Clinical and genomic profiling of a patient with a de novo ring chromosome 18: a case report highlighting autoimmune and neurological implications.

IF 1.4 4区 生物学 Q4 GENETICS & HEREDITY
Annalaura Montanari, Paola Caforio, Annalisa Paparella, Paola Casieri, Maria Cristina Nuzzi, Maria Fatima Antonucci, Claudia Rita Catacchio, Marilina Tampoia, Mattia Gentile, Roberta Bucci, Valerio Cecinati, Angelo Cellamare, Francesca Antonacci
{"title":"Clinical and genomic profiling of a patient with a de novo ring chromosome 18: a case report highlighting autoimmune and neurological implications.","authors":"Annalaura Montanari, Paola Caforio, Annalisa Paparella, Paola Casieri, Maria Cristina Nuzzi, Maria Fatima Antonucci, Claudia Rita Catacchio, Marilina Tampoia, Mattia Gentile, Roberta Bucci, Valerio Cecinati, Angelo Cellamare, Francesca Antonacci","doi":"10.1186/s13039-024-00700-5","DOIUrl":null,"url":null,"abstract":"<p><p>Ring chromosome 18 (r(18)) is a rare chromosomal abnormality characterized by the circular rearrangement of chromosome 18, which presents significant challenges in genotype-phenotype correlations due to variability in deletions across the 18p and 18q arms. We report the case of a pediatric patient with a de novo ring chromosome 18, diagnosed by karyotype analysis and confirmed by high-resolution SNP arrays. The patient exhibited pathogenic copy number variants (CNVs) in the 18p11.32p11.22 and 18q23 regions, involving 36 and 10 OMIM genes, respectively. Clinically, the patient presented with hypothyroidism secondary to autoimmune thyroiditis, autoimmune hepatitis type II, and genetic predisposition to celiac disease and insulin-dependent diabetes mellitus (IDDM) along with notable dysmorphic features. The 18q microdeletion encompasses the MBP gene, involved in the development and functionality of the nervous system, as supported by hypotonia and gliosis shown by the MRI. This case highlights the complex interplay between genetic imbalances on chromosome 18 and autoimmune phenotypes, emphasizing the need for ongoing research to elucidate underlying mechanisms and optimize clinical management for individuals with r(18).</p>","PeriodicalId":19099,"journal":{"name":"Molecular Cytogenetics","volume":"17 1","pages":"31"},"PeriodicalIF":1.4000,"publicationDate":"2024-12-05","publicationTypes":"Journal Article","fieldsOfStudy":null,"isOpenAccess":false,"openAccessPdf":"https://www.ncbi.nlm.nih.gov/pmc/articles/PMC11619688/pdf/","citationCount":"0","resultStr":null,"platform":"Semanticscholar","paperid":null,"PeriodicalName":"Molecular Cytogenetics","FirstCategoryId":"99","ListUrlMain":"https://doi.org/10.1186/s13039-024-00700-5","RegionNum":4,"RegionCategory":"生物学","ArticlePicture":[],"TitleCN":null,"AbstractTextCN":null,"PMCID":null,"EPubDate":"","PubModel":"","JCR":"Q4","JCRName":"GENETICS & HEREDITY","Score":null,"Total":0}
引用次数: 0

Abstract

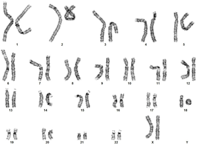
Ring chromosome 18 (r(18)) is a rare chromosomal abnormality characterized by the circular rearrangement of chromosome 18, which presents significant challenges in genotype-phenotype correlations due to variability in deletions across the 18p and 18q arms. We report the case of a pediatric patient with a de novo ring chromosome 18, diagnosed by karyotype analysis and confirmed by high-resolution SNP arrays. The patient exhibited pathogenic copy number variants (CNVs) in the 18p11.32p11.22 and 18q23 regions, involving 36 and 10 OMIM genes, respectively. Clinically, the patient presented with hypothyroidism secondary to autoimmune thyroiditis, autoimmune hepatitis type II, and genetic predisposition to celiac disease and insulin-dependent diabetes mellitus (IDDM) along with notable dysmorphic features. The 18q microdeletion encompasses the MBP gene, involved in the development and functionality of the nervous system, as supported by hypotonia and gliosis shown by the MRI. This case highlights the complex interplay between genetic imbalances on chromosome 18 and autoimmune phenotypes, emphasizing the need for ongoing research to elucidate underlying mechanisms and optimize clinical management for individuals with r(18).

Abstract Image

Abstract Image

18号染色体新生环患者的临床和基因组分析:一个强调自身免疫和神经学意义的病例报告
环状18号染色体(r(18))是一种罕见的染色体异常,其特征是18号染色体的环状重排,由于18p和18q臂缺失的可变性,这对基因型-表型相关性提出了重大挑战。我们报告一例小儿患者的新生环18号染色体,通过核型分析诊断并通过高分辨率SNP阵列证实。该患者在18p11.32p11.22和18q23区域表现出致病性拷贝数变异(CNVs),分别涉及36个和10个OMIM基因。临床表现为自身免疫性甲状腺炎、自身免疫性II型肝炎继发甲状腺功能减退、乳糜泻和胰岛素依赖型糖尿病(IDDM)遗传易感性,并伴有明显的畸形特征。18q微缺失包含MBP基因,参与神经系统的发育和功能,MRI显示神经张力降低和神经胶质瘤支持这一点。该病例强调了18号染色体遗传失衡与自身免疫表型之间复杂的相互作用,强调需要进行持续研究以阐明潜在机制并优化r个体的临床管理(18)。
本文章由计算机程序翻译,如有差异,请以英文原文为准。
求助全文
约1分钟内获得全文 求助全文
来源期刊
Molecular Cytogenetics
Molecular Cytogenetics GENETICS & HEREDITY-
CiteScore
2.60
自引率
7.70%
发文量
49
审稿时长
>12 weeks
期刊介绍: Molecular Cytogenetics encompasses all aspects of chromosome biology and the application of molecular cytogenetic techniques in all areas of biology and medicine, including structural and functional organization of the chromosome and nucleus, genome variation, expression and evolution, chromosome abnormalities and genomic variations in medical genetics and tumor genetics. Molecular Cytogenetics primarily defines a large set of the techniques that operate either with the entire genome or with specific targeted DNA sequences. Topical areas include, but are not limited to: -Structural and functional organization of chromosome and nucleus- Genome variation, expression and evolution- Animal and plant molecular cytogenetics and genomics- Chromosome abnormalities and genomic variations in clinical genetics- Applications in preimplantation, pre- and post-natal diagnosis- Applications in the central nervous system, cancer and haematology research- Previously unreported applications of molecular cytogenetic techniques- Development of new techniques or significant enhancements to established techniques. This journal is a source for numerous scientists all over the world, who wish to improve or introduce molecular cytogenetic techniques into their practice.
×
引用
GB/T 7714-2015
复制
MLA
复制
APA
复制
导出至
BibTeX EndNote RefMan NoteFirst NoteExpress
×
提示
您的信息不完整,为了账户安全,请先补充。
现在去补充
×
提示
您因"违规操作"
具体请查看互助需知
我知道了
×
提示
确定
请完成安全验证×
copy
已复制链接
快去分享给好友吧!
我知道了
右上角分享
点击右上角分享
0
联系我们:info@booksci.cn Book学术提供免费学术资源搜索服务,方便国内外学者检索中英文文献。致力于提供最便捷和优质的服务体验。 Copyright © 2023 布克学术 All rights reserved.
京ICP备2023020795号-1
ghs 京公网安备 11010802042870号
Book学术文献互助
Book学术文献互助群
群 号:604180095
Book学术官方微信