A case of small intestinal fixation failure.

IF 0.5 Q4 RADIOLOGY, NUCLEAR MEDICINE & MEDICAL IMAGING
BJR Case Reports Pub Date : 2024-11-27 eCollection Date: 2024-11-01 DOI:10.1093/bjrcr/uaae046
Kanako Oyanagi, Yosuke Horii, Hiroyuki Ishikawa, Kazuyasu Takizawa
{"title":"A case of small intestinal fixation failure.","authors":"Kanako Oyanagi, Yosuke Horii, Hiroyuki Ishikawa, Kazuyasu Takizawa","doi":"10.1093/bjrcr/uaae046","DOIUrl":null,"url":null,"abstract":"<p><p>A 77-year-old woman underwent CT to evaluate haematemesis. The images showed that the third part of the duodenum flexed steeply on the right side of the aorta and ran caudally, without crossing anterior to the aorta. The duodenal-jejunal junction and jejunum were located on the patient's right side. Upper gastrointestinal endoscopy revealed a laceration at the gastric cardia, and a diagnosis of Mallory-Weiss syndrome was made. Repeat CT 7 days later revealed that the abnormal positioning of the intestinal tract had resolved spontaneously. Two months later, the patient experienced another episode of haematemesis, and CT revealed repeat deviation of the duodenal-jejunal junction and jejunum to her right side. Upper gastrointestinal endoscopy revealed another laceration at the gastric cardia, as in the previous study. On the basis of the initial CT findings showing the duodenal-jejunal junction in the right hemi-abdomen, intestinal malrotation was suspected. However, because the jejunum deviated repeatedly to the right side but resolved spontaneously, we diagnosed dysplasia of the ligament of Treitz. Laparotomy revealed a formed ligament of Treitz; however, fixation in the upper jejunum was incomplete. Additionally, CT revealed that the anterior pararenal space was loosely fixed and mobile. These factors may have caused the right-sided deviation of the small intestine. In this case, the third part of the duodenum likely flexed on the right side of the aorta, causing an obstruction that resulted in repeat vomiting episodes and Mallory-Weiss syndrome.</p>","PeriodicalId":45216,"journal":{"name":"BJR Case Reports","volume":"10 6","pages":"uaae046"},"PeriodicalIF":0.5000,"publicationDate":"2024-11-27","publicationTypes":"Journal Article","fieldsOfStudy":null,"isOpenAccess":false,"openAccessPdf":"https://www.ncbi.nlm.nih.gov/pmc/articles/PMC11631180/pdf/","citationCount":"0","resultStr":null,"platform":"Semanticscholar","paperid":null,"PeriodicalName":"BJR Case Reports","FirstCategoryId":"1085","ListUrlMain":"https://doi.org/10.1093/bjrcr/uaae046","RegionNum":0,"RegionCategory":null,"ArticlePicture":[],"TitleCN":null,"AbstractTextCN":null,"PMCID":null,"EPubDate":"2024/11/1 0:00:00","PubModel":"eCollection","JCR":"Q4","JCRName":"RADIOLOGY, NUCLEAR MEDICINE & MEDICAL IMAGING","Score":null,"Total":0}
引用次数: 0

Abstract

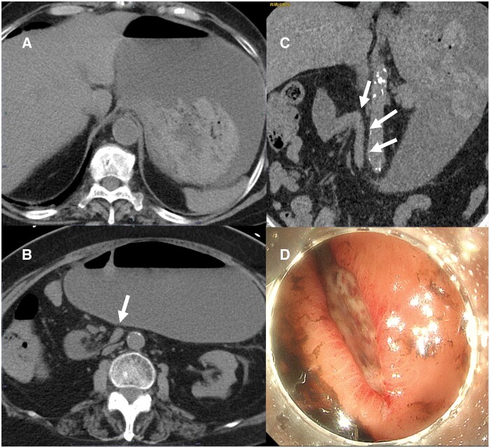
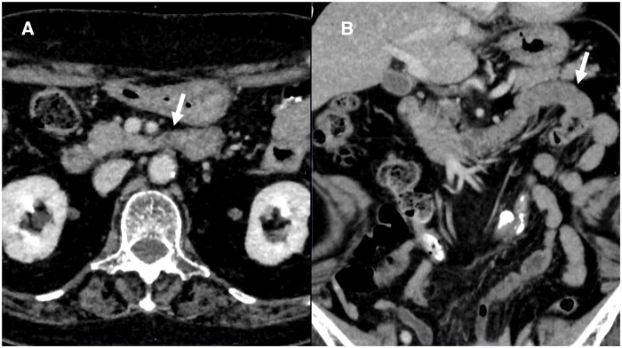
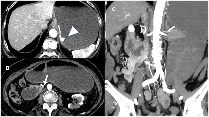
A 77-year-old woman underwent CT to evaluate haematemesis. The images showed that the third part of the duodenum flexed steeply on the right side of the aorta and ran caudally, without crossing anterior to the aorta. The duodenal-jejunal junction and jejunum were located on the patient's right side. Upper gastrointestinal endoscopy revealed a laceration at the gastric cardia, and a diagnosis of Mallory-Weiss syndrome was made. Repeat CT 7 days later revealed that the abnormal positioning of the intestinal tract had resolved spontaneously. Two months later, the patient experienced another episode of haematemesis, and CT revealed repeat deviation of the duodenal-jejunal junction and jejunum to her right side. Upper gastrointestinal endoscopy revealed another laceration at the gastric cardia, as in the previous study. On the basis of the initial CT findings showing the duodenal-jejunal junction in the right hemi-abdomen, intestinal malrotation was suspected. However, because the jejunum deviated repeatedly to the right side but resolved spontaneously, we diagnosed dysplasia of the ligament of Treitz. Laparotomy revealed a formed ligament of Treitz; however, fixation in the upper jejunum was incomplete. Additionally, CT revealed that the anterior pararenal space was loosely fixed and mobile. These factors may have caused the right-sided deviation of the small intestine. In this case, the third part of the duodenum likely flexed on the right side of the aorta, causing an obstruction that resulted in repeat vomiting episodes and Mallory-Weiss syndrome.

Abstract Image

Abstract Image

Abstract Image

小肠固定失败1例。
一位77岁的女性接受了CT检查以评估呕血情况。图像显示十二指肠第三段在主动脉右侧急剧弯曲并向尾侧延伸,未穿过主动脉前方。十二指肠-空肠交界及空肠位于患者右侧。上消化道内窥镜检查显示贲门处有撕裂伤,诊断为Mallory-Weiss综合征。7天后复查CT显示肠道定位异常自行消退。2个月后,患者再次出现呕血,CT显示十二指肠-空肠交界处和空肠再次向右侧偏移。上消化道内窥镜检查显示贲门处有另一个撕裂伤,与先前的研究相同。根据最初的CT表现显示十二指肠和空肠交界在右半腹部,怀疑肠旋转不良。然而,由于空肠反复向右偏但自行消退,我们诊断为Treitz韧带发育不良。剖腹探查发现形成的Treitz韧带;然而,上空肠的固定是不完整的。此外,CT显示肾旁前间隙松散固定并可移动。这些因素可能导致小肠向右偏移。本例中,十二指肠第三部分可能在主动脉右侧屈曲,造成阻塞,导致反复呕吐和Mallory-Weiss综合征。
本文章由计算机程序翻译,如有差异,请以英文原文为准。
求助全文
约1分钟内获得全文 求助全文
来源期刊
BJR Case Reports
BJR Case Reports RADIOLOGY, NUCLEAR MEDICINE & MEDICAL IMAGING-
自引率
0.00%
发文量
77
审稿时长
11 weeks
×
引用
GB/T 7714-2015
复制
MLA
复制
APA
复制
导出至
BibTeX EndNote RefMan NoteFirst NoteExpress
×
提示
您的信息不完整,为了账户安全,请先补充。
现在去补充
×
提示
您因"违规操作"
具体请查看互助需知
我知道了
×
提示
确定
请完成安全验证×
copy
已复制链接
快去分享给好友吧!
我知道了
右上角分享
点击右上角分享
0
联系我们:info@booksci.cn Book学术提供免费学术资源搜索服务,方便国内外学者检索中英文文献。致力于提供最便捷和优质的服务体验。 Copyright © 2023 布克学术 All rights reserved.
京ICP备2023020795号-1
ghs 京公网安备 11010802042870号
Book学术文献互助
Book学术文献互助群
群 号:604180095
Book学术官方微信