Association of APOE genotype with CT markers of cerebral amyloid angiopathy in spontaneous intracerebral haemorrhage.

IF 4.9 1区 医学
Qiong Yang, Xiangzhu Zeng, Lu Tang, Xiaolu Liu, Kailin Xia, Feng Gao, Xu Huang, Nan Li, Dongsheng Fan
{"title":"Association of <i>APOE</i> genotype with CT markers of cerebral amyloid angiopathy in spontaneous intracerebral haemorrhage.","authors":"Qiong Yang, Xiangzhu Zeng, Lu Tang, Xiaolu Liu, Kailin Xia, Feng Gao, Xu Huang, Nan Li, Dongsheng Fan","doi":"10.1136/svn-2024-003477","DOIUrl":null,"url":null,"abstract":"<p><strong>Background and objective: </strong>We investigated the association of <i>APOE</i> alleles with CT-based cerebral amyloid angiopathy (CAA) markers including subarachnoid extension (SAE) and finger-like projection (FLP).</p><p><strong>Methods: </strong>We included patients with acute primary supratentorial intracerebral haemorrhage (ICH) from a multicentre cohort in China. First, the association of <i>APOE</i> with ICH location (lobar vs non-lobar) was evaluated. Next, the relationships of <i>APOE</i> with SAE, FLP, and the coexistence of the two (SAE+FLP) were evaluated.</p><p><strong>Results: </strong>533 patients with supratentorial ICH were enrolled. Among them were 138 patients with lobar ICH and 395 with non-lobar ICH. Compared with the non-lobar group, <i>APOE</i> ε4 (OR 1.894, 95% CI 1.138 to 3.154, p=0.014) and ε2/ε4 (OR 6.098, 95% CI 1.414 to 26.293, p=0.015) were associated with lobar ICH. With regard to CAA markers, <i>APOE</i> ε2 was associated with SAE (OR 2.109, 95% CI 1.167 to 3.810, p=0.013), ε4 was associated with FLP and SAE+FLP (OR 3.026, 95% CI 1.353 to 6.767, p=0.007; OR 3.514, 95% CI 1.485 to 8.316, p=0.004, respectively) and ε2/ε4 was associated with all three factors (SAH: OR 7.599, 95% CI 1.764 to 32.734, p=0.006; FLP: OR 20.333, 95% CI 3.278 to 126.137, p=0.001; SAE+FLP: OR 30.568, 95% CI 4.460 to 209.503, p<0.001) after adjusting for age, and remained significant after adjusting for age and ICH volume.</p><p><strong>Conclusion: </strong>In patients with spontaneous supratentorial ICH, <i>APOE</i> ε2 and ε4 alleles were associated with SAE and FLP, respectively, suggesting <i>APOE</i> allele-specific effects on CT markers of CAA and their potential mechanisms.</p>","PeriodicalId":48733,"journal":{"name":"Journal of Investigative Medicine","volume":" ","pages":""},"PeriodicalIF":4.9000,"publicationDate":"2025-04-29","publicationTypes":"Journal Article","fieldsOfStudy":null,"isOpenAccess":false,"openAccessPdf":"https://www.ncbi.nlm.nih.gov/pmc/articles/PMC12107438/pdf/","citationCount":"0","resultStr":null,"platform":"Semanticscholar","paperid":null,"PeriodicalName":"Journal of Investigative Medicine","FirstCategoryId":"3","ListUrlMain":"https://doi.org/10.1136/svn-2024-003477","RegionNum":1,"RegionCategory":"医学","ArticlePicture":[],"TitleCN":null,"AbstractTextCN":null,"PMCID":null,"EPubDate":"","PubModel":"","JCR":"","JCRName":"","Score":null,"Total":0}
引用次数: 0

Abstract

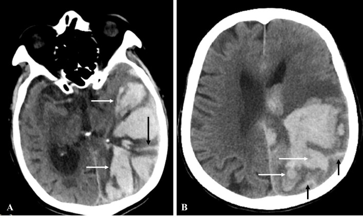
Background and objective: We investigated the association of APOE alleles with CT-based cerebral amyloid angiopathy (CAA) markers including subarachnoid extension (SAE) and finger-like projection (FLP).

Methods: We included patients with acute primary supratentorial intracerebral haemorrhage (ICH) from a multicentre cohort in China. First, the association of APOE with ICH location (lobar vs non-lobar) was evaluated. Next, the relationships of APOE with SAE, FLP, and the coexistence of the two (SAE+FLP) were evaluated.

Results: 533 patients with supratentorial ICH were enrolled. Among them were 138 patients with lobar ICH and 395 with non-lobar ICH. Compared with the non-lobar group, APOE ε4 (OR 1.894, 95% CI 1.138 to 3.154, p=0.014) and ε2/ε4 (OR 6.098, 95% CI 1.414 to 26.293, p=0.015) were associated with lobar ICH. With regard to CAA markers, APOE ε2 was associated with SAE (OR 2.109, 95% CI 1.167 to 3.810, p=0.013), ε4 was associated with FLP and SAE+FLP (OR 3.026, 95% CI 1.353 to 6.767, p=0.007; OR 3.514, 95% CI 1.485 to 8.316, p=0.004, respectively) and ε2/ε4 was associated with all three factors (SAH: OR 7.599, 95% CI 1.764 to 32.734, p=0.006; FLP: OR 20.333, 95% CI 3.278 to 126.137, p=0.001; SAE+FLP: OR 30.568, 95% CI 4.460 to 209.503, p<0.001) after adjusting for age, and remained significant after adjusting for age and ICH volume.

Conclusion: In patients with spontaneous supratentorial ICH, APOE ε2 and ε4 alleles were associated with SAE and FLP, respectively, suggesting APOE allele-specific effects on CT markers of CAA and their potential mechanisms.

Abstract Image

Abstract Image

自发性脑出血患者的 APOE 基因型与脑淀粉样血管病 CT 标记的关系
背景和目的:我们研究了 APOE 等位基因与基于 CT 的脑淀粉样血管病(CAA)标记物(包括蛛网膜下腔扩展(SAE)和指样投影(FLP))的相关性:我们纳入了中国多中心队列中的急性原发性颅内出血(ICH)患者。首先,评估了 APOE 与 ICH 位置(脑叶与非脑叶)的关系。接着,评估了 APOE 与 SAE、FLP 以及两者共存(SAE+FLP)的关系:结果:共纳入 533 名脑室上 ICH 患者。结果:共纳入 533 名脑室上 ICH 患者,其中包括 138 名大叶 ICH 患者和 395 名非大叶 ICH 患者。与非叶状 ICH 组相比,APOE ε4(OR 1.894,95% CI 1.138 至 3.154,p=0.014)和 ε2/ε4(OR 6.098,95% CI 1.414 至 26.293,p=0.015)与叶状 ICH 相关。在 CAA 标记方面,APOE ε2 与 SAE 相关(OR 2.109,95% CI 1.167 至 3.810,p=0.013),ε4 与 FLP 和 SAE+FLP 相关(OR 3.026,95% CI 1.353 至 6.767,p=0.007;OR 3.514,95% CI 1.485 至 8.316,p=0.004),而ε2/ε4与所有三个因素相关(SAH:OR 7.599,95% CI 1.764~32.734,p=0.006;FLP:OR 20.333,95% CI 3.278~126.137,p=0.001;SAE+FLP:OR 30.568,95% CI 4.460~209.503,p结论:在自发性脑室上ICH患者中,APOE ε2和ε4等位基因分别与SAE和FLP相关,这表明APOE等位基因对CAA的CT标记物有特异性影响及其潜在机制。
本文章由计算机程序翻译,如有差异,请以英文原文为准。
求助全文
约1分钟内获得全文 求助全文
来源期刊
Journal of Investigative Medicine
Journal of Investigative Medicine MEDICINE, GENERAL & INTERNALMEDICINE, RESE-MEDICINE, RESEARCH & EXPERIMENTAL
自引率
0.00%
发文量
111
期刊介绍: Journal of Investigative Medicine (JIM) is the official publication of the American Federation for Medical Research. The journal is peer-reviewed and publishes high-quality original articles and reviews in the areas of basic, clinical, and translational medical research. JIM publishes on all topics and specialty areas that are critical to the conduct of the entire spectrum of biomedical research: from the translation of clinical observations at the bedside, to basic and animal research to clinical research and the implementation of innovative medical care.
×
引用
GB/T 7714-2015
复制
MLA
复制
APA
复制
导出至
BibTeX EndNote RefMan NoteFirst NoteExpress
×
提示
您的信息不完整,为了账户安全,请先补充。
现在去补充
×
提示
您因"违规操作"
具体请查看互助需知
我知道了
×
提示
确定
请完成安全验证×
copy
已复制链接
快去分享给好友吧!
我知道了
右上角分享
点击右上角分享
0
联系我们:info@booksci.cn Book学术提供免费学术资源搜索服务,方便国内外学者检索中英文文献。致力于提供最便捷和优质的服务体验。 Copyright © 2023 布克学术 All rights reserved.
京ICP备2023020795号-1
ghs 京公网安备 11010802042870号
Book学术文献互助
Book学术文献互助群
群 号:604180095
Book学术官方微信