Diagnosis of a Stress Fracture Of a Metatarsal Bone with Point of Care Ultrasound (POCUS).

POCUS journal Pub Date : 2024-11-15 eCollection Date: 2024-01-01 DOI:10.24908/pocus.v9i2.17393
Alfred Doblinger
{"title":"Diagnosis of a Stress Fracture Of a Metatarsal Bone with Point of Care Ultrasound (POCUS).","authors":"Alfred Doblinger","doi":"10.24908/pocus.v9i2.17393","DOIUrl":null,"url":null,"abstract":"<p><p>The early diagnosis of stress fractures is a challenge in daily primary care practice. Point of care ultrasound (POCUS) can be helpful in the diagnosis of early signs of an incipient stress fracture. A 52-year-old woman presented with a history of chronic overuse in the left forefoot. A sonographic examination in the area of the reported pain point on the third metatarsal (consistent with a marching fracture) showed a clear accumulation of fluid, corresponding to subperiosteal hematoma. After only two weeks of resting the forefoot, a repeat examination using POCUS showed clear callus formation. This confirmed the suspected diagnosis of an early stage stress fracture. This case shows a sensible and easy-to-learn way of using POCUS in general practice. POCUS in combination with clinical examination and anamnesis is a cost-effective and timely diagnostic option without radiation exposure.</p>","PeriodicalId":74470,"journal":{"name":"POCUS journal","volume":"9 2","pages":"15-17"},"PeriodicalIF":0.0000,"publicationDate":"2024-11-15","publicationTypes":"Journal Article","fieldsOfStudy":null,"isOpenAccess":false,"openAccessPdf":"https://www.ncbi.nlm.nih.gov/pmc/articles/PMC11620796/pdf/","citationCount":"0","resultStr":null,"platform":"Semanticscholar","paperid":null,"PeriodicalName":"POCUS journal","FirstCategoryId":"1085","ListUrlMain":"https://doi.org/10.24908/pocus.v9i2.17393","RegionNum":0,"RegionCategory":null,"ArticlePicture":[],"TitleCN":null,"AbstractTextCN":null,"PMCID":null,"EPubDate":"2024/1/1 0:00:00","PubModel":"eCollection","JCR":"","JCRName":"","Score":null,"Total":0}
引用次数: 0

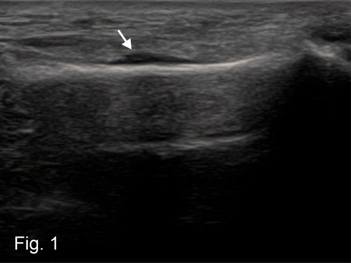
Abstract

The early diagnosis of stress fractures is a challenge in daily primary care practice. Point of care ultrasound (POCUS) can be helpful in the diagnosis of early signs of an incipient stress fracture. A 52-year-old woman presented with a history of chronic overuse in the left forefoot. A sonographic examination in the area of the reported pain point on the third metatarsal (consistent with a marching fracture) showed a clear accumulation of fluid, corresponding to subperiosteal hematoma. After only two weeks of resting the forefoot, a repeat examination using POCUS showed clear callus formation. This confirmed the suspected diagnosis of an early stage stress fracture. This case shows a sensible and easy-to-learn way of using POCUS in general practice. POCUS in combination with clinical examination and anamnesis is a cost-effective and timely diagnostic option without radiation exposure.

Abstract Image

Abstract Image

点超声(POCUS)诊断跖骨应力性骨折。
应力性骨折的早期诊断是日常初级保健实践中的一个挑战。护理点超声(POCUS)可以帮助诊断早期应力性骨折的早期症状。52岁女性,左前足有慢性过度使用史。超声检查报告的第三跖痛点区域(符合行进性骨折)显示明显积液,对应于骨膜下血肿。仅在前足休息两周后,使用POCUS再次检查显示明显的骨痂形成。这证实了早期应力性骨折的疑似诊断。本案例展示了一种在一般实践中使用POCUS的合理且易于学习的方法。POCUS结合临床检查和记忆是一种成本效益和及时的诊断选择,无需辐射暴露。
本文章由计算机程序翻译,如有差异,请以英文原文为准。
求助全文
约1分钟内获得全文 求助全文
来源期刊
自引率
0.00%
发文量
0
×
引用
GB/T 7714-2015
复制
MLA
复制
APA
复制
导出至
BibTeX EndNote RefMan NoteFirst NoteExpress
×
提示
您的信息不完整,为了账户安全,请先补充。
现在去补充
×
提示
您因"违规操作"
具体请查看互助需知
我知道了
×
提示
确定
请完成安全验证×
copy
已复制链接
快去分享给好友吧!
我知道了
右上角分享
点击右上角分享
0
联系我们:info@booksci.cn Book学术提供免费学术资源搜索服务,方便国内外学者检索中英文文献。致力于提供最便捷和优质的服务体验。 Copyright © 2023 布克学术 All rights reserved.
京ICP备2023020795号-1
ghs 京公网安备 11010802042870号
Book学术文献互助
Book学术文献互助群
群 号:604180095
Book学术官方微信