Molecular profiles and long-term outcomes of Thai children with hepatic glycogen storage disease in Thailand.

Jaravee Vanduangden, Rungnapa Ittiwut, Chupong Ittiwut, Teerasak Phewplung, Anapat Sanpavat, Palittiya Sintusek, Kanya Suphapeetiporn
{"title":"Molecular profiles and long-term outcomes of Thai children with hepatic glycogen storage disease in Thailand.","authors":"Jaravee Vanduangden, Rungnapa Ittiwut, Chupong Ittiwut, Teerasak Phewplung, Anapat Sanpavat, Palittiya Sintusek, Kanya Suphapeetiporn","doi":"10.5409/wjcp.v13.i4.100493","DOIUrl":null,"url":null,"abstract":"<p><strong>Background: </strong>Thus far, genetic analysis of patients clinically diagnosed with glycogen storage diseases (GSDs) in Thailand has not been reported.</p><p><strong>Aim: </strong>To evaluate the clinical and biochemical profiles, molecular analysis and long-term outcomes of Thai children diagnosed with hepatic GSD.</p><p><strong>Methods: </strong>Children aged < 18 years diagnosed with hepatic GSD and followed up at King Chulalongkorn Memorial Hospital were recruited. Whole-exome sequencing (WES) was performed to identify the causative gene variants. Medical records were assessed.</p><p><strong>Results: </strong>All eight children with histopathologically confirmed diagnosis were classified by WES into subtypes Ia (<i>n</i> = 1), III (<i>n</i> = 3), VI (<i>n</i> = 3), and IX (<i>n</i> = 1). A total number of 10 variants were identified including <i>G6PC</i> (<i>n</i> = 1), <i>AGL</i> (<i>n</i> = 4), <i>PYGL</i> (<i>n</i> = 5), and <i>PHKA2</i> (<i>n</i> = 1). <i>AGL</i> had two novel variants. The clinical manifestations were hepatomegaly (<i>n</i> = 8), doll-like facies (<i>n</i> = 3), wasting (<i>n</i> = 2), and stunting (<i>n</i> = 5). All patients showed hypoglycemia, transaminitis, and dyslipidemia. The mainstay of treatment was cornstarch supplementation and high-protein and low-lactose-fructose diet. After a median follow-up time of 9.59 years, height turned to normal for age in 3/5 patients and none had malnutrition. Liver enzymes, blood sugar, and lipid profiles improved in all.</p><p><strong>Conclusion: </strong>Hepatomegaly, transaminitis, and hypoglycemia are the hallmarks of GSD confirmed by liver histopathology. Molecular analysis can confirm the diagnosis or classify the subtype that might benefit from personalized treatment, prognosis, and long-term care.</p>","PeriodicalId":75338,"journal":{"name":"World journal of clinical pediatrics","volume":"13 4","pages":"100493"},"PeriodicalIF":0.0000,"publicationDate":"2024-12-09","publicationTypes":"Journal Article","fieldsOfStudy":null,"isOpenAccess":false,"openAccessPdf":"https://www.ncbi.nlm.nih.gov/pmc/articles/PMC11572614/pdf/","citationCount":"0","resultStr":null,"platform":"Semanticscholar","paperid":null,"PeriodicalName":"World journal of clinical pediatrics","FirstCategoryId":"1085","ListUrlMain":"https://doi.org/10.5409/wjcp.v13.i4.100493","RegionNum":0,"RegionCategory":null,"ArticlePicture":[],"TitleCN":null,"AbstractTextCN":null,"PMCID":null,"EPubDate":"","PubModel":"","JCR":"","JCRName":"","Score":null,"Total":0}
引用次数: 0

Abstract

Background: Thus far, genetic analysis of patients clinically diagnosed with glycogen storage diseases (GSDs) in Thailand has not been reported.

Aim: To evaluate the clinical and biochemical profiles, molecular analysis and long-term outcomes of Thai children diagnosed with hepatic GSD.

Methods: Children aged < 18 years diagnosed with hepatic GSD and followed up at King Chulalongkorn Memorial Hospital were recruited. Whole-exome sequencing (WES) was performed to identify the causative gene variants. Medical records were assessed.

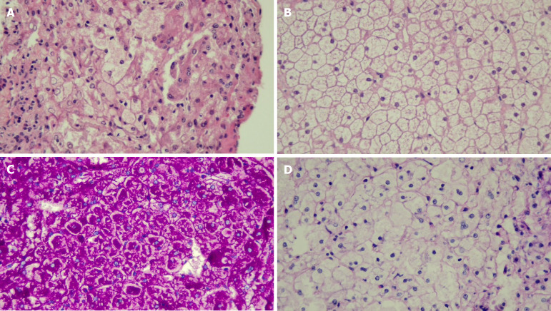
Results: All eight children with histopathologically confirmed diagnosis were classified by WES into subtypes Ia (n = 1), III (n = 3), VI (n = 3), and IX (n = 1). A total number of 10 variants were identified including G6PC (n = 1), AGL (n = 4), PYGL (n = 5), and PHKA2 (n = 1). AGL had two novel variants. The clinical manifestations were hepatomegaly (n = 8), doll-like facies (n = 3), wasting (n = 2), and stunting (n = 5). All patients showed hypoglycemia, transaminitis, and dyslipidemia. The mainstay of treatment was cornstarch supplementation and high-protein and low-lactose-fructose diet. After a median follow-up time of 9.59 years, height turned to normal for age in 3/5 patients and none had malnutrition. Liver enzymes, blood sugar, and lipid profiles improved in all.

Conclusion: Hepatomegaly, transaminitis, and hypoglycemia are the hallmarks of GSD confirmed by liver histopathology. Molecular analysis can confirm the diagnosis or classify the subtype that might benefit from personalized treatment, prognosis, and long-term care.

Abstract Image

Abstract Image

Abstract Image

泰国儿童肝糖原储存病的分子特征和长期预后
背景:迄今为止,泰国临床诊断为糖原储存病(GSDs)患者的遗传分析尚未报道。目的:探讨泰国儿童肝性GSD的临床生化特征、分子分析及远期预后。方法:选取在朱拉隆功国王纪念医院诊断为肝性GSD并随访的年龄< 18岁的儿童。采用全外显子组测序(WES)鉴定致病基因变异。评估了医疗记录。结果:经组织病理学确诊的8例患儿均经WES分为Ia (n = 1)、III (n = 3)、VI (n = 3)、IX (n = 1)亚型,共鉴定出G6PC (n = 1)、AGL (n = 4)、PYGL (n = 5)、PHKA2 (n = 1)等10种变异,其中AGL有2种新变异。临床表现为肝肿大(n = 8)、娃娃样相(n = 3)、消瘦(n = 2)、发育迟缓(n = 5)。所有患者均出现低血糖、转氨炎、血脂异常。主要的治疗方法是补充玉米淀粉和高蛋白低乳糖-果糖饮食。中位随访时间为9.59年,3/5患者身高恢复正常,无营养不良。肝酶、血糖和脂质谱均有所改善。结论:肝组织病理学证实肝肿大、转氨炎、低血糖是GSD的标志。分子分析可以确认诊断或分类亚型,从而可能受益于个性化治疗、预后和长期护理。
本文章由计算机程序翻译,如有差异,请以英文原文为准。
求助全文
约1分钟内获得全文 求助全文
来源期刊
CiteScore
3.20
自引率
0.00%
发文量
0
×
引用
GB/T 7714-2015
复制
MLA
复制
APA
复制
导出至
BibTeX EndNote RefMan NoteFirst NoteExpress
×
提示
您的信息不完整,为了账户安全,请先补充。
现在去补充
×
提示
您因"违规操作"
具体请查看互助需知
我知道了
×
提示
确定
请完成安全验证×
copy
已复制链接
快去分享给好友吧!
我知道了
右上角分享
点击右上角分享
0
联系我们:info@booksci.cn Book学术提供免费学术资源搜索服务,方便国内外学者检索中英文文献。致力于提供最便捷和优质的服务体验。 Copyright © 2023 布克学术 All rights reserved.
京ICP备2023020795号-1
ghs 京公网安备 11010802042870号
Book学术文献互助
Book学术文献互助群
群 号:604180095
Book学术官方微信