Concave Side Apical Control in Early Onset Scoliosis Managed with Growing Rods.

IF 1.2 Q3 SURGERY
Spine Surgery and Related Research Pub Date : 2024-04-24 eCollection Date: 2024-11-27 DOI:10.22603/ssrr.2023-0317
Tameem Mohammed Elkhateeb, Mohamed Wafa, Mahmoud Ahmed Ashour
{"title":"Concave Side Apical Control in Early Onset Scoliosis Managed with Growing Rods.","authors":"Tameem Mohammed Elkhateeb, Mohamed Wafa, Mahmoud Ahmed Ashour","doi":"10.22603/ssrr.2023-0317","DOIUrl":null,"url":null,"abstract":"<p><strong>Objective: </strong>To evaluate curve correctability, complications, and rate of growth following treatment.</p><p><strong>Background: </strong>Distraction-founded techniques such as traditionally growing rods or magnetically controlled growing rods are the almost globally accepted management patterns for early onset scoliosis. However, periodic lengthening operations are still needed. Moreover, an MCGR is difficult to contour, and implant-associated problems are common. We developed concave side apical control of the growing rod in which an additional anchor site is inserted at the apex to enhance stability and assist in the adjustment of axial deformity.</p><p><strong>Methods: </strong>Entirely skeletally immature early onset scoliosis (EOS) cases with a progressive curve of >40° and without bone or soft tissue weakness were appropriate for this study. Coronal Cobb angle, sagittal parameters, complications, spinal length, and reoperations were documented with at least a 3-year follow-up.</p><p><strong>Results: </strong>In this study, 15 patients were involved. The mean age was 7 years. The mean preoperative Cobb angle was 48°, which postoperatively became 12° with the percentage of coronal correction reaching 75.73%. The mean Cobb angle degrees of correction were 39°. T1-S1 height increased by 10 mm/year. Postoperative complications occurred in two cases with single rod technique and rod breakage.</p><p><strong>Conclusions: </strong>The concave side apical control of the growing rod seems to be a hopeful surgical procedure for the management of EOS. Curve correctability in patients was 60% and can be sustained for a minimum of 2 years. Reoperations and complications might not be constricted, but the complication frequency looks more reasonable than in the current systems.</p>","PeriodicalId":22253,"journal":{"name":"Spine Surgery and Related Research","volume":"8 6","pages":"608-615"},"PeriodicalIF":1.2000,"publicationDate":"2024-04-24","publicationTypes":"Journal Article","fieldsOfStudy":null,"isOpenAccess":false,"openAccessPdf":"https://www.ncbi.nlm.nih.gov/pmc/articles/PMC11625709/pdf/","citationCount":"0","resultStr":null,"platform":"Semanticscholar","paperid":null,"PeriodicalName":"Spine Surgery and Related Research","FirstCategoryId":"1085","ListUrlMain":"https://doi.org/10.22603/ssrr.2023-0317","RegionNum":0,"RegionCategory":null,"ArticlePicture":[],"TitleCN":null,"AbstractTextCN":null,"PMCID":null,"EPubDate":"2024/11/27 0:00:00","PubModel":"eCollection","JCR":"Q3","JCRName":"SURGERY","Score":null,"Total":0}
引用次数: 0

Abstract

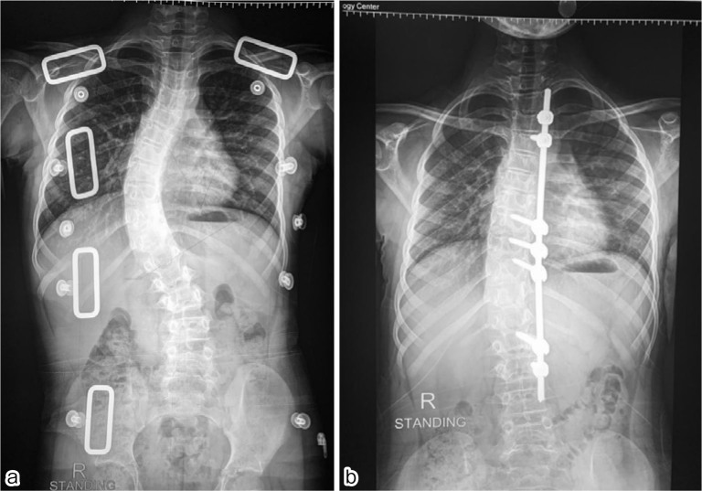
Objective: To evaluate curve correctability, complications, and rate of growth following treatment.

Background: Distraction-founded techniques such as traditionally growing rods or magnetically controlled growing rods are the almost globally accepted management patterns for early onset scoliosis. However, periodic lengthening operations are still needed. Moreover, an MCGR is difficult to contour, and implant-associated problems are common. We developed concave side apical control of the growing rod in which an additional anchor site is inserted at the apex to enhance stability and assist in the adjustment of axial deformity.

Methods: Entirely skeletally immature early onset scoliosis (EOS) cases with a progressive curve of >40° and without bone or soft tissue weakness were appropriate for this study. Coronal Cobb angle, sagittal parameters, complications, spinal length, and reoperations were documented with at least a 3-year follow-up.

Results: In this study, 15 patients were involved. The mean age was 7 years. The mean preoperative Cobb angle was 48°, which postoperatively became 12° with the percentage of coronal correction reaching 75.73%. The mean Cobb angle degrees of correction were 39°. T1-S1 height increased by 10 mm/year. Postoperative complications occurred in two cases with single rod technique and rod breakage.

Conclusions: The concave side apical control of the growing rod seems to be a hopeful surgical procedure for the management of EOS. Curve correctability in patients was 60% and can be sustained for a minimum of 2 years. Reoperations and complications might not be constricted, but the complication frequency looks more reasonable than in the current systems.

Abstract Image

Abstract Image

Abstract Image

生长棒治疗早期脊柱侧凸的凹侧根尖控制。
目的:评价治疗后的曲线可矫正性、并发症及生长率。背景:以分散注意力为基础的技术,如传统的生长棒或磁控生长棒是几乎全球公认的早期脊柱侧凸治疗模式。但是,仍然需要周期性的延长操作。此外,MCGR很难轮廓,并且与植入物相关的问题很常见。我们开发了生长杆的凹侧根尖控制,其中在根尖插入一个额外的锚点,以增强稳定性并协助调节轴向畸形。方法:完全骨骼不成熟的早发性脊柱侧凸(EOS)患者,其进行性曲线为bbb40°,无骨或软组织无力,适用于本研究。冠状Cobb角、矢状面参数、并发症、脊柱长度和再手术在至少3年的随访中被记录下来。结果:本研究共纳入15例患者。平均年龄为7岁。术前平均Cobb角为48°,术后平均Cobb角为12°,冠状面矫正率达75.73%。平均Cobb角校正度为39°。T1-S1高度增加10 mm/年。术后出现并发症2例为单棒技术和棒断裂。结论:生长杆的凹侧根尖控制似乎是一种有希望的手术治疗EOS的方法。患者的曲线矫正率为60%,可持续至少2年。再手术和并发症可能不会受到限制,但并发症的频率看起来比目前的系统更合理。
本文章由计算机程序翻译,如有差异,请以英文原文为准。
求助全文
约1分钟内获得全文 求助全文
来源期刊
CiteScore
1.80
自引率
0.00%
发文量
71
审稿时长
15 weeks
×
引用
GB/T 7714-2015
复制
MLA
复制
APA
复制
导出至
BibTeX EndNote RefMan NoteFirst NoteExpress
×
提示
您的信息不完整,为了账户安全,请先补充。
现在去补充
×
提示
您因"违规操作"
具体请查看互助需知
我知道了
×
提示
确定
请完成安全验证×
copy
已复制链接
快去分享给好友吧!
我知道了
右上角分享
点击右上角分享
0
联系我们:info@booksci.cn Book学术提供免费学术资源搜索服务,方便国内外学者检索中英文文献。致力于提供最便捷和优质的服务体验。 Copyright © 2023 布克学术 All rights reserved.
京ICP备2023020795号-1
ghs 京公网安备 11010802042870号
Book学术文献互助
Book学术文献互助群
群 号:604180095
Book学术官方微信