ROBOTIC PANCREATICODUODENECTOMY FOR THE TREATMENT OF A MIXED NEUROENDOCRINE-NON-NEUROENDOCRINE NEOPLASM (MINEN) OF THE AMPULLA OF VATER.

IF 1.8
Rodrigo Cañada Trofo Surjan, Jorge Francisco de Assis Paulino, Henrique Perobelli Schleinstein, Felipe Moraes Toledo Pereira, Estela Regina Ramos Figueira, José Celso Ardengh
{"title":"ROBOTIC PANCREATICODUODENECTOMY FOR THE TREATMENT OF A MIXED NEUROENDOCRINE-NON-NEUROENDOCRINE NEOPLASM (MINEN) OF THE AMPULLA OF VATER.","authors":"Rodrigo Cañada Trofo Surjan, Jorge Francisco de Assis Paulino, Henrique Perobelli Schleinstein, Felipe Moraes Toledo Pereira, Estela Regina Ramos Figueira, José Celso Ardengh","doi":"10.1590/0102-6720202400046e1840","DOIUrl":null,"url":null,"abstract":"<p><p>Mixed neuroendocrine-non-neuroendocrine tumors (MiNEN) are a rare type of tumor formed by two components, a non-neuroendocrine component that is most often an adenocarcinoma and a neuroendocrine tumor, and each of these components must represent at least 30% of the tumor. The origin of this tumor on the ampulla of Vater or periampullary region is more infrequent. Usually, the lesions are highly aggressive and quickly metastasizing, and their biological behavior is dictated by the high grade of the neuroendocrine component. This is the first report of a patient with ampullary MiNEN treated employing a robotic pancreaticoduodenectomy. Although being submitted to aggressive treatment with complete surgical resection followed by systemic therapy, the patient developed early recurrence with hepatic metastatic disease, demonstrating the hostile nature of these tumors.</p>","PeriodicalId":72298,"journal":{"name":"Arquivos brasileiros de cirurgia digestiva : ABCD = Brazilian archives of digestive surgery","volume":"37 ","pages":"e1840"},"PeriodicalIF":1.8000,"publicationDate":"2024-12-02","publicationTypes":"Journal Article","fieldsOfStudy":null,"isOpenAccess":false,"openAccessPdf":"https://www.ncbi.nlm.nih.gov/pmc/articles/PMC11654460/pdf/","citationCount":"0","resultStr":null,"platform":"Semanticscholar","paperid":null,"PeriodicalName":"Arquivos brasileiros de cirurgia digestiva : ABCD = Brazilian archives of digestive surgery","FirstCategoryId":"1085","ListUrlMain":"https://doi.org/10.1590/0102-6720202400046e1840","RegionNum":0,"RegionCategory":null,"ArticlePicture":[],"TitleCN":null,"AbstractTextCN":null,"PMCID":null,"EPubDate":"2024/1/1 0:00:00","PubModel":"eCollection","JCR":"","JCRName":"","Score":null,"Total":0}
引用次数: 0

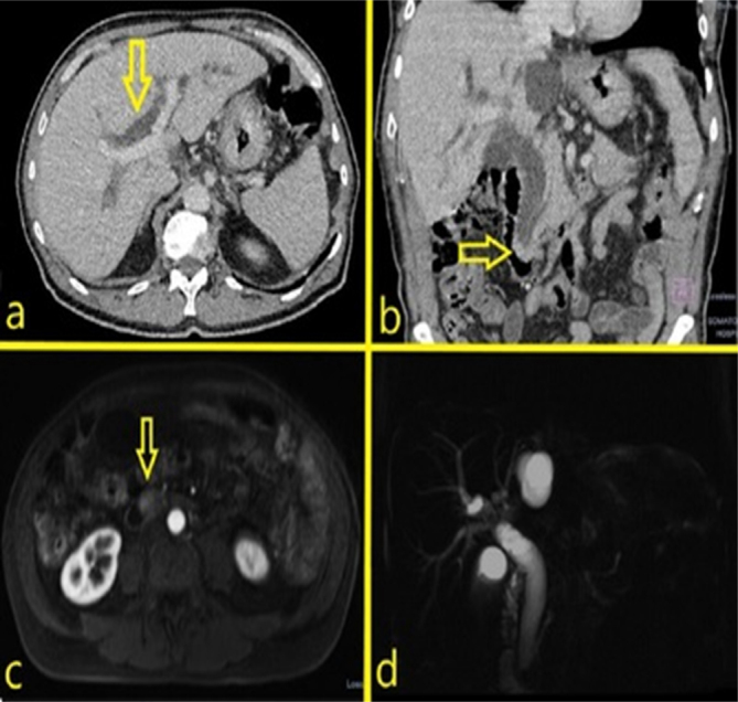
Abstract

Mixed neuroendocrine-non-neuroendocrine tumors (MiNEN) are a rare type of tumor formed by two components, a non-neuroendocrine component that is most often an adenocarcinoma and a neuroendocrine tumor, and each of these components must represent at least 30% of the tumor. The origin of this tumor on the ampulla of Vater or periampullary region is more infrequent. Usually, the lesions are highly aggressive and quickly metastasizing, and their biological behavior is dictated by the high grade of the neuroendocrine component. This is the first report of a patient with ampullary MiNEN treated employing a robotic pancreaticoduodenectomy. Although being submitted to aggressive treatment with complete surgical resection followed by systemic therapy, the patient developed early recurrence with hepatic metastatic disease, demonstrating the hostile nature of these tumors.

Abstract Image

Abstract Image

Abstract Image

机器人胰十二指肠切除术治疗壶腹混合性神经内分泌-非神经内分泌肿瘤。
混合性神经内分泌-非神经内分泌肿瘤(MiNEN)是一种罕见的肿瘤类型,由两种成分组成,一种非神经内分泌成分(最常见的是腺癌)和一种神经内分泌肿瘤,每种成分必须至少占肿瘤的30%。这种肿瘤起源于壶腹或壶腹周围区域的情况较少见。通常,病变具有高度侵袭性和快速转移性,其生物学行为由神经内分泌成分的高级别决定。这是首例采用机器人胰十二指肠切除术治疗壶腹部MiNEN患者的报道。尽管接受了积极的治疗,包括完全手术切除和全身治疗,但患者出现了肝转移性疾病的早期复发,显示了这些肿瘤的敌对性质。
本文章由计算机程序翻译,如有差异,请以英文原文为准。
求助全文
约1分钟内获得全文 求助全文
来源期刊
自引率
0.00%
发文量
0
×
引用
GB/T 7714-2015
复制
MLA
复制
APA
复制
导出至
BibTeX EndNote RefMan NoteFirst NoteExpress
×
提示
您的信息不完整,为了账户安全,请先补充。
现在去补充
×
提示
您因"违规操作"
具体请查看互助需知
我知道了
×
提示
确定
请完成安全验证×
copy
已复制链接
快去分享给好友吧!
我知道了
右上角分享
点击右上角分享
0
联系我们:info@booksci.cn Book学术提供免费学术资源搜索服务,方便国内外学者检索中英文文献。致力于提供最便捷和优质的服务体验。 Copyright © 2023 布克学术 All rights reserved.
京ICP备2023020795号-1
ghs 京公网安备 11010802042870号
Book学术文献互助
Book学术文献互助群
群 号:604180095
Book学术官方微信