并请骨科医生立即介入,避免进行有创性手术。
本文章由计算机程序翻译,如有差异,请以英文原文为准。
求助全文
约1分钟内获得全文 求助全文
来源期刊
BJR Case Reports
BJR Case Reports RADIOLOGY, NUCLEAR MEDICINE & MEDICAL IMAGING-
自引率
0.00%
发文量
77
审稿时长
11 weeks
×
引用
GB/T 7714-2015
复制
MLA
复制
APA
复制
导出至
BibTeX EndNote RefMan NoteFirst NoteExpress
×
提示
您的信息不完整,为了账户安全,请先补充。
现在去补充
×
提示
您因"违规操作"
具体请查看互助需知
我知道了
×
提示
确定
请完成安全验证×
copy
已复制链接
快去分享给好友吧!
我知道了
右上角分享
点击右上角分享
0
联系我们:info@booksci.cn Book学术提供免费学术资源搜索服务,方便国内外学者检索中英文文献。致力于提供最便捷和优质的服务体验。 Copyright © 2023 布克学术 All rights reserved.
京ICP备2023020795号-1
ghs 京公网安备 11010802042870号
Book学术文献互助
Book学术文献互助群
群 号:604180095
Book学术官方微信