CDC73 c.1155-3A>G is a pathogenic variant that causes aberrant splicing, disrupted parafibromin expression, and hyperparathyroidism-jaw tumor syndrome.

IF 2.4 Q2 ENDOCRINOLOGY & METABOLISM
JBMR Plus Pub Date : 2024-11-19 eCollection Date: 2025-01-01 DOI:10.1093/jbmrpl/ziae149
Leor Needleman, Nicolette Chun, Sathvika Sitaraman, Marilyn Tan, Deborah E Sellmeyer, Electron Kebebew, Justin P Annes
{"title":"<i>CDC73</i> c.1155-3A>G is a pathogenic variant that causes aberrant splicing, disrupted parafibromin expression, and hyperparathyroidism-jaw tumor syndrome.","authors":"Leor Needleman, Nicolette Chun, Sathvika Sitaraman, Marilyn Tan, Deborah E Sellmeyer, Electron Kebebew, Justin P Annes","doi":"10.1093/jbmrpl/ziae149","DOIUrl":null,"url":null,"abstract":"<p><p>Germline and somatic pathogenic variants in the <i>CDC73</i> gene, encoding the nuclear protein parafibromin, increase the risk for parathyroid carcinoma and cause hereditary primary hyperparathyroidism (PHPT) syndromes known as familial isolated hyperparathyroidism (FIHP) and hyperparathyroidism-jaw tumor syndrome (HPT-JT). The identification of pathogenic germline variants in PHPT-susceptibility genes can influence surgical planning for parathyroidectomy, guide screening for potential syndromic manifestations, and identify/exonerate at-risk family members. Numerous types of pathogenic germline variants have been described for <i>CDC73</i>-related conditions, including deletion, truncating, missense, and splice site mutations. Here, we report identification of a non-coding germline <i>CDC73</i> variant (<i>CDC73</i> c.1155-3A > G), previously categorized as a variant of uncertain significance (VUS), in a family with HPT-JT. This variant, found in two family members with PHPT, altered <i>CDC73</i> splicing in peripheral blood cells and disrupted parafibromin immunostaining in associated parathyroid adenomas, strongly evidencing its pathogenicity. Sestamibi scintigraphy yielded nondiagnostic localization results for both patients' parathyroid adenomas, consistent with prior studies suggesting lower sensitivity for small or cystic lesions. Our findings demonstrate key aspects of <i>CDC73</i>-related disorders, highlight the diagnostic value of RNA testing, and exemplify the importance of obtaining a thorough, three-generational family history.</p>","PeriodicalId":14611,"journal":{"name":"JBMR Plus","volume":"9 1","pages":"ziae149"},"PeriodicalIF":2.4000,"publicationDate":"2024-11-19","publicationTypes":"Journal Article","fieldsOfStudy":null,"isOpenAccess":false,"openAccessPdf":"https://www.ncbi.nlm.nih.gov/pmc/articles/PMC11646312/pdf/","citationCount":"0","resultStr":null,"platform":"Semanticscholar","paperid":null,"PeriodicalName":"JBMR Plus","FirstCategoryId":"1085","ListUrlMain":"https://doi.org/10.1093/jbmrpl/ziae149","RegionNum":0,"RegionCategory":null,"ArticlePicture":[],"TitleCN":null,"AbstractTextCN":null,"PMCID":null,"EPubDate":"2025/1/1 0:00:00","PubModel":"eCollection","JCR":"Q2","JCRName":"ENDOCRINOLOGY & METABOLISM","Score":null,"Total":0}
引用次数: 0

Abstract

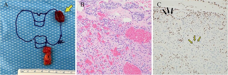
Germline and somatic pathogenic variants in the CDC73 gene, encoding the nuclear protein parafibromin, increase the risk for parathyroid carcinoma and cause hereditary primary hyperparathyroidism (PHPT) syndromes known as familial isolated hyperparathyroidism (FIHP) and hyperparathyroidism-jaw tumor syndrome (HPT-JT). The identification of pathogenic germline variants in PHPT-susceptibility genes can influence surgical planning for parathyroidectomy, guide screening for potential syndromic manifestations, and identify/exonerate at-risk family members. Numerous types of pathogenic germline variants have been described for CDC73-related conditions, including deletion, truncating, missense, and splice site mutations. Here, we report identification of a non-coding germline CDC73 variant (CDC73 c.1155-3A > G), previously categorized as a variant of uncertain significance (VUS), in a family with HPT-JT. This variant, found in two family members with PHPT, altered CDC73 splicing in peripheral blood cells and disrupted parafibromin immunostaining in associated parathyroid adenomas, strongly evidencing its pathogenicity. Sestamibi scintigraphy yielded nondiagnostic localization results for both patients' parathyroid adenomas, consistent with prior studies suggesting lower sensitivity for small or cystic lesions. Our findings demonstrate key aspects of CDC73-related disorders, highlight the diagnostic value of RNA testing, and exemplify the importance of obtaining a thorough, three-generational family history.

Abstract Image

Abstract Image

Abstract Image

CDC73 c.1155-3A>G 是一个致病变体,会导致剪接异常、副纤维蛋白表达紊乱和甲状旁腺功能亢进-颌骨肿瘤综合征。
编码核蛋白副纤维蛋白的CDC73基因中的种系和体细胞致病变体会增加甲状旁腺癌的发病风险,并导致遗传性原发性甲状旁腺功能亢进症(PHPT)综合征,即家族性孤立性甲状旁腺功能亢进症(FIHP)和甲状旁腺功能亢进症-颌骨肿瘤综合征(HPT-JT)。识别PHPT易感基因中的致病性种系变异可影响甲状旁腺切除术的手术方案,指导潜在综合征表现的筛查,并识别/排除高危家族成员。CDC73 相关疾病的致病性种系变异类型众多,包括缺失、截断、错义和剪接位点突变。在此,我们报告在一个 HPT-JT 家族中发现了一个非编码的 CDC73 种系变异(CDC73 c.1155-3A > G),该变异以前被归类为意义不确定的变异(VUS)。在两个患有 PHPT 的家族成员中发现的这一变异体改变了外周血细胞中 CDC73 的剪接,破坏了相关甲状旁腺腺瘤中的副纤维蛋白免疫染色,有力地证明了其致病性。对这两名患者的甲状旁腺腺瘤进行雌嘧啶闪烁扫描的结果均为非诊断性定位,这与之前的研究结果一致,即对小病灶或囊性病变的敏感性较低。我们的研究结果表明了 CDC73 相关疾病的关键方面,突出了 RNA 检测的诊断价值,并说明了全面了解三代家族史的重要性。
本文章由计算机程序翻译,如有差异,请以英文原文为准。
求助全文
约1分钟内获得全文 求助全文
来源期刊
JBMR Plus
JBMR Plus Medicine-Orthopedics and Sports Medicine
CiteScore
5.80
自引率
2.60%
发文量
103
审稿时长
8 weeks
×
引用
GB/T 7714-2015
复制
MLA
复制
APA
复制
导出至
BibTeX EndNote RefMan NoteFirst NoteExpress
×
提示
您的信息不完整,为了账户安全,请先补充。
现在去补充
×
提示
您因"违规操作"
具体请查看互助需知
我知道了
×
提示
确定
请完成安全验证×
copy
已复制链接
快去分享给好友吧!
我知道了
右上角分享
点击右上角分享
0
联系我们:info@booksci.cn Book学术提供免费学术资源搜索服务,方便国内外学者检索中英文文献。致力于提供最便捷和优质的服务体验。 Copyright © 2023 布克学术 All rights reserved.
京ICP备2023020795号-1
ghs 京公网安备 11010802042870号
Book学术文献互助
Book学术文献互助群
群 号:604180095
Book学术官方微信