Analysis of recurrence of risk factors after transcatheter bronchial artery embolization for hemoptysis.

Annals of Saudi medicine Pub Date : 2024-11-01 Epub Date: 2024-12-05 DOI:10.5144/0256-4947.2024.414
Yanchao Dong, Jianli An
{"title":"Analysis of recurrence of risk factors after transcatheter bronchial artery embolization for hemoptysis.","authors":"Yanchao Dong, Jianli An","doi":"10.5144/0256-4947.2024.414","DOIUrl":null,"url":null,"abstract":"<p><strong>Background: </strong>As a proven and preferred technique for hemoptysis, bronchial artery embolization (BAE) cannot avoid the possibility of postoperative recurrence; however, few studies have examined the causes of hemoptysis recurrence after BAE.</p><p><strong>Objectives: </strong>Identify the risk factors for hemoptysis recurrence after BAE treatment.</p><p><strong>Design: </strong>Retrospective.</p><p><strong>Setting: </strong>Tertiary training and research hospital.</p><p><strong>Patients and methods: </strong>A retrospective analysis was conducted on 406 patients with hemoptysis, 55 patients who developed with recurrent postembolization hemoptysis, covering the period from January 2011 to January 2021. Single factor analysis and multiple factor logistic regression were used to analyze high-risk factors for hemoptysis recurrence.</p><p><strong>Main outcome measures: </strong>The incidence and risk factors for recurrence hemoptysis associated with transcatheter BAE.</p><p><strong>Sample size: </strong>406 patients.</p><p><strong>Results: </strong>Multivariate logistic regression analysis showed that preoperative computed tomography angiography (CTA) (odds ratio [OR]: 0.052, 95% CI: 0.012-0.225), tumor-related hemoptysis (OR: 20.753, 95% CI: 6.778-63.545), pleural thickening (OR: 3.168, 95% CI: 1.081-9.286), and bilateral lung lesions (OR: 8.442, 95% CI: 2.449-29.101) had a statistically significant impact on the recurrence of hemoptysis after BAE.</p><p><strong>Conclusions: </strong>Preoperative CTA serves as a protective factor against hemoptysis recurrence, whereas tumor-related hemoptysis, pleural thickening, and bilateral lung diseases are significant risk factors for hemoptysis recurrence following interventional therapy.</p><p><strong>Limitations: </strong>This was a retrospective analysis of a single center with a small sample, which may have a certain degree of recall bias when collecting data, thus, reducing the reliability of the results.</p>","PeriodicalId":93875,"journal":{"name":"Annals of Saudi medicine","volume":"44 6","pages":"414-421"},"PeriodicalIF":0.0000,"publicationDate":"2024-11-01","publicationTypes":"Journal Article","fieldsOfStudy":null,"isOpenAccess":false,"openAccessPdf":"https://www.ncbi.nlm.nih.gov/pmc/articles/PMC11627038/pdf/","citationCount":"0","resultStr":null,"platform":"Semanticscholar","paperid":null,"PeriodicalName":"Annals of Saudi medicine","FirstCategoryId":"1085","ListUrlMain":"https://doi.org/10.5144/0256-4947.2024.414","RegionNum":0,"RegionCategory":null,"ArticlePicture":[],"TitleCN":null,"AbstractTextCN":null,"PMCID":null,"EPubDate":"2024/12/5 0:00:00","PubModel":"Epub","JCR":"","JCRName":"","Score":null,"Total":0}
引用次数: 0

Abstract

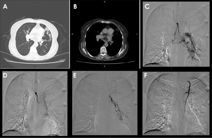
Background: As a proven and preferred technique for hemoptysis, bronchial artery embolization (BAE) cannot avoid the possibility of postoperative recurrence; however, few studies have examined the causes of hemoptysis recurrence after BAE.

Objectives: Identify the risk factors for hemoptysis recurrence after BAE treatment.

Design: Retrospective.

Setting: Tertiary training and research hospital.

Patients and methods: A retrospective analysis was conducted on 406 patients with hemoptysis, 55 patients who developed with recurrent postembolization hemoptysis, covering the period from January 2011 to January 2021. Single factor analysis and multiple factor logistic regression were used to analyze high-risk factors for hemoptysis recurrence.

Main outcome measures: The incidence and risk factors for recurrence hemoptysis associated with transcatheter BAE.

Sample size: 406 patients.

Results: Multivariate logistic regression analysis showed that preoperative computed tomography angiography (CTA) (odds ratio [OR]: 0.052, 95% CI: 0.012-0.225), tumor-related hemoptysis (OR: 20.753, 95% CI: 6.778-63.545), pleural thickening (OR: 3.168, 95% CI: 1.081-9.286), and bilateral lung lesions (OR: 8.442, 95% CI: 2.449-29.101) had a statistically significant impact on the recurrence of hemoptysis after BAE.

Conclusions: Preoperative CTA serves as a protective factor against hemoptysis recurrence, whereas tumor-related hemoptysis, pleural thickening, and bilateral lung diseases are significant risk factors for hemoptysis recurrence following interventional therapy.

Limitations: This was a retrospective analysis of a single center with a small sample, which may have a certain degree of recall bias when collecting data, thus, reducing the reliability of the results.

Abstract Image

Abstract Image

Abstract Image

经导管支气管动脉栓塞治疗咯血后风险因素复发分析。
背景:支气管动脉栓塞术(支气管动脉栓塞术)是治疗咯血的首选方法,但不能避免术后复发的可能性;然而,很少有研究探讨BAE后咯血复发的原因。目的:探讨BAE治疗后咯血复发的危险因素。设计:回顾性。单位:三级培训和研究医院。患者与方法:回顾性分析2011年1月至2021年1月406例咯血患者,栓塞后复发咯血患者55例。采用单因素分析和多因素logistic回归分析咯血复发的高危因素。主要观察指标:经导管BAE伴咯血复发的发生率及危险因素。样本量:406例患者。结果:多因素logistic回归分析显示,术前ct血管造影(CTA)(比值比[OR]: 0.052, 95% CI: 0.012-0.225)、肿瘤相关性咯血(OR: 20.753, 95% CI: 6.778-63.545)、胸膜增厚(OR: 3.168, 95% CI: 1.081-9.286)、双侧肺病变(OR: 8.442, 95% CI: 2.449-29.101)对BAE术后咯血复发的影响具有统计学意义。结论:术前CTA是预防咯血复发的保护因素,而肿瘤相关性咯血、胸膜增厚、双侧肺部疾病是介入治疗后咯血复发的重要危险因素。局限性:本研究为单中心小样本的回顾性分析,在收集数据时可能存在一定程度的回忆偏倚,从而降低了结果的可靠性。
本文章由计算机程序翻译,如有差异,请以英文原文为准。
求助全文
约1分钟内获得全文 求助全文
来源期刊
自引率
0.00%
发文量
0
×
引用
GB/T 7714-2015
复制
MLA
复制
APA
复制
导出至
BibTeX EndNote RefMan NoteFirst NoteExpress
×
提示
您的信息不完整,为了账户安全,请先补充。
现在去补充
×
提示
您因"违规操作"
具体请查看互助需知
我知道了
×
提示
确定
请完成安全验证×
copy
已复制链接
快去分享给好友吧!
我知道了
右上角分享
点击右上角分享
0
联系我们:info@booksci.cn Book学术提供免费学术资源搜索服务,方便国内外学者检索中英文文献。致力于提供最便捷和优质的服务体验。 Copyright © 2023 布克学术 All rights reserved.
京ICP备2023020795号-1
ghs 京公网安备 11010802042870号
Book学术文献互助
Book学术文献互助群
群 号:604180095
Book学术官方微信